User:Meghan E. Caul/Notebook/Biology 210 at AU

From OpenWetWare
Jump to navigationJump to search

Lab Notebook Entry: Week #1

Transect Description

Meghan Caul 20 January 2015 BIO-210-005-2016S

On January 13, 2016, my group and I (group #3) observed a 20x20 transect located in between the outdoor amphitheater and Hughes Hall on American University's campus. Our assigned ecosystem is on a slightly tilted landscape and contains a man-made stream, a stepping stone pathway that continues through the stream, scattered deciduous trees, and a diversity of shrubs and other dwarf vegetation. Biotic components include: black squirrels running up the deciduous trees, brown birds (resembling finches) perched upon the branches of the deciduous trees, dwarf fern shrubs of a vibrant green color nestled into the topsoil, green wild onions sprouting from the topsoil adjacent to the stream, and green/black (mixed color) fungus located closer to the side of Hughes Hall. Abiotic components include: smooth gray and brown stones of various sizes tucked into both the centrality and meandering edges of the stream, stream water flowing in a downhill direction (due to tilted landscape), damp soil, or mud, on land adjacent to all edges of the stream, larger sized boulders (resembling granite) with rough texture make up stepping path, and fallen limb/bark/leaf pieces that scatter the entirety of the transect (due to Winter season).

Pictures of transect and its components:

Error creating thumbnail: File missing

Error creating thumbnail: File missing Error creating thumbnail: File missing Error creating thumbnail: File missing Error creating thumbnail: File missing Error creating thumbnail: File missing Error creating thumbnail: File missing

M.E.C. 20/01/16

Lab Notebook Entry: Week #2

Protists and Algae

Meghan E. Caul 3 February 2016 BIO-210-005-2016S

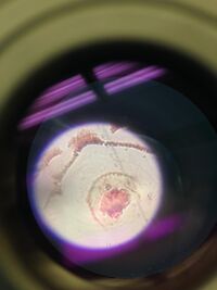
Upon revisiting our group's (Group #2) Hay infusion culture on January 20,2016, a change in odor immediately presented itself. This worsening was most likely caused by bacterial proliferation that occurred in the week the culture was without contact. There was also a thick (1 cm) layer of sludgy mold floating atop the surface. It, along with the rest of the culture, also developed a darker pigmentation (opaque dark brown/black). After preparing a total of 5 wet mounts containing a protozoa survey mixture (3 extracted from bottom of Hay Infusion jar and 2 from top--difference of one due a classroom cover-slip outage) and focusing under a 40x lens microscope, my group and I struggled to identify specimens due our culture being mostly devoid of life. We were, however, able to examine and identify many of the same species. This species, seeming to be the only kind in our Hay infusion, most closely resembled either Amoeba or ciliates and were intermittently motile. Additionally, we observed a bigger form that possessed an inner green ring but were unable to determine whether it was biotic or abiotic. Please refer to the diagram below for details regarding the serial dilution procedure.

Error creating thumbnail: File missing

M.E.C. 03/02/16

Lab Notebook Entry: Week #3

Microbiology

We predicted the presence of Archaea in our agar plates to be unlikely because of our transect's lack of extreme temperature and soil salinity. However, If any were to be present they would most likely be identified as mesophiles due to the pollution within our transect. We later discovered a complete absence of Archaea. Agar plates treated with varying concentrations of tetracycline showed significantly more bacterial colonization and fungus (also much more significant odor) that those within the control group (absence of tetracycline). These visible colonies appeared orange and blue in color and were most profuse within tet 10-3 and tet 10-5 agar plates (thousands of colonies) than in tet 10-7 and tet 10-9 agar plates ( a few dozen colonies). The agar plates lacking tetracycline treatment had minimal bacterial colonization and some translucent, fuzzy fungus.This data indicates bacteria present within the agar plates either are insensitive to the antibiotic used (tetracycline) or are antibiotic-resistant. Research demonstrates there are three mechanisms by which bacteria develop antibiotic resistance. These include tetracycline reflux, ribosome protection and tetracycline modification. It is important to also note that these mechanisms provide an increase in bacterial reproductive fitness and have been observed in both gram-positive and gram-negative bacteria. This further supports the claim that being antibiotic-resistant in an environment that allows for antibiotic exposure is beneficial to one's reproductive fitness. Diversely, tetracycline remains effective against specific intracellular bacterial pathogens (ex. Chlamydia). Please refer to the serial dilution results table and bacteria characterization table below for more details regarding observations made. We set up our PCR reaction in regard to the tet 10-3 agar plate due to highest colonization rates being present. We initially added and mixed twenty microliters of primer/water mixture to a labeled PCR tube. Next, a sterile toothpick was used to transfer a small sample of bacteria to the primer tube and mixed vigorously for five seconds. The tube was then transferred to the PCR machine. Please refer to the PCR gel photo for results.

Error creating thumbnail: File missing Error creating thumbnail: File missing Error creating thumbnail: File missing

Sources Cited: Antibiotic Resistance. (n.d.). Retrieved from http://www.antibioresistance.be/tetracycline/menu_tet.htmlSpectrum of Bacterial Susceptibility (n.d.). Retrieved February 01, 2016, from https://en.wikipedia.org/wiki/Tetracycline#Spectrum_of_bacterial_susceptibility


Pictures of examined specimens:

Error creating thumbnail: File missing Error creating thumbnail: File missing Error creating thumbnail: File missing Error creating thumbnail: File missing Error creating thumbnail: File missing

M.E.C. 03/02/16

Lab Notebook Entry: Week #4

Plants and Fungi

Meghan E. Caul 10 February 2016 BIO-210-005-2016S

The genus of plant #1 (fern) is Equisetum. The genus of plant #2 (silverweed) is Potentilla. The genus of plant #3 ('Cherry Cheeks' Daylily) is Hemerocallis. The genus of plant #4 (maroon perennial) is Geranium. The genus of plant #5 (brown seed/legume) is unknown. Fungal sporangia is a spherical, black-ish structure comprised of several hyphae filaments. When open, spores--carrying genetic material--flood out and disperse into the environment. When analyzing a sample on an agar plate with a microscope, I looked for the presence of hyphae. Upon seeing many of this filaments and strands of conidia (appearing to be chains of connected raindrops), I identified the sample as containing multicellular fungi. Please refer to the chart below for details regarding plant sample characterizations. Also included is an image of each of the five examined samples from transect #2.

Error creating thumbnail: File missing Error creating thumbnail: File missing M.E.C. 10/02/16


Lab Notebook Entry: Week #5

Meghan E. Caul

10 February 2016

BIO-210-005-2016S

Analyzing Invertebrates

The first step in setting up a Berlese funnel was to pour 25 mL of 50:50 ethanol/water solution into a 50 mL conical tube. Next, a fragment of lattice-designed screen was positioned at the bottom of the funnel. The leaf litter sample (from transect #2) was then placed in the top of the funnel. The next step was to secure the funnel to a ring stand and parafilm the base of the funnel. Lastly, the funnel was wrapped/covered in tin foil and stored in a light-controlled environment. Sample (petri dish)#1 was assigned in reference to the upper half whereas sample (petri dish) #2 was assigned in reference to the bottom half of the Berlese funnel collection. Sample #1 contained approximately a dozen termites varying in size (smallest: 3.5 mm in length; largest: 9 mm in length. Sample #2 contained a few termites, a flea, and a pseudoscorpion/spider. The overall size range of both samples ranged from 2 mm to 9 mm (mean size [in length]: 5 mm), with the longest specimen being a termite identified within sample #1 and smallest specimen being a pseudoscorpion/spider identified within sample #2. The most common identified species was the termite due to it being present within both samples. Sample #2 contained three different species (termite, flea and pseudoscorpion) whereas sample #1 only harbored a single species (termite). Please refer to the chart for details regarding characteristics of species examined. Also attached is a photo of termites identified in Sample #1 and a sketch illustrating digestive differences in protostomes (in which the mouth develops faster than the anus) and deuterostomes (in which the anus develops faster than the mouth). Error creating thumbnail: File missing Error creating thumbnail: File missing Error creating thumbnail: File missing

Vertebrates and Niches

Five vertebrates that may inhabit my transect include: Brown finch (Phylum: Chordata, Class: Aves, Order: Passeriformes, Family: Fringilidae, Genus: Haemorhous, Species: H. mexicanus), American toad (Phylum: Chordata, Class: Amphibia, Order: Anura, Family: Bufonidae, Genus: Anaxyrus, Species: A. americanas), American crow (Phylum: Chordata, Class: Aves, Order: Passeriformes, Family: Corvidae, Genus: Corvus, Species: C. brachyrhynchos), chipmunk (Phylum: Chordata, Class: Mammalia, Order: Rodentia, Family: Sciuridae, Genus: Tamias) and a rat snake (Phylum: Chordata, Class: Reptilia, Order: Squamata, Family: Colubridae, Genus: various). Because all of these are woodland creatures, they all need access to food (proper nutrients), a water source, and shelter (foliage). Our transect (#2) contains all of these requirements (i.e. insects, berries, small mammals, birds, snakes, running stream, shrubs, trees, wild grasses/weeds and flowers, arid soil, various stones, etc.). This collection of species interacting and abiding within the same habitat can be considered a community. Considering the small size of our transect--the habitat under study--the observed biodiversity all share similar survival requirements. If the parameters under study were expanded, the carrying capacity would increase in response due to added availability of more and different territory/niches. Please refer to the food web diagram below for details regarding the species' trophic levels.

Error creating thumbnail: File missing

M.E.C. 10/02/16

Lab Notebook Entry: Week 6

Meghan E. Caul

17 February 2016

BIO-210-005-2016S

Embryology and Development

The purpose of the lab was to initially analyze the embryology--and various developmental stages--of starfish. frogs and chickens, This provided insight on how to identify various stages of blastulation (from morula), gastrulation and cleavage, thus preparing us for testing the effects of a chosen independent variable on embryological development of zebrafish larvae. Within the next few weeks, my lab partner and I will measure the effects of abnormal light-rearing conditions (independent variable) on the physiological development of zebrafish retina (dependent variable). We hypothesized that those exposed to constant light would have lower visual acuity than those exposed to constant darkness. When development occurs in an environment with higher than average amounts of ambient light, the retina receives too much visual stimulation--on-center and off-center ganglion cells cannot accomplish horizontal lateralization--which causes synaptic connections (via graded potentials) between U-cone photoreceptors and bipolar cells to diminish proper functional capacity. Diversely, those who experience development in constant dark conditions fail to receive enough visual stimulation resulting in prolonged developmental latency. To put it simply, a broken visual pathway will result in lower acuity (constant light condition) than a visual pathway that has yet to fully develop (constant dark condition). In order to confirm or reject this hypothesis, we set up two trays (one for constant light condition and one for constant dark condition). Each tray contained 20 wells, each designated for a single zebrafish embryo. All 40 wells were filled will 2 mL of water and a single embryo. One tray was placed in a drawer devoid of light (constant dark condition) and the other was placed under a non-halogen lamp (constant light condition). We then observed the embryos on Friday of the same week and Monday of the next and found many that have yet to hatch and zero to be deceased.

M.E.C. 12/02/16

Lab Notebook Entry: Week 7

Meghan E. Caul

24 February 2016

BIO-210-005-2016S

16S Sequence

The goal of this lab was to use PCR sequencing to identify the genus species of a bacterium sample extracted from our transect and thus confirm our recorded colony morphology, gram stain and bacterial cell shape to be correct. The bacteria's DNA was isolated from the colonies and treated with primers--in order to selectively amplify the 16S gene--before running the PCR. Through the use of PCR and gel agarose on bacterium samples, computer software can then sequence the DNA of multifarious samples. In order to conduct this experiment, we transferred a single colony of bacteria from the agar plate to a 100 micro liter of water in a sterile PCR tube. Four tubes were prepared with four distinct bacteria colonies and a mixture of primer and water. All four PCR tubes were incubated at 100 degrees Celcius for a period of ten minutes. Following incubation, the samples were centrifuged for ten minutes at 13,400 RPM. After ten minutes lapsed, five micro liters of supernatant was transferred to the 16S PCR reaction and the tubes were relocated to the PCR machine. A week later, all four PCR products were run on an agarose gel (Bentley, 2015). Zero of the four samples ended up being usable so further analysis will be in regard to a different PCR product derived from the same transect (#2). The next lab was conducted through a computer program that translated gene sequences into specific genus species by providing the closest match to the MB number (MB35). Figure 1 displays the unusable gel results. After consulting the software program for translation of the DNA sequence (from MB35--collected by a different group yet extracted from the same transect) into a genus species, one strain of bacteria was identified, Chryseobacterium. Chryseobacterium is a gram-negative bacteria who mostly dwells in moist soil or freshwater habitats. This bacterium strain is responsible for the colony of fluorescent yellow bacteria on our agar plates, of which can be observed with the naked eye. The bacteria's exact DNA sequence is included below:

Error creating thumbnail: File missing

MB 35: Chryseobacterium NNNNNNNNNNNNNGCTNNGCAGCCGAGCGGTAGAGATTCTTCGGAATCTTGAGAGCGGCGTACGGGTGCGGAACACGTGT GCAACCTGCCTTTATCAGGGGGATAGCCTTTCGAAAGGAAGATTAATACCCCATAATATATTAAGTGGCATCACTTGATA TTGAAAACTCCGGTGGATAAAGATGGGCACGCGCAAGATTAGATAGTTGGTAGGGTAACGGCCTACCAAGTCAGTGATCT TTAGGGGGCCTGAGAGGGTGATCCCCCACACTGGTACTGAGACACGGACCAGACTCCTACGGGAGGCAGCAGTGAGGAAT ATTGGACAATGGGTGAGAGCCTGATCCAGCCATCCCGCGTGAAGGATGACGGCCCTATGGGTTGTAAACTTCTTTTGTAT AGGGATAAACCTTTCCACGTGTGGAAAGCTGAAGGTACTATACGAATAAGCACCGGCTAACTCCGTGCCAGCAGCCGCGG TAATACGGAGGGTGCAAGCGTTATCCGGATTTATTGGGTTTAAAGGGTCCGTAGGCGGATCTGTAAGTCAGTGGTGAAAT CTCACAGCTTAACTGTGAAACTGCCATTGATACTGCAGGTCTTGAGTAAGGTAGAAGTAGCTGGAATAAGTANTGTAGCG GTGAAATGCATANATATTACNTANNNNACCAATTGCGAAGGCAGGTTACTATGTCTTAACTGACNCTGATGGACNAAAGC GTGGGGAGCGAACAGGATTNNATACCCTGGTAGTCCACNCCGTAAACGATGCTAACTCGTTTTTGGGNCTTCGGATTCNN ANACTAANCGAAAGTGATAAGTTAGCCNACCTGGGAGTACNGTTNNNNAGAATGAAACTNNNANNANNNACGGGGGCCNN NNNNACCGGNNNNTATNTGGTTTNAGTGCNATGATNCGCGAGNANCNNTACCACGCNTNAANTGGGGAAGTGAGGNNGGT TNGNNNGNNNNCGTNNNTNCNNCAANTTTCAANNNNNTCCNGGGTGNNGGNGGGNNGTNNNNNANNGNTANGTNTAGGTN CNNNGACNAGCNCNNCCCCCNNNNNCGGGNNNGGGCGGNTNNNTTNCNGGANNNCNNNNNGNGNNNCCCTTGNNNNN

References: American University BIO-210 Lab Manual, Meg Bentley

M.E.C. 24/02/16

Labs 8, 9 and 10-Zebrafish Experiment: Effects of light-rearing conditions on the physiological development of larvae retina

Meghan E. Caul

BIO-210-005-2016S

01 April 2016

Lab Partner: Leo Brody

The goal of this experiment is to determine the effects of abnormal light-rearing conditions (independent variable) on the physiological development of zebrafish retina (dependent variable). Results of the experiment indicate that zebrafish larvae raised in the constant light condition hatched faster than those raised in the constant dark condition--see Table #1. Collected data also shows that zebrafish embryos raised in the constant dark condition died more frequently and faster than those raised in the constant light condition--see Table #2. This assay was designed to evaluate the effects of various light conditions on retinal physiological development of zebrafish larvae. The generated hypothesis predicts that those exposed to constant light would have lower visual acuity than those exposed to constant darkness. Due to a lack of access to an Electroretinogram (ERG)--purpose is to expose the zebrafish larvae from each treatment condition to various irradiances and wavelengths of light--evaluation of visual acuity was not able to occur. This stumps means of confirming or rejecting the proposed hypothesis. However, the time course of hatching and death can be compared amongst the two treatment conditions. Zebrafish larvae hatched and developed faster when exposed to constant light, most likely due to sufficient visual stimulation being present while those exposed to perpetuated darkness did not receive enough visual stimulation and thus, hatched and developed slower. Furthermore, those exposed to constant darkness died at a significantly faster and more concentrated rate. Lack of visual stimulation could explain this occurrence, for those larvae exposed to constant light possessed a significantly smaller deathtoll. This conclusion upholds results gathered from previous experiments. Diversely, in order for this experiment to be properly conducted, evaluation of response-times via Electroretinogram (ERG) would drastically improve the efficiency of this experiment. Included below are results tables 1 and 2, along with images of zebrafish larvae--deceased and alive--from each treatment condition.

Table 1: Quantity of Hatched Zebrafish Embryos

Error creating thumbnail: File missing

Table 2: Quantity of Deceased Embryos

Error creating thumbnail: File missing

Image #1: Hatched Zebrafish Embryo from Constant Light Condition (Day 7)

Error creating thumbnail: File missing

Image #2: Hatched Embryo from Constant Dark Condition (Day 10)

Error creating thumbnail: File missing

Image #3: Deceased Embryo from Constant Dark Condition (Day 14)

Error creating thumbnail: File missing

M.E.C. 01/04/16