User:Zoe Love/Notebook/Biology 210 at AU

From OpenWetWare
Jump to navigationJump to search

February 28th 2016

Tube Label: MB07 Sample name: _1_10-3-16s_Forward

PCR Sequence: NNNNNNNNNNNNNGCNTACNCATGCAAGTCGAGCGGAGATGAGGTGCTTGCACCTTATCTTAGCGGCGGACGGGTGAGTA ATGCTTAGGAATCTGCCTATTAGTGGGGGACAACATTTCGAAAGGAATGCTAATACCGCATACGCCCTACGGGGGAAAGC AGGGGATCTTCGGACCTTGCGCTAATAGATGAGCCTAAGTCGGATTAGCTAGTTGGTGGGGTAAAGGCCTACCAAGGCGA CGATCTGTAGCGGGTCTGAGAGGATGATCCGCCACACTGGGACTGAGACACGGCCCAGACTCCTACGGGAGGCAGCAGTG GGGAATATTGGACAATGGGGGGAACCCTGATCCAGCCATGCCGCGTGTGTGAAGAAGGCCTTTTGGTTGTAAAGCACTTT AAGCGAGGAGGAGGAGCTCTAGATTAATACTCTAGATGCTTGGACGTTACTCGCAGAATAAGCACCGGCTAACTCTGTGC CAGCAGCCGCGGTAATACAGAGGGTGCAAGCGTTAATCGGATTTACTGGGCGTAAAGCGTGCGTAGGTGGTCTTTTAAGT CGGATGTGAAATCCCTGAGCTTAACTTAGGAATTGCATTCGATACTGGGAGACTAGAGTATGGGAGAGGATGGTAGAATT CCAGGTGTAGCGGTGAAATGCGTAGAGATCTGGAGGAATACCGATGGCGAAGGCNGCCATCTGGCCNNNTACTGACACTG AGGTACGAAAGCATGGGGAGCAAACAGGATTAGATACCCTGGTAGTCCATGCCGTANACGATGTCTACTAGCCGTTGGGG CCTTTGAGGCTTTAGTGGCGCANCTAACGCGATAAGTAGACCGCCTGGGGAGTACGGTCGCAAGACTAAAACTCAAATGA ATTGACNGGGGCCCGCACAANCGGTGGANCATGTGGTTTAATTCNATGCAACGCNAANACCTTACCTGCTCTTGACGTAN TAGNACTTTCCANANNNGGATNGGTGCCNTCGGGAGCTTACATACANGTGCTGCATGGNTGTCNTCANCTCNTNNCNNTN NNNNNNTTNNN

There was a 96% match with: (Uncultured bacterium clone TJUFYQ2013042408NA-1 16S ribosomal RNA gene, partial sequence)

It was also a 96% match with: (Acinetobacter sp. D14(2011) 16S ribosomal RNA gene, partial sequence) species, g-proteobacteria

February 20th 2016

Zebrafish Embryo Setup:

Materials: Petri dishes, Transfer Pipette, Pipette Pump

Methods: Small dishes with 24 holes each were filled each with 2mL of 40 mg/L of caffeine. A second dish used as the control was filled with 2mL in each well with water. Using a transfer pipette one zebrafish embryo was placed into each well for the control dish and the experimental dish. Both dishes were labeled.

February 17th 2016

Berlese Funnel Setup: To create the burlese funnel 25 mL of 50:50 ethanol/water was poured into a 50 mL conical tube. A piece of mesh was taped into the bottom of the funnel to catch the leaves and the leaf litter collected from the transect was placed on top of the screen. The conical tube was parafilmed and taped to the bottom of the funnel. The entire burlese funnel was put on a ring stand underneath a 40 watt light around 1-2 inches away from the leaf litter. The funnel was covered in foil and left there for a week.

Invertebrate Description Table

Fly (Diptera): Fly

Biting Lice (Mallophaga): Lice

Biting Lice (Mallophaga) Close up: Close up of Lice

Termite (Isoptera): Termite


The invertebrates found have a somewhat large range in size. The fly being 1.5 mm and the smallest- the termite being .1 mm. None of the organisms found were more common than the others because only one of each organism was found within the transect sample. The two samples from the Berlese funnel were different. The first sample contained no organisms that could be observed, as all of the materials collected stuck to the bottom of the conical tube. The second sample had the majority of the material and 100% of the organisms that were observed and described.

Animals Found in the Transect: Eastern Grey Squirrel: (Chordata- Mammalia- Rodentia- Sciuridae- S. carolinensis)

Abiotic: acorns, leaf litter for dens Biotic: seeds, insects, small birds

Song Sparrow: (Chordata-Aves-Passeriformes-Emberizidae-melospiza-M. Melodia)

Biotic: insects and seeds Abiotic: temperature, dead leaf litter

American Robin: (Chordata- Aves-Passeriformes- Turdidae- Turdus- T. migratorious)

Abiotic: soil, nest materials Biotic: insects

Starling: (Chordata- Aves-Passeriformes-Sturnidae- Sturnus- Sturnus vulgaris)

Biotic: insects and seeds Abiotic: temperature, materials for nests

Eastern Chipmunk: (Chordata-Mammalia-Rodentia-Sciuridae-Tamias-T. striatus)

Biotic: green plants, insects, seeds Abiotic: Soil (burrows)


Food Web: Food Web

The organisms work together to create an ecological community. The first trophic level or primary producers would be the soil, bacteria, and protists. These biotic and abiotic features break down dead materials and provide nutrients for the primary producers. Bacteria and Protists are also primary producers as they use nutrients from the soil as well as being able to break down materials. The grass, leaves, and trees along with their seeds are also part of the primary producers feeding insects, mammals, and birds. The next trophic level are the secondary consumers. In this transect the secondary consumers are the squirrels, chipmunks, insects, and birds. The carrying capacity is the maximum number of individuals in a population that can be sustained indefinitely by the environment. In the case of this transect that means the number of squirrels that eat insects, but not too many to completely decimate the population. It also means the amount of soil to provide enough nutrients for grass and other plants to grow in the environment. It is a delicate balance between consuming enough to survive and allowing the other species to survive as well.

February 12th 2016

There were four distinct plants in the transect. The plants were two dark leaves with varying shapes, broad and thin blades of grass, and small clover-life leaves.

Brown Leaf Brown Leaf

Brown Leaf Brown Leaf

Grass Grass

Clover Clover

Plant Table Plant Characterization Table

Grass Cross Section Grass under microscope

Clover under microscope Clover under microscope

Dead Leaf under microscope Leaf Under Microscope

February 9th 2016

Hay Infusion Description: this week had a thin layer at top of film w/ grass stuck in it. There was a brown liquid between the bottom layer of dirt and the top layer. The grass that was in the jar was still green and the smell was much worse. It is possible that the smell of the Hay Infusion become worse over the weeks due to bacteria's metabolic byproducts. The waste of the organisms in the hay infusion would increase over the weeks as would the smell of the hay infusion.

Table1 Serial Dilution Results Table

Between the two different plates (antibiotic vs. without antibiotic) I saw very different types of colony. On the plates with tet there were small orange colonies and on the nutrient only plates there seemed to be little evidence of any growth. (Why might there be little evidence of growth?) There was some cloudy lawn-like growth but nothing that was distinct enough to call a real colony.

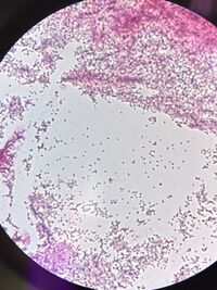
Bacteria Tet 10-3

Bacteria Tet 10-5

Materials and Methods: Gram Stain: The materials used in the gram stain include: slides with a sample of the colony mixed with water, a red wax pencil, a bunsen burner, a staining tray, crystal violet dye, iodine mordant, 95% alcohol, kimwipe, and a microscope. To perform the gram stain a sample of a colony from the plate. The sample is marked with a red wax pencil and then air dried with the flame of a bunsen burner. The slide is place on a staining tray and is dyed with crystal violet. After the dye is rinsed with water and the slide is dyed again with iodine. The iodine is rinsed and then slide is decolorized with 95% alcohol and rinsed again with water. After the slide is blotted gently with a kimwipe it is ready to be observed under a microscope. This process was repeated 3 more times for the other samples of colonies from the plates.

PCR: The materials used in the PCR test were: a PCR tube, PCR bead, primer water, and a sterile toothpick. The PCR was set up by mixing primer water in a PCR tube to dissolve a PCR bead within the tube. A toothpick was used to transfer a sample of the bacteria colony into the tube. The contents were mixed for 5 seconds and then the tube was placed in the PCR machine. This process was repeated with a fresh toothpick for each of the colony samples.

Table2 Table 2: Colony Morphology, gram stain, and motility studies

CocciBacteria Tet 10-3 Cocci Bacteria

BacilliBacteria Tet 10-5 Bacilli Bacteria

BacilliBacteria Nutrient 10 -5 Bacilli Bacteria

February 3rd 2016

Hay Infusion: The jar had a very strong and bad musky smell. It looked like there was mold forming around the top layer of the infusion. There were also some objects floating around in the infusion along with the blades of grass and dirt.

The first niche that was observed was from the top of the water. It was taken from an area close to a long blade of grass and on top of a dead leaf. The second niche was taken from the bottom of the water, directly above where the dirt had settled on the bottom of the jar. There were no plants in this niche. There could be some difference in the algae or protists that were observed in these two different niche's because it is possible that they would have different food sources available to them along with different amount of light or oxygen available to them. This could mean a difference in the types of algae or protists that were found in the different niches.

Niche 1:

Organism 1- Clear and 12µm at 40x magnification (30µm). The organism seemed to most closely resemble a Eudorina, but could not be confirmed as this organism. Since it did not look like it was algae it was determined that the organism did not perform photosynthesis. For the period that we observed the organism it appeared to me non-motile with no evidence of a flagella or other mechanisms of motion.

Drawing of Niche 1 Organism

Organism 2- Clear and 3µm at 40x magnification (7.5µm). This organism was only observed for a very short period of time so not much could be recorded on the specifics. However, it seemed to be non-motile and did not perform photosynthesis. I was not able to see this organism, but there other members of my group were able to. This description reflects what they were able to see.

Those two were the only organisms that were found in the first niche.

Niche 2:

Organism 1: This organism was clear and about 10µm at 40x magnification (25µm). This organism seemed to be floating around in the slide showing no mechanism of movement. The organism seems to be protist in nature and does not use photosynthesis.

Description of image

This was the only organism that was found and observed in the slide containing a sample of the second niche from the Hay Infusion.

If the Hay Infusion were left to grow for awhile there would be competition between the organisms for sources of food, but I think that there would be a greater variety in the different organisms inside the Hay Infusion. It could also be possible that over time the size of the organisms would increase. So if the niches were to be observed again the organisms would be larger in comparison to the one's that were observed initially.

January 20th 2016

Transect Number One Description: The transect was a small area of land, mostly cold, hard soil with many acorn shells and sticks/branches. The small area of grass had clumps of long grass. There were a few small clover-life plants growing throughout the dirt/soil. The transect also included three bare shrubs and part of a concrete or cement walkway. The walkway also included a circular, metal grate.

Abiotic Materials: Dead leaves, trash, cement, sewer grate, and sticks

Biotic Materials: Grass (long broad), Grass (short and thin), Clovers, Shrubs/trees, Acorns


Photo of the Transect 1 facing northeast

Lab Notebook Work

^Click on this image in order to see more details, including my drawing of the transect