User:Madison Ballacchino/Notebook/Biology 210 at AU
Zebra Fish Experiment Day 7, 11, and 14
2/24/26
Days 7&11: The fish embryos had hatched. From this point on the water that was in the wells was taken out. It was replenished with either the deer park water or the treatment of 40mg/liter caffeine. The fish were also fed 15 microliters of brine shrimp for food after the embryos had hatched. Then the observations were made.
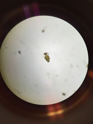
On day seven, there were 4 control alive and 9 treatment fish alive. For the treatment, their movements seemed to be less sensitized to tapping on the glass compared to the control fish. For both fish, their bodies were longer than on day 4 were more of a noticeable jaw. The bodies of the caffeine fish had thinned out. They were long, green, with black specs throughout the body. Eyes seemed to move slightly after the case was shaken. The caffeine fish look as though they are developing faster than the control fish. The control fish had more of a wider, shorter body.
This is an image of the caffeine zebrafish on day 7.
This is an image of the control zebrafish on day 7.
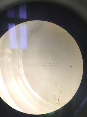
Day 11:
These are the observations for the zebrafish on day 11.
This is an image of the caffeine zebrafish on day 11.
This is an image of the control zebrafish on day 11.
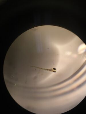
Day 14:
These are the observations for the zebrafish on day 14.
This is an image of the caffeine zebrafish on day 14.
This is an image of the control zebrafish on day 14
Zebrafish Experiment Day 1 and 4 2/17/16
This experiment started with two different cases holding twenty cells each. One of the cases was for the control of the experiment, the second case was for the treatment used on the zebrafish embryo. For this specific experiment, 40 mg/liter of caffeine was used. The wells of the first case held two mLs of poland springs water. The wells of the second case held two mLs of the 40 mg/liter caffeine in water. Then 20 zebrafish embryos were put into one well of the control and 20 embryos were put into the treatment case. Two days later, descriptions of the control and treatment were observed and written down.
Friday's 2/19/16 Observation (Day 4)
These are the observations of the zebrafish that were treated and also the ones used as a control.
This is the zebrafish that is treated with caffeine.
This is the zebrafish that only has water in the wells.
M.B.
16S Sequence analysis 2/3/16
Due to the fact that our PCR did not work, no pictures were able to be taken and no conclusion on the genus species could be made. So I used Taylor Hendrickson's OWW report from bio 210 spring semester 2015. Sequence is used to determine the genus of the species by comparing the gel that I take to a known gel to see if the markers line up. Whichever markers are the most similar indicates which species it is. Sequence analysis corresponds to colony morphology, gram stain, and motility studies because it is relating one type of bacteria to its known members. As the different samples were taken from the agar plate, it was known that the bacteria came from colonies. These colonies held bacteria that could be used in a gram stain in order to be looked under a microscope. The shape and motility could be characterized. Using a dichotomous key, the species of the bacteria could be guessed, but the official genus species could be named using the genotype instead of just looking at the phenotype.
Once the DNA sequence was found out, the website http://blast.ncbi.nlm.nih.gov/ was used and the sequence was plugged in to this to determine the best matched bacteria species. "Chryseobacterium sp. MH gene for 16S rRNA, partial sequence" was one of the bacteria she found in her transect, which was the same as ours. We also found this bacteria on our agar plate, but we did not correctly identify it ourselves with the dichotomous key. They were unaware that there would be a future lab report on this so they did not obtain pictures on the agarose gel. So this image was obtained from http://www.microbiologyresearch.org/docserver/fulltext/jmmcr/1/3/jmmcr001008.pdf?expires=1456540972&id=id&accname=guest&checksum=4DF21DB859486C5CBF09404AD0E2789B.
NNNNNNNNNNNNNNNNNANANTGNANNCCNNAGCGGTAGCAGANGNTATCANGATGTCCGACAGCGGCTTGCNGATGAGG TACAAGTGTGGTTTATGCCTTTAGCCGGGGGAGGCACTTTCGTTGGGAAGATTACAACCCCATAATTATAATCGTGGCAT CTCTTGAAANGGACTGGTCCAGTGGAAAAAGAAGGGCCCGACCCTGATGANGCAGTTGGTACGGGGACGGTTCACCANGG CTGTGATGTTTGTGGGGCCTGANAGGGTGATCCCCCTGTGTGGTACGGAGACATTGACCCAACACCAATTGCAGGCGCCT CTGAGGAATATTGGACAATGGGTGAGAGCCTGATCNNNANTCNNCGNGAAGGATGACGGTGCTCCTGGTTGTATTCTTCT TTTGTATATTGATGGTGATTTCCTCGTGGGTGAAGCTGAATGAACTATACAAGCAGNAACCGGNGAGGCCCNTGCCTTCA GCCTCGGTNNTACNCAGGGTGTTGCCGTTTGAGAGATTTATTGNNTTNTCGAGGTTGGTTCNNGCNGANGGCNNACAATA TGCTGTANNNNTNACTNNNNGGTCAATCTGCATANGTTGGCGCGNGNCGCGACTNTTGGATATCTACCTTGCNTAAAANA NTCNNACANGGAANNCNTANATAATANCNNNNNCACCAATTGCGAANGCAGGTTACTATGTCTTAACTGACGCTGATGGA CGAAAGCGTGGGGAGCGAACAGGATTANATACCCTGGTANTCCACGCCNTNNNNNATGCTNACTCGTTTTTGGGNTCTTC NGATTCAGAGACTAAACNAAAGTGATAAGTTAGCCACCTGGGGAGTACGTTCNCAAGANTGAAACTCNAAGGAATTGACN GNNCCCGCACAANCGGNGGATTATGTGNNTTNATTCNATGATACGCNANGAANCCTTNNCCNANGCTTAANTGGGNANTN GATCGGTTTNNNANNNNACCTTNCCTTNNNCAATTTCAAGGTNCTGCATGGNTNGTCNNCNGCTNNNNCCNNNANTNNNA GNTAANTCCTGNNNNNNNGNNNCCCCNTGTCNCNNN
M.B.
Invertebrates and Vertebrates 2/11/16
The Berlese Funnel was set up with a funnel that had wiring at the bottom. Leaf litter was placed in the funnel, and wire was there so leaves would not fall out, but organisms would. There was a 50 mL conical tube attached to it that held 25 mL of 50:50 ethanol/water. It was all placed under a lamp, which was placed under foil. The two samples from the Berlese Funnels were only slightly different. In the first top half, we found the biting lice and termites, in the second bottom half we found the flies. In conclusion, the data showed that the size ranged from as small as .10 mm to the biggest .15 mm. The smallest was the termite and the biggest was the fly. These were all some sort of insect. Only one of each of the three organisms were found. Otherwise, there was just dirt and mud.
Organisms to inhabit this transect red-headed woodpeckers, northern mockingbird, eastern gray squirrel, western ground snake, and house mouse.
Classification: Red-Headed woodpecker- Phylum=Chordata. Class=Aves. Order=Piciformes. Family=Picidae. Genus= Melanerpes. Species= M. erthyrocephalus. Two thirds of their diet consist of plants so this biotic life would benefit the woodpecker. They also eat insects which help which are also found in this transect. Northern Mockingbird- Phylum=Chordata. Class=Aves. Order=Passeriformes. Family=Mimidae. Genus=Mimis. Species= M. polyglottos. They also eat insects which help which are also found in this transect so this is beneficial. Eastern Gray Squirrel-Phylum=Chordata. Class=Mammalia. Order=Rodentia. Family=Sciuridae. Genus=Sciurus. Species=S. carolinensis. Acorns are living matter that are found in this transect which are eaten by squirrels. This is beneficial to them. Western Ground Snake-Phylum=Chordata. Class=Reptilia. Order=Squamata. Family=Colubridae. Genus=Sonora. Species= S. semiannulata. There is an abiotic sewer gate in this transect which is beneficial to the snake because it is usually nocturnal and found in this drainage system, trying to find food. House mouse-Phylum=Chordata. Class=Mammalia. Order=Rodentia. Family=Muridae. Genus=Mus. Species= M. musculus. The biotic plant life would benefit this house mouse because they are omnivores and there is enough available to eat.
This represents a community because all of these different organisms act together and depend on each other. They are each other's food sources, such as the snake eating the mouse, and without them the balance of the ecosystem would be shifted. It also represents carrying capacity because there are only a certain amount of species that can coexist in a certain environment together. There will be competition and those that win the competition stay and live off of the available resources, which are limited. This type of transect can only support certain species of organisms. The resources that are limited explain why there can only be a limited amount of organisms. Trophic levels are represented because different organisms feed off of or receive energy from the same type of source. An example for this would be the bacteria obtain energy from both the decaying wood and dead leaves. But there are also different trophic levels in which there are producers, consumers, secondary consumers, etc. This is when the earth worm eats the bacteria, and the bacteria is obtaining energy from the wood.
M.B.
Plants and Fungi 2/10/16
The genus for the first sample of grass is Poa. The genus for the second sample of clover is Trifolium. The genus for the third sample of leaves was too difficult to find because the tree it was coming from was not labeled. The grass was green, short and rough. Sparse patches were found throughout the transect. The clovers were three leaved, green, and small. They were found throughout the transect. There were two types of leaves found. But they were both dead and brown. One was dark brown and oval shaped, the other was beige and irregularly shaped.
The only seed found was an acorn which is monocot. There are no flowers or spores.
Fungi sporangia are where the spores come to existence, which later on differentiate into male and female gametophyte spores. They are important because they are in the alternation of generations cycle. As the sporangia create more spores, it allows for the fungi to spread the spores and create more of its own to live in other places.
Lichen, mushrooms, and mold are fungi and they are what were observed under the microscopes. Lichen belong to Ascomycota, mushrooms belong to Basidomycota, and mold belongs to Zygomycota.
This mold is a fungus because it consists of hypha which are the filament-structure that make it up, which make up the majority of the fungi.
M.B.
Microbiology 2/3/16
Now the Hay Infusion's smell was way more potent. The layer of mold at top was now more like a opaque film of mold that was more thick. The hypothesis for the change in appearance and smell is that more bacteria are growing and grouping together. This then releases a stronger smell.
The results from Table one showed that the dilution of 10^-3 and 10^-5 plates with nutrient and tet were the only ones to grow colonies. This indicates that the bacteria was resistant to the bacteria for these two sets of dilution plates. 10^-3 had 112000 colonies/mL and 10^-5 had 400000 colonies/mL. They can survive more easily in 10^-3 because there were more of them, making it easier for them to spread out to find their own food, instead of having to group together. The tetracycline killed off the bacteria more easily when there weren't as many bacteria per mL.
Mechanisms for tetracycline: The mechanism of action for tetracycline is to invade a cell of bacteria and disturb the process of protein synthesis or they are destructive to the membrane. Bacteria that is sensitive to this tetracycline are gram-positive and gram-negative bacteria, chlamydiae, mycoplasmas, rickettsiae, and protozoan parasites. Chopra, I., & Roberts, M. (2001). Tetracycline Antibiotics: Mode of Action, Applications, Molecular Biology, and Epidemiology of Bacterial Resistance. Microbiology and Molecular Biology Reviews, 65(2), 232–260. http://doi.org/10.1128/MMBR.65.2.232-260.2001 Schanppinger D, Hillen W. Tetracyclines: antibiotic action, uptake, and resistance mechanisms. Arch Microbiol 1996; 165:359.
Characterization Table:
Materials and Methods for gram stain: Growth on the agar plate was put onto a wet mount slide and held over heat to dry. The bacterial smear was covered with crystal violet for a minute and rinsed with water. Then iodine was added on for one minute and the rinsed off. Then 95% alcohol was added for 20 seconds and rinsed. Safranin stain was added for 30 seconds and rinsed off after. The mount was then air dried for microscope observations.
Materials and Methods for PCR amplification: 25 microliters of primer/water were added to the two separate PCR tubes and shaken around. Bacteria from the agar plate with tetracycline with 10^-3 dilution was added to a PCR tube. Bacteria from the agar plate without tetracycline with a 10^-5 dilution was added to a second tube.
Colony Label: 10^-3(with tet): It was pure, 10 micrometers on 4x magnification, irregular shaped, and wrinkled. It did not move and is shaped like an actual human heart. It is gram positive. Identification is Blepharisma.
10^-5(with tet): It was purple, rod shaped, irregular, over 100 micrometers on 4x, and wrinkled. It did not move, and the surface was raised. It is gram positive. Identification is Blepharisma.
At 4x.
10^-3 (no tet): It was purple, rough, linear, and over 100 micrometers on 4x. It did not move and you could not zoom in close enough to see the cell shape.Identification is Stentor.
10^-5 (no tet): It was filamentous, purple, and wrinkled and was 50 micrometers at 10x. It did not move and was chromosomal looking. Identification is Stentor.
M.B.
Protists and Algae 1/27/16
Hay Infusion setup and initial observations: Originally, the Hay Infusion smelled like musty, moldy mud. There was a thin layer of mold at the top. There was a layer of soil at the bottom and water in the middle with leaves and grass floating at the top. If this Hay Infusion continued to grow for another two months, then there would be a thicker film of mold at the top with even more bacteria growing. Different niches would probably develop as bacteria can grow fast and they would create different roles for the varying bacteria. As it grew, it would probably smell worse because the bacteria secrete a gross smell. One organism we identified was Eudorina. It meets all the needs of life because it obtains energy, grows, reproduces, and is made up of cells.
Indication of where protists samples came from in the Hay Infusion: The first and second protist found came from a niche right above the bottom layer of the Hay Infusion. This is where the dirt sank to the bottom and combined with the water to make a muddy/sand-like area. The second protist also came from this area. The third protist was found in an area at the top of the Hay Infusion. It was taking going through the thin film of mold at the top, near a dead leaf. This changed the options of what protists were found because of the different food sources and living environment that was available.
Description of the protists samples from the Hay infusion: The first protist found was an organism that was irregularly-shaped and had one big circle near the top, along with small little circles found throughout the "body" of the organism. It was clear and appeared to be non-motile. In this sample, this was the only organism found for this niche. It was ten micrometers at 40x.
For the top layer niche, two protists were found. The first one was thought to be Eudorina. It was a large purple circle with little green circles on the inside of it. It also appeared to not be moving. It was difficult to classify as it did not match up with anything on the dichotomous key. It was 12 micrometers at 40x.
The second protist found was clear and moved fast. It had no visible flagellum. The size of it was 3 micrometers at 40x. It was difficult to classify as it did not match up with anything on the dichotomous key.
A serial dilution was then set up for the next lab meeting. The serial dilution was made of agar plates, half with tetracycline and half without. Different dilutions of the Hay Infusion were added to these agar plates.
M.B.
Description of Transect 1/13/16
The purpose of this lab is to observe and record all different kinds of life and non life that is surrounds the environment, by describing all different aspects of life and non life in a 20x20 transect. My group's transect was located right outside of Hurst's side doors and immediately to the right, next to Ward. The direction was about 30 degrees NE. In the transect, the soil was hard with sparse patches of grass and crinkled leaves were scattered throughout. Grass was found towards the southern direction of the popsicles when looking from an aerial view. There were acorns that were laying there, along with twigs branches. Brown tree shrubs with no leaves, only branches, left were more towards the north direction at the top. If any grass was found, it was near the outsides, towards the popsicle sticks, or surrounding the roots of the branches of the shrubs.There was cement behind the area with a sewer entry leading to a building, and that is where the popsicles cut off. The abiotic things we found in this transect were candy wrappers, tree branches, fallen leaves, cement, and a sewer grate. The biotic things found were short grass, tall grass, clovers, shrubs, and acorns.
M.B.
