Biomod/2015/Kansai/Protocols

| HOME | Team | Project | Design | Sources | Experiment | protocol |
<html>
<a name="top"><img src="spacer.gif" width="0" height="0" border="0" alt"">
</a>
</html>
Construction of DNA Origami Chochin
All staples (cho 1~180, choMD 1~20 and choEND 1~20) and the M13mp18 were mixed together and
annealed from 90˚C to 25˚C at rate of -1.0˚C/min using a PCR thermal cycler.
At first, we investigated that weather DNA origami structure has cylindrical shape.
We observed it by AFM. Figure 1 is the AFM image. It shows that almost structures have cylindrical shape.
We also performed height analysis. As a result, the height was about 5nm.
Plane DNA origami structure is about 2nm, so we judged that cylindrical shape was constructed.

In the next place, we observed Closed motif (CM) and Open motif (OM).

We prepared two type staples to close the part of mouth of chochin.
One is choLOCK that is closed perfectly opening/closing part, the other is choCM that is closed imperfectly
opening/closing part (sticky end).


<html>
<a href="#top">↑ Back to top</a>
</html>
First
First, we investigated the opening/closing of the part of mouth by changing staples.
We prepared four staple DNA mixes they close opening/closing part.
1 choLOCK2,11,18,19

2 choLOCK2,5,7,11,14,16,18,19
3 choLOCK5,7,14,16
4 all locations

We mixed cho1~180, choEND1~20, MD1,20 and M13 and annealed.
Then, we add above four mixes and pumped.
We electrophoresed with agarose gel these four samples and one is not added staple DNA to
opening/closing part (only cho1~180, choEND1~20, M13), then we observed these five bands. (Figure 2)

There was no difference from the mobility of each band in the result of agarose gel electrophoresis.
Band of DNA Origami Chochin without cho LOCK might be appeared higher than CM’s bands.
We decided to observe the structure without cho LOCK by AFM. (Figure 3)

We counted CM in AFM image. This result show CM rate is 70%.
In spite of removing staple DNA in the middle, about 40% in CM exist as straight CM.


π-πstacking interaction can be considered a cause.
There are single-stranded DNA (16mer) in the middle. The length is 16mer ×2, 10.36 nm.
The length of between both parts are distance of one phosphate group (≒0 nm).
So, total lengths of middle parts can be about 10.36 nm.

Because of this, π-π stacking interaction strongly worked and DNA Origami Chochin was formed straight CM.
We decided to construct the structure without Backbone staple to investigate effect of Backbone staple.
We did simulation by cad nano before do it.


The structure with only Backbone staple is straight shape, but the structure without Backbone staple is bent shape.
We omitted backbone staple to design more open structure.
We constructed 3 pattern structures below. They don't have backbone staples.
5 without choLOCK2~19 and backbone staple
6 choLOCK6,15
7 choLOCK5,14,7,16
We observed these structures by AFM and agarose gel electrophoresis.


Pattern6 and 7 were considered CM because these shapes were only straight in AFM image.
Since the bent structures were seen in AFM image of pattern5, we considered that patten5 might be OM.

OM formation rate of pattern5 is 69%.


We decided to investigate by agarose gel electrophoresis whether pattern5 was OM.

As a result of agarose gel electrophoresis, we considered that pattern 6 and 7 are CM,because it is no difference pattern 4 as perfect CM.
It is possible that pattern 5 is OM, because its band is higher place than these bands.
From this, it is considered that we can construct OM by omitting backbone staple DNA.
<html>
<a href="#top">↑ Back to top</a>
</html>
Second
・Observation OC Pattern 6,7 and 10 by AFM
As we succeeded in constructing OM structure, we changed Lock staples into a set of new staples that can open and close reversibly DNA Origami Chochin by strand exchange reaction.
The name of these staples are OC staples.
We observed OC Pattern 6, 7 by AFM.


The OM rate of pattern 6 and 7 by using OC staple were 41.2% and 42.9%, respectively.
Most of the pattern 6 and 7 with Lock staples existed as CM.
But, by using OC staple pattern 6 and 7 were high OM rate, so we thought OC staple did not worked as a key.
And, we attempted to decrease OM rate by increasing stop parts.
We constructed Pattern 10 and observed it by AFM.

DNA Origami Chochin was constructed. Bent structures were observed a lot.
<html>
<a href="#top">↑ Back to top</a>
</html>
・Agarose gel electrophoresis of OC Pattern 6 to 9
We suppose OC staples dehybridized, because of low Tm. So, we tried to construct CM structure by changing the annealing temperature from 90˚C→25˚C to 90˚C→4˚C.
We electrophoresed with agarose gel OC Pattern6~9 that were annealed from 90˚C to 25˚C and from 90˚C to 4˚C.


There was no difference from the mobility of bands between pattern 5 (OM) and pattern 6~9 (CM).
<html>
<a href="#top">↑ Back to top</a>
</html>
・AFM image of OC pattern 6 to 9 (90˚C to 25˚C, 90˚ to 4˚C)
We observed OC Pattern6~9 that were annealed from 90˚C to 25˚C (Fig.11, 12, 13, 14) and from 90˚C to 4˚C (Fig.15, 16, 17, 18) by AFM.



For the new annealing temperature, the OM rate of pattern 6, 7, 8 and 9 were 54.1%,70.0%,62.4% and 93.3%, respectively.
OC staples was added 5 equivalent against M13mp18.
OC staples are composed of 2 parts that hybridize with scaffold and OC staples each other.
So, OC staples may hybridize with excess OC staples before making double helix with the scaffold.
(Because π-πinteraction do not take place, the structure did not closed.)
Thus, OM rate can be raised by increasing the joining pairs.

<html>
<a href="#top">↑ Back to top</a>
</html>
・Protocol change 1
Next, we changed the mixing process.
We made DNA Origami Chochin without OC staples (pattern 5) and added them.
By doing this, we prevented OC staples from hybridizing to each other.
We then made DNA Origami Chochin (pattern 5) with joining pairs.
To prevent hybridization of unexpected OC staples, each pair of OC staples were hybridized separately.
OC staples were added to pattern 5 and these mixture pumped from 37˚C to 25˚C ×3 to construct OC pattern 8, 9.


OM rate hardly changed.
<html>
<a href="#top">↑ Back to top</a>
</html>
・Protocol change 2
DNA Origami Chochin pattern 5 and OC staples was annealed from 90˚C→4˚C at rate of -1.0˚C/min.
Then, OC staples for pattern 8 and 9 were mixed into the solution of pattern 5.
And these were kept at 4˚C for a few hours.


The obvious difference was not seen in the mobility of bands of pattern 5 (OM) and pattern 8, 9 (CM).
OC staples for pattern 8 and 9 were mixed into the solution of pattern 5 and these were kept at 4˚C for over night.


The result is the same as the previous time.
<html>
<a href="#top">↑ Back to top</a>
</html>
・Agarose gel electrophoresis of OC Pattern 8,9 and 10 with open staple
We added open staple to OC Pattern 8, 9 and 10 to investigate whether the mobility of bands change.




There was no difference from the mobility of bands between OC Pattern 8, 9, 10 and OC Pattern 8, 9, 10+open staple.
<html>
<a href="#top">↑ Back to top</a>
</html>
・Agarose gel electrophoresis of OC pattern 6 and 10 made by new protocol
We constructed OC Pattern 6 beforehand.
We added OC staple mix to it later and kept them at 4˚C for over night.


There was no difference from the mobility of bands between pattern 5 and OC pattern 10.
<html>
<a href="#top">↑ Back to top</a>
</html>
・Protocol change 3
We constructed No Cho LOCK beforehand.
We added 2.5 equal amount of OC staple mix to it later.
And these were kept at 4˚C for over night.


There was hardly difference from the mobility of bands between pattern 5 and pattern 6~10.
<html>
<a href="#top">↑ Back to top</a>
</html>
・Polyacrylamide gel electrophoresis (PAGE) of double stranded OC staple
We investigated by polyacrylamide gel electrophoresis whether corresponding Cho OC staple make double helix.

The band of OC staple mix was higher than the band of single stranded OC staple.
<html>
<a href="#top">↑ Back to top</a>
</html>
・Change of equivalent number of OC staple
We added 10 equivalent of OC staple mix to No Cho LOCK.
And mixture were kept at 4˚C for over night.


The mobility of the band of OC Pattern 6~10 and the mobility of the band of Pattern 4 (CM) were about the same.
So we judged that OC Pattern 6~10 was CM.
<html>
<a href="#top">↑ Back to top</a>
</html>
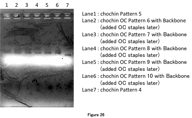
・Influence of backbone staple
We investigated influence of equivalent number of OC staple and presence of backbone staple.


The band of OC Pattern 6 without backbone was same as position of the band of Pattern 5.
And the band of OC Pattern 6 with Backbone was lower than the band of Pattern 5.
From this, the equivalent number of OC staple do not matter and backbone is necessary to construct CM.
<html>
<a href="#top">↑ Back to top</a>
</html>
Third
・Addition of open staple
To change the form into DNA Origami Chochin (OM) by strand exchange reaction, we added open staple to DNA Origami Chochin (CM).


Bands of OC Pattern 6~10 with Backbone +open staple were almost the same as position of the band of Pattern 5.
It is considered that the form changed from CM into OM by adding open staple.
<html>
<a href="#top">↑ Back to top</a>
</html>
・PAGE
We investigated with PAGE whether double helix of OC staples dehybridize by adding open staple, and whether OC staples hybridize again by adding close staple.

Bands of lane 5 were higher than lane 1, 2, 3, and 4.
From this result, it is considered that OC staple 2 and 11 were hybridized.
And the mobility of bands of lane 5, 6, and 7 were different, respectively.
It is considered that open staple and close staple functioned.
<html>
<a href="#top">↑ Back to top</a>
</html>
・Agarose gel electrophoresis
We investigated the difference of band by adding open staple and close staple.

There were differences from the bands of lane 3, lane 4 and lane 5.
It is considered that the form changed by adding open staple or close staple.
<html>
<a href="#top">↑ Back to top</a>
</html>
・Observation by AFM
We observed OC Pattern6 with Backbone (CM) by AFM.

We were able to observe OC Pattern6 of CM.
Next, we added open staple to it and observed it by AFM.

We were able to observe OM by adding open staple to OC Pattern6 with backbone.
Then, we added close staple to OC Pattern6 of OM and observed it by AFM.

OC Pattern 6 of CM was observed.
From these results, OC Pattern6 with backbone changed from CM into OM by adding open staple.
And it changed from OM into CM by adding close staple.
<html>
<a href="#top">↑ Back to top</a>
</html>
DNA Tongue
・PAGE : Introduction of DNA hairpin to DNA Tongue
We investigated whether DNA hairpin grew up.
We made DNA Tongue by using Trigger and DNA hairpin, and investigate with PAGE whether DNA Tongue formed.

The band of Lane 6 was upper than Lane 1 to Lane5.
So, we considered DNA tongue was constructed.
<html>
<a href="#top">↑ Back to top</a>
</html>
・Observation DNA Tongue by AFM
We observe DNA Tongue by AFM.

DNA Tongue did not grow because of mixture ratio of Trigger and DNA Hairpin (1:1) .
We could observe the lump of Trigger and DNA Hairpin.
We decided to add more DNA hairpin to grow DNA Tongue.
<html>
<a href="#top">↑ Back to top</a>
</html>
・PAGE : Change mixture ratio of Trigger and DNA Hairpin
Mixture ratio was changed variously.
We observed formation of DNA tongue by PAGE.

From Lane 6 to 8, their bands were in upper side, so DNA Tongue was constructed.
<html>
<a href="#top">↑ Back to top</a>
</html>
・Observation DNA Tongue by AFM 2
We observed mixture of Trigger and DNA Hairpin by AFM.
Each mixture ratio are 1 : 3, 1 : 4 and 1 : 8.

The short DNA Tongue was seen at mixture ratio 1:3 (average length tongue was 19.9nm).
Linear structures was seen at mixture ratio 1 : 4 (22.5nm).
Long linear structures was seen at mixture ratio 1 : 8 (27.6nm).
From observation by AFM, DNA Tongue was growing longer when mixture ratio was increased.
<html>
<a href="#top">↑ Back to top</a>
</html>
・Agarose gel electrophoresis of DNA Origami Chochin with tongue
We introduce DNA Tongue to DNA Origami Chochin.
We added Trigger and DNA Hairpin to Pattern OC6+Open DNA and incubate in 37℃.
Also, we added Trigger and DNA hairpin to Pattern OC6 to investigate whether DNA Tongue grows when it is Closed Motif.

There was no difference from the mobility of bands between Lane 2, 3 and Lane 3, 4.
DNA Tongue is so small that the mobility of bands is no differences.
We could observe bands of smear in lower side of Lane 3 and Lane 5.
These bans are considered free DNA Tongue.
Also, we could not observe whether DNA Tongue was introduced to OM and CM.
This time, there was no difference from the mobility of bands between Lane 2 and Lane 4,because separation ability was low.
We observe Lane 4 and Lane 5 by AFM.
<html>
<a href="#top">↑ Back to top</a>
</html>
・Observation DNA origami Chochin with DNA Tongue by AFM
We observed the structures that are introduced DNA Tongue to DNA Origami Chochin.

When the DNA Origami Chochin is CM, the growth of DNA Tongue did not be observed.
DNA Origami Chochin is hollow, and sticky end have “TTTT” linker.
Because sticky end has negative charge, DNA causes electrostatic repulsion.
Also the center part has free scaffold, and it cause π-π stacking.
From this, it is difficult that Trigger and DNA Hairpin get into inside.
This is the reason that DNA Tongue did not grow.

When we observed OC Pattern 6 of OM, there were a few structure.

But we could observe that linear structure went out from inside of DNA Origami Chochin.
The result of height analysis, it is about 2 nm, so DNA Tongue was formed.

<html>
<a href="#top">↑ Back to top</a>
</html>