User:Shraddha Batra/Notebook/Biology 210 at AU
March 22, 2014
Embryology and Development
I. Introduction This week's lab, titled "Embryology and Development," was performed with the purpose of understanding embryonic development through a comparison and analysis of a developing sea star, frog, and a chick. Organisms differ in stages of growth, differentiation, and morphogenesis; therefore, a study of development in the three organisms will aid in the understanding of what features characterize the stages.
II. Materials and Methods
1. Slides representing different development stages of starfish, frog, and chick were prepared and examined under a microscope. 2. Characteristics such as egg size, amount of yolk, distribution of yolk, blastulation, gastrulation, and larval stage were noted.
III. Observations and Data
Table 1 below presents a comparison of embryonic development in the three organisms.
Table 2 below compares the ecological features characteristic of the three organisms.
IV. Conclusion In this experiment, we were able to gain a better understanding as to how organisms differ in their embryonic features and stages of development. Additionally, environmental conditions can also influence how an organism develops. With a greater understanding, this knowledge will aid in forming our research projects focusing on zebrafish development.
February 23, 2014
Invertebrates
I. Introduction This week's lab, titled "Invertebrates," focused on identifying different invertebrates and understanding how body structure (internal and external) influences function and movement. Organisms from Transect 4 were analyzed, and prepared slides of different worms were also examined under a microscope. Doing so will allow us to understand the diversity of invertebrates and vertebrates in a niche.
II. Materials and Methods
Procedure 1: Observing Worms
1. Planaria, Nematodes, and Annelida were examined under a microscope. Organism movements were noted.
Procedure 2: Identifying Invertebrates from Transect
1. The Berlese funnel was disassembled, and the solution was observed under a microscope.
2. Five organisms were identified, and their physical characteristics were noted.
Procedure 3: Vertebrates in the Niche
1. Using the Freeman textbook, potential vertebrates that could be found in the niche were identified and recorded.
III. Observations and Data
-The Planaria had more gliding movements, which could have been aided by their cilia.
-The nematodes moved by extending their bodies side-to-side.
-The Annelida moved their bodies in a manner that contracted their bodies so while one part moved, the remaining part of the body slowly followed in a wave-like manner.
-The table below describes the various organisms found in the niche. Since only four could be found, the fifth organism was obtained from the WV sample.
-Most of the organisms found in the niche were quite small, ranging from 1/10 mm to 1/2 mm. The largest organism was the Springtail X Primitive Insect, and the smallest organisms were the Soil Mite X and Ground Spider. The Springtail X Primitive Insect and Ground Spider are shown below from our transect, and the centipede is shown from the WV sample. Arthropods are the most common organisms in leaf litter.
Potential Vertebrates in Transect:
1. Southern Flying Squirrel: Glaucomys volans Phylum: Cordata, Class: Mammalia, Order: Rodentia, Family: Sciuridae, Genus: Glaucomys, Species: volans ("Glaucomys," 2014)
Since Transect 4 is a community garden, these squirrels would benefit from the food being grown in the garden plots, as well as other food items such as seeds, and even other animals like birds (Fox and Mulheisen, 1999)
2. Eastern Cottontail: Sylvilagus floridanus Phylum: Chordata, Class: Mammalia, Order: Lagomorpha, Family: Leporidae, Genius: Sylvilagus, Species: floridanus (Sylvilagus floridanus, 2014)
Since Eastern cottontail rabbits are herbivores, they would benefit from the feeding off of the vegetables growing in the garden in addition to other plants and grass (Mikita, 1999).
3. American Crow: Corvus brachyrhynchos Phylum: Chordata, Class: Aves, Order: Corvoidea, Family: Corvidae, Genus: Corvus, Species: brachyrhynchos ("Corvus," 2014)
American crows can be found in areas of the transect that contain trees, and will feed on seeds in addition to other animals such as mice. They also feed on garbage, as well (American Crow, n.d.)
4. Northern Mockingbird: Mimus polyglottos Phylum: Chordata, Class: Aves, Order: Passeriformes, Family: Mimidae, Genus: Mimus, Species: polyglottos ("Mimus polyglottos," n.d.)
These birds would need wild berries or other insects in order to survive ("Northern Mockingbird," n.d.)
5. Eastern Harvest Mouse: Reithrodontomys humulis Phylum: Chordata, Class: Mammalia, Order: Rodentia, Family: Muridae, Genus: Reithrodontomys, Species: humulis (Eastern Harvest Mouse, 2008)
These mice would benefit from the weeds, grass, insects, and any fruits growing in the transect (Eastern Harvest Mouse, 2008).
Food Web:
IV. Conclusions In this experiment, we were able to gain a better understanding of invertebrates and vertebrates in a niche. We examined invertebrates from our transect under a microscope, and we also proposed potential vertebrates that may have been present within the area. Through this lab, we were able to see how structure affects function and movement of invertebrates and how different niches are conducive to different vertebrates. Since we are not certain whether the proposed vertebrates are in fact present in the transect, future studies can look for remains or other clues that may or may not support the list of vertebrates.
Citations:
American Crow. (n.d). Maryland Department of Natural Resources. (23 Feb. 2014). <http://www.dnr.state.md.us/wildlife/Plants_Wildlife/American_Crow.asp>
Eastern Harvest Mouse. 2008. The University of Georgia Museum of Natural History. (23 Feb. 2014) <http://naturalhistory.uga.edu/~GMNH/gawildlife/index.php?page=speciespages/species_page&key=rhumulis>
Fox, D. and M. Mulheisen. Glaucomys volans. 1999. Animal Diversity Web. (23 Feb. 2014). <http://animaldiversity.ummz.umich.edu/accounts/Glaucomys_volans/>
Mimus polyglottos. (n.d.). Integrated Taxonomic Information System. (23 Feb. 2014) <http://www.itis.gov/servlet/SingleRpt/SingleRpt?search_topic=TSN&search_value=178620>
Mikita, K. Sylvilagus floridanus. 1999. Animal Diversity Web. (23 Feb. 2014). <http://animaldiversity.ummz.umich.edu/accounts/Sylvilagus_floridanus/>
Myers, P., R. Espinosa, C. S. Parr, T. Jones, G. S. Hammond, and T. A. Dewey. Corvus. 2012. Animal Diversity Web. (23 Feb. 2014). <http://animaldiversity.ummz.umich.edu/accounts/Corvus/classification/>
Myers, P., R. Espinosa, C. S. Parr, T. Jones, G. S. Hammond, and T. A. Dewey. Glaucomys. 2014. Animal Diversity Web. (23 Feb. 2014). <http://animaldiversity.ummz.umich.edu/accounts/Glaucomys/classification/>
Myers, P., R. Espinosa, C. S. Parr, T. Jones, G. S. Hammond, and T. A. Dewey. Sylvilagus floridanus. 2014. Animal Diversity Web. (23 Feb. 2014). <http://animaldiversity.ummz.umich.edu/accounts/Sylvilagus_floridanus/classification/>
Northern Mockingbird. (n.d.). Maryland Department of Natural Resources. (23 Feb. 2014) <http://www.dnr.state.md.us/wildlife/Plants_Wildlife/Mockingbird.asp>
SB
February 23, 2014
Plantae and Fungi
I. Introduction Plants and fungi are integral components of our environment. In this week's lab experiment, titled "Plantae and Fungi," the purpose was to understand the characteristics and functions of various plants and fungi such as in the form of vascularization, specialization, and reproduction. Samples of different plants were obtained from Transect 4, American University's community garden, to examine these features of the particular plants found in this area. Doing so will allow us to understand the diversity of plants present and the different characteristics they possess.
II. Materials and Methods
Procedure 1: Sample Collection and Berlese Funnel
1. In a plastic bag, soil and plant matter were collected from the transect so that the bag was 80% soil and 20% plant matter.
2. In a second plastic bag, samples of five different plants were obtained from the transect.
3. 25 mL of 50:50 ethanol/water solution was obtained, and a funnel with a screen was placed inside of the flask containing the solution. The elements of the first plastic bag were placed on top of the funnel. The Berlese Funnel was placed under a light source and covered with aluminum foil.
Procedure 2: Plant Vascularization
1. A lily stem and moss were examined to understand how different plants obtain their water and nutrients.
2. Plant samples were analyzed to determine the vascularization.
Procedure 3: Plant Specialization
1. Different features such as size and shape were recorded for the samples containing leaves.
Procedure 4: Plant Reproduction
1. A lily flower was dissected to visualize the reproductive parts and understand their functions.
2. Seeds from transect samples were classified as either monocot or dicot.
Procedure 5: Observing Fungi
1. A sample of black bread mold was examined under the microscope.
III. Observations and Data
-The five plants were found in AU's community garden. The American Hornbeam was found in one of the vegetable plots. The American Sycamore leaf was found in a pile of leaves, which was near trees surrounding the transect. The common Chickweed was found in the ground surrounding the border of each of the vegetable plots. The figures below show the transect location, Hornbeam location, Sycamore leaf location, and Chickweed location, respectively.
-The description, vascularization, leaf arrangement, and reproductive characteristics of each plant are found in Table 1 below. The plants shown below are presented as the Hornbeam, Chickweed, and Sycamore leaf, respectively.
-Fungi sporangia are types of fungi that have spores, which are important for reproduction. In the lab, we examined Rhizopus stolonifer,also known as black bread mold. It contains a number of filaments, with many black globules present throughout the structure. This is definitely fungi because we are able to identify the mycelium and sporangia in the structure, as seen in the picture below.
IV. Conclusion In this experiment, we were able to identify a number of plant features and understand how they correspond to their functions. Through the first four procedures, we examined vascularization, specialization, and reproduction in the transect plants. In the final procedure, we observed fungi and found that defining structures such as spores and mycelium help characterize the fungi. Although we had hoped to find five different plants to study from our transect, we were only able to find three different plants in the area; therefore, if this experiment were to be repeated then future studies should try to explore areas surrounding the transect to examine the diversity of plants in the locations nearby. Additionally, the Berlese Funnel was made in preparation for next week's lab. SB
February 15, 2014
Microbiology and Identifying Bacteria with DNA
I. Introduction In this week's lab experiment, titled "Microbiology and Identifying Bacteria with DNA," there were four main procedures that were conducted. The primary purpose of this lab was to gain a better understanding of how to identify and characterize bacteria and also to learn how the antibiotic tetracycline affects bacterial growth. These objectives were achieved by comparing the number of microorganisms on nutrient agar plates and nutrient agar+tetracycline treated plates, examining bacterial species under a microscope, and Gram staining bacteria. Also, an additional procedure focused on conducting a PCR reaction in preparation for next week's lab.
II. Materials and Methods
Procedure 1: Examining Plates and Quantifying Microorganisms
1. Changes in the Hay Infusion Culture were noted.
2. The number of bacterial colonies on each plate were counted and recorded. These values were multiplied by the proper conversion factor to obtain the appropriate number of colonies/ml.
Procedure 2: Antibiotic Resistance
1. Differences in bacterial growth of tetracycline and non-tetracycline treated plates were identified.
Procedure 3: Observing Bacteria
1. Four samples of bacteria were chosen: Two from a selected nutrient agar plate and two more from a selected nutrient agar plus tetracycline plate.
2. Wet mounts were made for each bacteria by obtaining a slide, placing a drop of water on to it, scraping a portion of the bacteria on top of the water, and covering the slide with a cover slip.
3. To prepare for the Gram staining in Procedure 3, a second slide of each bacteria was made according to the same instructions of step 2; however, no cover slip was placed on top.
4. Slides were examined under the 10X and 40X objectives under the microscope, and bacterial species were identified and noted.
Procedure 4: Gram Staining
1. Bacterial plates were passed through the flame of a Bunsen Burner a few times.
2. Bacterial plates were covered in crystal violet for one minute and then rinsed off with water.
3. Step 2 was repeated using Gram's Iodine rather than crystal violet.
4. Step 2 was repeated using 95% alcohol rather than crystal violet for a duration of 10-20 seconds instead of one minute.
5. Step 2 was repeated using safranin stain rather than crystal violet for a duration of 20-30 seconds instead of one minute.
6. Bacterial plates were dried prior to examination under the microscope. The bacterial characteristics were identified and noted.
Observations and Data
-Procedure 1: When the Hay Infusion culture was observed this week, one of the most defining characteristics of the jar was a reduction in the amount of water. The layer of film previously seen on top of the culture was no longer visible this week, and the water was also less cloudy. These changes from week to week occur because over time, environments change according to the different conditions. Since the jar was not covered with a lid, a reduction in water over time is expected due to evaporation. The presence or absence of organisms or certain elements of this ecosystem are constantly changing over time in response to the environment, which is why the appearance or smell might change from week to week. -Table 1 displays the number of colonies/ml for each plate.
Procedure 2: The non-tetracycline treated plates had bacteria characterized by a circular shape, an entire form, and a pulvinate elevation. Bacteria were tan and orange, but there were more tan than orange bacteria. They also have a range in size from very small bacteria to larger, more visible bacteria. Similarly, the tetracycline plates had bacteria characterized by a circular shape, an entire form, and a pulvinate elevation. They were also tan and orange, and bacteria were medium or large in size. -The main difference evident between the two plates is the number of bacterial colonies detected. Tetracycline treated plates had significantly fewer bacterial colonies than nutrient agar plates. This is evident in Table 1 as all nutrient agar plates had hundreds of colonies, while nutrient+tetracycline plates had a maximum of 50 colonies. This means that the antibiotic tetracycline is effective in preventing most, but not all bacterial growth. Thus, tetracycline aids in the reduction of the total number of bacteria; however, since the antibiotic only influences bacteria, it would not be as effective in reducing the number of fungi. There are a number of bacteria that are resistant to tetracycline, and there are different mechanisms that have caused this to occur (Chopra & Roberts, 2001). Tetracycline works by inhibiting protein synthesis in bacterial cells, and both Gram-positive and Gram- negative bacteria are affected by this antibiotic (Chopra & Roberts, 2001).
Procedure 3: In the non-tetracycline plates, bacilli and spirilum bacteria were observed. In the bacilli arrangement, the bacteria most closely resembled fusiform bacilli. In the spirilum arrangement, both spirilum and spirochetes were observed. None of the bacteria were motile. We were unable to identify bacteria in the tetracycline treated plates. Figure 1 below displays bacteria found in the plates.
Procedure 4: Both nutrient agar and nutrient agar+tetracycline plates had Gram-negative bacteria as evident by the pink stain on the bacteria.
Conclusion In this experiment, we were able to recognize bacteria and understand how antibiotics influence bacterial growth. Plates that did not have tetracycline had greater bacterial growth than those that were treated with the antibiotic. Although we were unable to find bacteria on the tetracycline plates, the nutrient agar plates had bacteria specific to bacilli and spirilum arrangements that were not motile. Since it was surprising that we could not identify bacteria on the tetracycline plates, if this experiment were to be repeated then we would collect another sample from the tetracycline petri dishes given additional time. Through the Gram-stain test, we were able to see that our bacteria was Gram-negative. Additionally, the products of the PCR reaction will help us in analyzing the DNA sequences. Through these procedures, we were able to conclude that bacteria differ in a number of characteristics and antibiotics can be useful in targeting specific types of bacteria.
Citation: Chopra, I. & Roberts, M. (2001). Tetracycline Antibiotics: Mode of Action, Applications, Molecular Biology, and Epidemiology of Bacterial Resistance. Microbiology and Molecular Biology Reviews, 65(2), 232-260.
SB
February 8, 2014
Lab 2: Identifying Algae and Protists
I. Introduction In this week's lab experiment, titled "Identifying Algae and Protists," the primary purpose was to demonstrate how to use a dichotomous key and perform culture dilutions for bacterial growth. A dichotomous key is used to help identify organisms by examining and comparing different physical characteristics. By learning how to use a dichotomous key, we are able to examine organisms from our Hay Infusion culture, which was made last week from AU's community garden. This will help in our understanding of how organisms from different ecosystems are characterized. Additionally, dilutions of the cultures were made in preparation for next week's lab.
II. Materials and Methods Procedure 1: Hay Infusion Culture and Dichotomous Key
1. A wet mount of a given sample was made by placing a drop of the sample on a microscopic slide and covering it with a cover slip.
2. Organisms were examined under a microscope and identified using a dichotomous key. Size and physical characteristics were noted.
3. Additional slides of organisms were made from two different niches of the Hay Infusion culture by using a transfer pipette to place a drop of the culture onto a slide. A cover slip was placed on top of each slide.
4. Slides were examined under a microscope and identified using a dichotomous key. Size and physical characteristics were noted.
Procedure 2: Culture Dilutions
1. Eight agar plates were obtained, four nutrient agar and four nutrient agar plus tetracycline. The four nutrient agar plates were labeled as: 10^-3, 10^-5, 10^-7, and 10^-9. The same labels were added to the four nutrient agar plus tetracycline plates.
2. Four tubes of 10 mls sterile broth were obtained. They were labeled as: 2, 4, 6, and 8, respectively.
3. A micropipette set to 100 microliters was used to take a sample from the swirled jar containing the Hay Infusion culture.
4. The sample was placed in the sterile broth tube labeled 2. The tube was swirled.
5. The sample from tube 2 was placed in tube 4 and then swirled. Steps 4-5 were repeated for the remaining sample tubes.
6. 100 microliters from tube 2 were placed and spread on the 10^-3 nutrient agar plate and additionally on the 10^-3 nutrient agar plus tetracycline plates. This step was repeated for the remaining tubes and corresponding agar plates.
Observations and Data
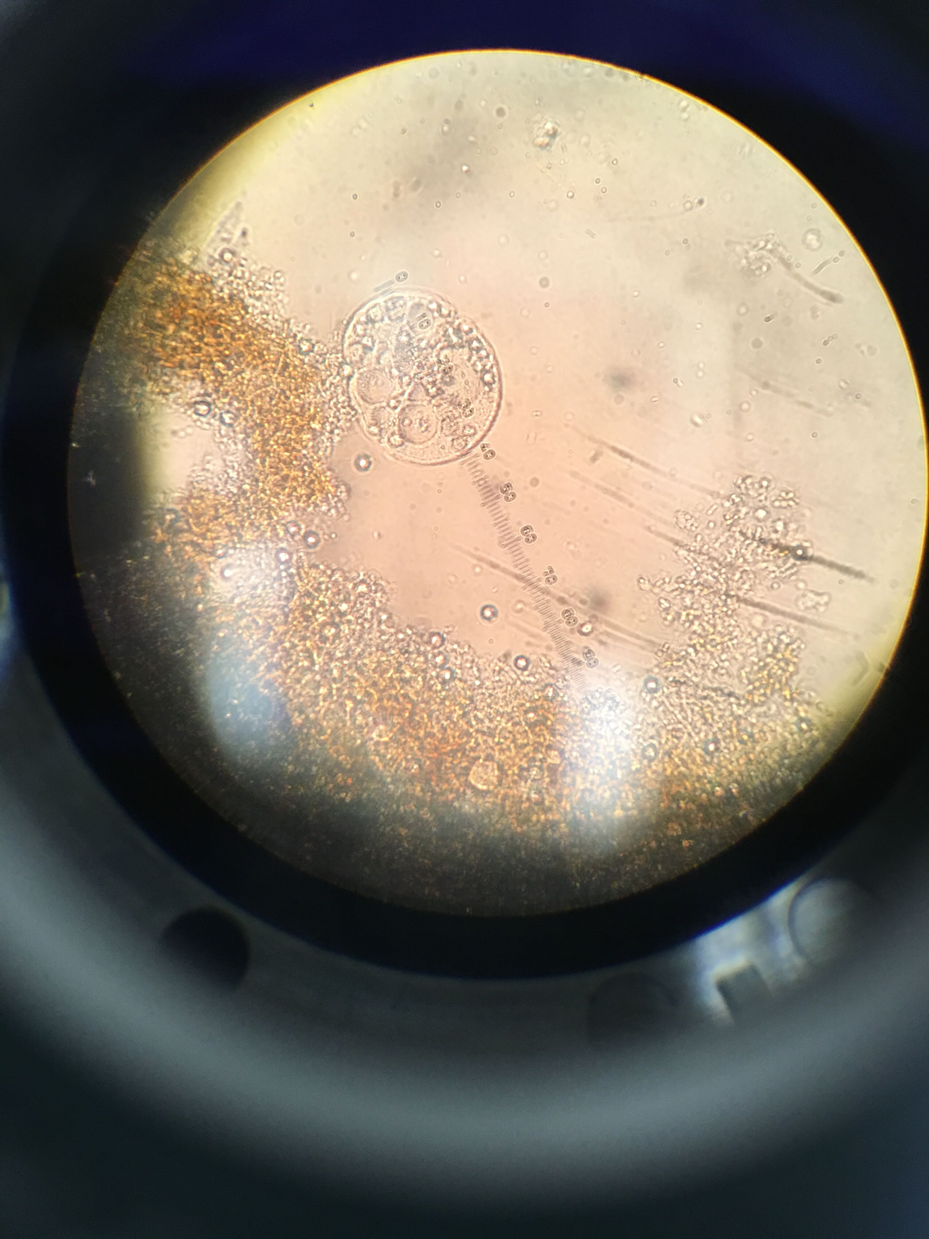
-Appearance of Hay Infusion culture: The culture was divided into layers. The majority of the components was collected at the bottom of the jar. The bottom layer contained small leaves, small branches, soil, dirt, and rocks. The soil, dirt, and rocks resembled more of a sand-like texture. The remaining portion of the jar was liquid, which was less in amount than the week before, and it had a pale-yellow color. Additionally, a very thin film had grown at the top of the culture. The culture did not have any particular smell. -Samples were obtained from the bottom layer and from the above liquid layer of the culture. Organisms near plant matter would differ from organisms away from plant matter because organisms have different needs to survive, and some may rely on the plant matter while others may not need to; therefore, we would observe different organisms in the bottom layer containing the plant matter in contrast to the liquid layer. -Although we attempted to observe six organisms, three from each layer, we were only able to identify one organism despite obtaining a range of different samples on microscopic slides. The organism was found at the bottom layer of the culture, and it most closely resembles the algae Gonium. The organism was not mobile, and its size was approximately 100 microns. Since Gonium is an algae, it is photosynthesizing.
Figure 1: Gonium
-Needs of life: Because it is a photosynthesizing algae, Gonium can obtain energy from sunlight. The organism is a eukaryote so it contains membrane-bound parts. Gonium can process information, and it is able to undergo asexual or sexual reproduction. Through evolution, the organism is able to undergo greater cell specialization and complexity over time. -If the hay infusion culture had been observed for another two months, we would most likely expect to see more biotic organisms in the culture. The physical appearance of the culture may also change over time. It is also possible that some organisms may not be present over time if the conditions are not conducive to living. For example, lack of plant matter and water over time may affect some organisms that rely on it. -Selective Pressures: One of the factors that may have affected the composition of the sample could have been the temperature. The temperature at the time of sample collection was quite low, and the jar remained at room temperature which could have affected the presence of certain types of organisms in the jar. Additionally, the lack of sunlight may also have affected the presence of organisms in the sample. Some organisms are photosynthesizing, and the lack of sunlight in the jar affects the environmental conditions for them to live in.
Figure 2: Dilutions
Conclusion From this experiment we can see how an ecosystem with its organisms can change over time based off of its environmental conditions. The appearance of the Hay Infusion culture changed over the duration of one week, and certain factors affected both the location and presence of certain types of organisms in the jar; however, it was surprising that we were unable to find a diverse range of organisms despite the different conditions in the two layers of the jar. We can conclude that a dichotomous key can play an important role in identifying organisms. In procedure 2, we demonstrated how diluting samples will help in examining bacterial growth on agar plates. This will play a significant role in next week's experiment.
SB
January 31, 2014
Lab 1: Understanding Cell Specialization in Green Algae and Defining Niches
I. Introduction The title of this lab is "Understanding Cell Specialization in Green Algae and Defining Niches."There were two main objectives that were addressed in this dual-part experiment. In the first portion of this lab, the purpose was to provide an understanding of how organisms progress and develop over time. More specifically, three organisms of the Volvocine line were studied and their cells were analyzed to examine changes in complexity and specialization. The purpose of the second portion of this lab was to demonstrate the many components that constitute an ecosystem. There are various biotic and abiotic components in an ecosystem, and these elements were examined in a 20 by 20 foot transect (#4) of American University's garden. The following are the two hypotheses for the two experiments:
Hypothesis 1: The Volvocine line will show a progression of cell complexity among the three organisms studied.
Hypothesis 2: A study of AU's garden will reveal that there are a number of living and nonliving components of an ecosystem.
II. Methods and Materials Procedure 1: Understanding Cell Specialization in Green Algae
1. A drop of Chlamydomonas was placed onto a microscopic slide.
2. A drop of protoslo and a cover slip were added to the slide.
3. Organism cells were examined using a microscope under 4X, 10X, and 40X magnifications.
4. Cell number, colony size, and cell descriptions were noted.
5. Steps 1-4 were repeated for Gonium and Volvox.
Procedure 2: Defining Niches
1. Students arrived at the 20 by 20 foot transect (#4) of American University's garden.
2. Transect descriptions, biotic components, and abiotic components were identified and noted.
3. A sample of the transect was taken in a 50 mL tube. 50% of the sample was soil and the remaining 50% were materials found above soil such as leaves and plants.
III. Observations and Data
Procedure 1 Data: 
Procedure 2 Data: 
-Description: The location of the American University garden was in a secluded area behind the campus, away from the academic buildings. The 20 by 20 foot transect was surrounded by 6 rectangular plots in which plants were growing. The land was moist due to recent rainfall, and most of the grass and plants were shriveled and dry due to the cold weather/season. Biotic and abiotic components included: leaves, tree branches, dry grass, dead flowers, little worms, soil, rocks, and wood chips. 
IV. Conclusions and Future Plans As evident in the image of data for Procedure 1, the cells in the Volvocine line differed from one another. Beginning with Chlamydomonas, it is very easy to identify each individual cell. In is distinguishable from Gonium, which contains a colony of many cells clumped together, making it more complex than the individual Chlamydomonas cells. Continuing with this progression of complexity, Volvox appears as colonies that resemble large balls and consist of thousands of cells. Thus, over time in the Volvoine line we observe organisms undergoing greater cell complexity. Oftentimes, increasing complexity can produce benefits for organisms such as in the form of cell specialization. The observations in this portion of the lab are in agreement with the stated hypothesis. Other future studies could also examine the various factors contributing to increasing cell complexity.
In Procedure 2, we learned that an ecosystem consists of both biotic (living) and abiotic (nonliving) components. As a result, an environment and its elements influence how species exist. In the studied transect, there were few visible biotic elements due to the effects of cold climate. This may contribute to fewer organisms being found in the plant material sample about the soil, depending on the nature of the organisms. If this experiment were to be repeated again, the organisms within the soil should be further examined during daytime rather than nighttime. Data was taken at night; therefore, some elements may not have been identified due to low visibility. Overall, the observations support the stated hypothesis.
Excellent start on notebook. Clear and thorough notes describing tasks and context. SK























