IGEM:IMPERIAL/2007/Notebook/2007-9-4

From OpenWetWare
Jump to navigationJump to search

<calendar> name=iGEM:IMPERIAL/2007/Notebook date=2007/09/24 view=threemonths format=%name/%year-%month-%day weekstart=7 </calendar>


Construction of pT7-GFP

  1. Picked colonies to grow in 5ml LB + Kan
  2. Cultures left to grow at 37°C overnight

GFP Calibration Curve

More concentrations were carried out for the calibration curve, these give a range of concentrations tested:

  • 3.7uM, 1.8uM, 1.uM, 0.5uM, 0.1uM, 0.05uM, 0.025uM, 0.0125uM

The calibration curve can be found Here

Vesicles

Formation of Vesicles

2160μl of Solution A-CE was prepared with the following components:

  • 583μl of S30 cell extract (home made)
  • 1080μl of cell extract buffer
  • 36μl of rNTP solution
  • 112μl of Pyruvate Kinase solution
  • 349μl of ddH2O


360μl of Solution B-CE was prepared with the following components:

  • 351μl of Solution A-CE
  • 4μl of GFP solution
  • 5μl of DNA solution (Ptet with GFP)

The remaining 1.8ml of Solution A-CE was then diluted 10x to form 18ml of Solution A-CEd

The following 3 emulsions were prepared:

  • 50μl of Solution B-CE into 8ml of POPC/dodecane suspension
  • 50μl of Solution B-CE into 8ml of DOPC/dodecane suspension
  • 250μl of Solution B-CE into 47,8ml of POPC/dodecane suspension


11 samples were created in total (note there is no Sample 9):

  • Sample Noireaux: Produced from the Noireaux protocol. Solution B-CE was added to 200μl taken from the 50ml POPC/dodecane suspension prepared the day before.
  • Sample 1: 2ml from the 10ml POPC/dodecane suspension was used to prepare the interface over 3ml of Solution A-CEd. 1ml of emulsion was added 2 hours later, centrifuged at 120x g, and collected.
  • Sample 2: 2ml from the 10ml DOPC/dodecane suspension was used to prepare the interface over 3ml of Solution A-CEd. 1ml of emulsion was added 2 hours later, centrifuged at 120x g, and collected.
  • Sample 3: Prepared the day before and left overnight before being collected. Sample not centrifuged.
  • Sample 4: Prepared the day before and left overnight before being collected. Sample not centrifuged.
  • Sample 5: 2ml from the 50ml POPC/dodecane suspension was used to prepare the interface over 3ml of Solution A-CEd. 1ml of emulsion was added 2 hours later, centrifuged at 120x g, and collected.
  • Sample 6: 2ml from the 10ml POPC/dodecane emulsion was poured over 3ml of Solution A-CEd (with no prepared interface), and left to rest for 2 hours, before being centrifuged at 120x g for 10 minutes and collected.
  • Sample 7: 2ml from the 10ml DOPC/dodecane emulsion was poured over 3ml of Solution A-CEd (with no prepared interface), and left to rest for 2 hours, before being centrifuged at 120x g for 10 minutes and collected.
  • Sample 8: 2ml from the 50ml POPC/dodecane emulsion was poured over 3ml of Solution A-CEd (with no prepared interface), and left to rest for 2 hours, before being centrifuged at 120x g for 10 minutes and collected.
  • Sample 10: 2ml from the 10ml POPC/dodecane emulsion recycled from the day before was left stirring overnight, and then was poured over 3ml of Solution A (with no prepared interface). It was left to rest for 2 hours before being centrifuged at 120x g for 10 minutes and collected.
  • Sample 11: 2ml from the 10ml DOPC/dodecane emulsion recycled from the day before was left stirring overnight, and then was poured over 3ml of Solution A (with no prepared interface). It was left to rest for 2 hours before being centrifuged at 120x g for 10 minutes and collected.

Samples 1-11 were produced using protocol 1.2.

Samples 1, 2, 5, 6, 7, 8 were prepared from an interface formed on top of 3ml of Solution A-CEd (see above).



Results

All 11 samples prepared today were scrutinised under the microscope. Here are the results (scroll down to the bottom for images.):

  • Sample Noireaux: No vesicles were found. There were lots of GFP aggregates.
  • Sample 1: Plenty of vesicles were found, but with very weak fluorescence inside. There were lots of GFP aggregates.
  • Sample 2: No vesicles were found, but one large fluorescent blob was present. There were lots of GFP aggregates. A strange, unidentified texture of objects was found.
  • Sample 3: One possible vesicle or blob found, with no fluorescence inside. E.coli contamination. Strange vesicle coalescence around a large GFP aggregate (vesicles faintly fluorescent).
  • Sample 4: Lots of coalescence, with faint fluorescence inside.
  • Sample 5: Flocculated vesicles, with very faint fluorescence inside.
  • Sample 6: Well formed vesicles, and some coalescence, with faint and not-so-faint fluorescence inside.
  • Sample 7: Rare but well formed vesicles, with faint fluorescence inside.
  • Sample 8: Best results. High count of well formed vesicles, with not-so-faint fluorescence inside.
  • Sample 10: Single large coalesced blob, with faint fluorescence, in spite of dense aggregate. No external aggregates.
  • Sample 11: Many 2μm fluorescent vesicles, with very good enclosure - very few external aggregates. Large group of coalescence blobs.



Preparations
No preparations were made today.

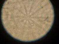
An example of GFP aggregates, found in Sample Noireaux. Left: Many large GFP aggregates are visible with white light. Centre: The same picture, but with fluorescence. The fluorescence is too weak to be captured by the camera. Right: The same picture as the centre, but with full saturation and gamma correction. The faint fluorescence is picked up by the image enhancement.


Faint vesicles found in Sample 1. Above: Three different vesicles found in Sample 1, in white light. Below left: The 'above centre' image, with fluorescence switched on. The camera is not able to capture the fluorescence. Below centre and right: The 'above right' image, with fluorescence switched on (centre), and with full saturation and gamma correction (right). There was no fluorescence captured by the camera inside the vesicle, but the large aggregate near the top is visible in the enhanced image.


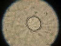
The large fluorescent object found in Sample 2. The object had an internal refractive index different from what is usually observed in vesicles or blobs. Left: The object under white light. Centre: The same picture, but with fluorescence. The fluorescence is too weak to be captured by the camera. Right: The same picture as the centre, but with full saturation and gamma correction. The faint fluorescence is picked up by the image enhancement.


A strange texture found in Sample 2. It was not clear whether these 'dots' were in aqueous solution or a large air bubble under the slide cover.


Pictures from Sample 3. Left: A large coalescence of vesicles, faintly fluorescent. Right: E.coli contamination from an unidentified source.


A large GFP aggregate surrounded by coalescing faintly fluorescent vesicles, found in Sample 3. Left: The object under white light. Centre: The same picture, but with fluorescence. The fluorescence is too weak to be captured by the camera. Right: The same picture as the centre, but with full saturation and gamma correction. The faint fluorescence is picked up by the image enhancement.


An example of a coalescence blob, found in Sample 4. Note that the refractive index is the same both inside and outside the blob. There also seems to be a presence of small GFP aggregates inside. The object was faintly fluorescent.


An example of flocculated vesicles, found in Sample 5. The vesicles were faintly fluorescent.


Faintly fluorescent vesicles found in Sample 6. The fluorescence was too weak to be captured by the camera.


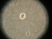
One of the few, faintly fluorescent, well formed vesicles found in Sample 7. The fluorescence was too weak to be captured by the camera. Note the difference in refractive index between inside and outside the vesicle. The solution inside the vesicle is much more concentrated than outside.


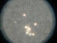
One of the many fluorescent vesicles found in Sample 8. The fluorescence was too weak to be captured by the camera.


The single large coalescence blob, with faint fluorescence (in spite of dense aggregate) found in Sample 10.


Images from Sample 11. Left: Vesicles and coalescence blobs under white light. Right: Single vesicle, under white light. Both enclosures were fluorescent - though not enough to be caught by the camera.