User:Kaila T Bryant/Notebook/Biology 210 at AU
March 23, 2016 Purpose: To see the negative and positive effects of Amoxicillin and Metoprolol on the embryos of zebra fish.
Materials and Methods:
Day 1: Using Zebra fish water, fresh water pre-prepared with an anti fungal, methylene blue, to help them survive; Metoprolol was mixed into the 500 ml flask with the water at a concentration of 50 mg/ml. (10) This did not dissolve, so the mixture was heated at over 150 degrees Celsius and mixed using a magnetic stir bar. Although this did create some break down, it did not fully dissipate the drug. Following this, 6 ml of Zebra fish water, in a fresh 500 ml flask, was mixed with one tablet of Amoxicillin at 858 mg a tab. This putting the mixture at about 140 mg/ml which is what the paper used as reference instructed (9). After being magnetically stirred Amoxicillin seemed more soluble, so it was left alone. After letting the mixtures cool, the control, regular Zebra fish water, and both of the mixtures were placed into 24 well dish. After selection 20 healthy embryos, a dropper was used to transfer the egg in the each well.
Day 2-3: The fish were left to develop and grow in the lab, they were not fed nor jostled in this time period.
Day 4: A standard check up on the fish was taken and care was taken to replace any low water wells. The fish were examined under a dissection microscope to check for any death. The remaining fish were fed 15 microliters of brine shrimp with a P1000 pipette.
Day 5: Standard check up on fish was taken. Care was taken to replace any low water wells and take out any old empty egg cases. Each fish was observed under a dissection microscope to ensure it was living. 10mLs of solution was removed from each well and dependent upon the condition, 25 mLs of fresh water was added corresponding to the letter on the well. The remaining fish were again fed 15 microliters of brine shrimp with a P1000 pipette.
Day 6: The same steps as day 4 were taken.
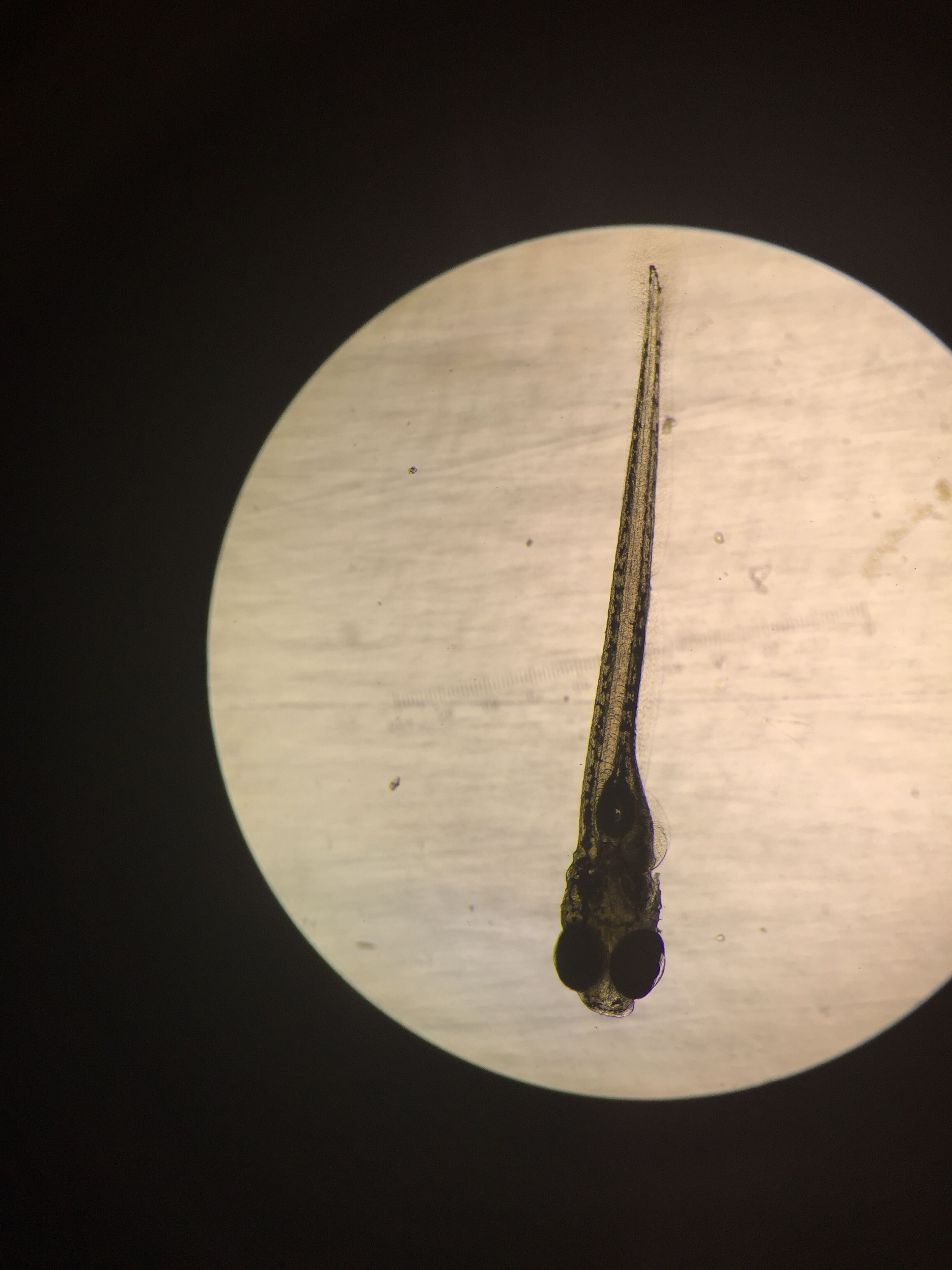
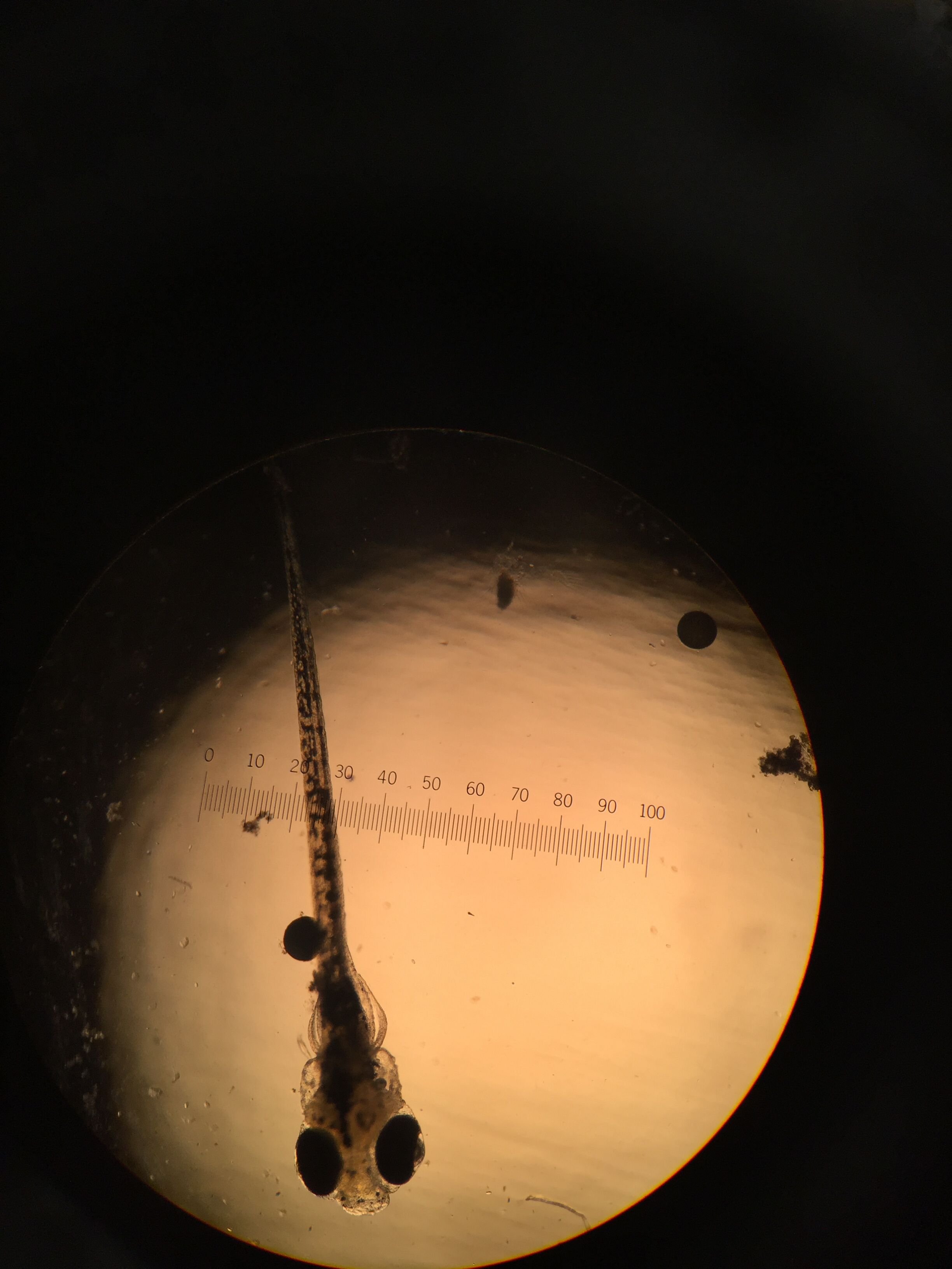
Day 7: Standard check up on fish was taken. Care was taken to replace any low water wells. Each fish was observed under a dissection microscope to ensure it was living. 5mLs of solution was removed from each well and dependent upon the condition, 5 mLs of fresh water was added corresponding to the letter on the well. 3 embryos were selected to fix and put in 2% tricaine. After they were put in formaldehyde to preserve their bodies for measurement and observations later. Two fish from each group, A, B and C, were taken and put into a slide with water from their well and observed under a compound microscope. These fish were assessed on different levels: movement, speed, movement after being jostled or prodded, eye movement, heart beat, stage of development, curve of tail, swim bladder, fin size and pigmentation. They were then placed back into their wells using disposable pipettes. The remaining fish were again fed 15 microliters of brine shrimp with a P1000 pipette.
Day 8: The same steps as Day 6 were taken.
Day 9 - 10:
	The fish were left to develop and grow in the lab, they were not fed nor jostled in this time period.
Day 11: Standard check up on fish was taken. Each fish was observed under a dissection microscope to ensure it was living. 5mLs of solution was removed from each well and dependent upon the condition, 10 mLs of fresh water was added corresponding to the letter on the well. Two fish from each group, A, B and C, were taken and put into a slide with water from their well and observed under a compound microscope. These fish were assessed on different levels: movement, speed, movement after being jostled or prodded, eye movement, heart beat, stage of development, curve of tail, swim bladder, fin size and pigmentation. They were then placed back into their wells using disposable pipettes. The remaining fish were again fed 15 microliters of brine shrimp with a P1000 pipette and two drops of paramecium.
Day 12: Same procedures from Day 8 were done.
Day 13: Same procedures from Day 11 were done.
Day 14: The one remaining live Zebra fish was put in tricaine and then formaldehyde. The rest of the wells were assessed and the fish still intact measured. The well and the water used for Groups B and C were then disposed of into the waste.
In the case of death: A disposable pipette was used to suction the fish out, throw it into the waste and suction out any leftover water. Then a paper towel was used to wipe the well clean.
Notes Taken:
Day 0 Thursday 2/18/16 
•	Control (A1-A8) 
o	Zebrafish H2- 
•	Amoxicillin 858 mg (B1-B8) 
o	140 mg/ mL 
o	crushed and dissolved in H2O (1 tab) 
•	Metoprolol 25 mg (C1-C8) 
o	50 mg/mL 
o	crushed and dissolved into H2O 
♣	not fully soluble, still some particles present 
•	Placed 2 mL zebrafish H2O in first 2 rows of wells
•	Placed 2 mL of dissolved amoxicillin in next 2 rows of wells 
•	Placed 2 mL of dissolved metoprolol in last 2 rows of wells 
•	Placed 1 embryo in each well 
Day 1 Friday 2/19/16 • Checked on zebrafish @ 12:30pm o looked @ H2O levels, all look about 2 mL o all fish still living (based on observations made with the naked eye, not under scope) o all fish still in embryos; none hatched o some movement visible o Around 4:00pm looked at zebrafish under dissecting microscope ♣ took pictures (1 from A, B, C) ♣ all in embryos ♣ no movement seen
Day 4 Monday 2/22/16
• A1-A8
- 48 hour stage - completely hatched - motile - A8 curved tail
- Control A7 & A8 deformed, have large mass behind eyes, non motile, tails bent abnormally - B1-B8 - normal development - very motile - done completely hatched - motile - B1, 2, 6 have specs at bottom of well
- C1-8 - mostly hatched - some sac left behind - little before 48 hour mark - C2,3,8 have specs in the bottom of well - C6 deformed a bit - All have very little motility
Day 5 Tuesday 2/23/16
• Control A1-A8 all in 48 hr stage, completely hatched motile • Control A7 & A8 deformed, have large mass behind eyes, non motile, tails bent abnormally • B1, B2, B5, B6 show normal development, very motile, 48 hr mark, particles at the bottom of the well suggest death & disintegration of another fish • B3, B4, B7. B8 normal development, very motile, 48 hr mark • C2, C3, C8 normal body development, little motility, appear “stuck to slide of well by face. disintegration particles at the bottom of the well are present • C1, C4, C5, C7 normal body development, no response when well was flicked, no movement seen • C6 deformity, nonmotile • egg shell removed from wells • all fish fed 15 mL of brine shrimp • more H2O added
Day 6 Wednesday 2/24/26 • 5:30pm • A8 dead, shell of body still visible, no disintegration • A1-A8 normal development, ~40 units @ 1.2x on dissecting scope, very motile • A7 nonmotile, deformed • B1-B8 ~40 units @ 1.2x, motile appear normal • C1-C5, C7, C8 all ~40 unites at 1.2X slowed motility delayed response to poking with transfer pipette • C6 deformed ~31 units @ 1.2x
Day 7 Thursday 2/25/26
•	A4 
o	heartbeat steady, a lot of eye movement
o	Tail is about a 155 degree line
o	Bigger right fin
o	Yolk sac gone
o	Bump on front of fish and left near absence of yolk
o	Relatively still, moves when move water
o	Twitchy
o	Swim bladder enlarged
•	A2
o	Relatively straight
o	Jumpy
o	Yolk sac gone
o	Swim bladder normal
o	Fins normal
o	Heart rate steady and normal
o	Fasts movements
•	B1
o	Very straight
o	Slowed heart rate
o	Slowed eye movement
o	Normal development
o	Small fins
o	No yolk sac
o	Swim bladder normal
o	Little to no movement
o	Shaken, doesn’t move
o	Relatively non motile
•	B3
o	Perked up when moved
o	Jerks very quickly when taken
o	Straight 
o	Slowed heart rate and eye movement when still
o	Normal swim bladder
o	Normal development
o	Small-normal fins
o	No yolk sac
•	C2
o	Bone straight
o	Very still
o	Slowed heartrate
o	Darker tint
o	Small swim bladder
•	C8
o	Fins a bit smaller than normal
o	Straight
o	More than 10 ocular spaces
o	Sac gone
o	Pretty still
o	Motile, but slow
o	Slow heart rate
o	Slow eye movement
o	Darker pigment
Day 11 Monday 2/29/16 • Notes from day: o Seems hotter in lab o look much worse from last week after not being fed o 4:41 pm o all extra info is because it is important day • A1 o Slightly curved o Motile, swims up and down tube when moved from well to slide o Moves when prompted o Slightly deformed • A2 – dead, disintegration beginning • A3 o Straight o Kind of small o Doesn’t move much o Alive but doesn’t move much ♣ EXTRA INFO • Swim bladder visible, normal • Slight curve in tail, favors side • Twitchy, yet still, very active when prompted • Besides that, mostly still, not a ton of movement • Heart beat normal • Eye movement normal • Head normal • Fins even, normal • Coloration normal • A4 o Really bent o More translucent than first two o Motile when jostled o Despite deformed tail moves relatively quickly ♣ EXTRA INFO • Right fin bigger • Twisted tail • Normal heart and eye movement • Mostly still, moves occasionally • Some movement too, seems jaw is normal, although favors right side • Moves mostly with fin instead of tail • Head normal • Jumpy, but not constant movement • A5 – looks dead, but no disintegration yet • B1 o Alive o Motile o Sluggish movement o Seemingly small ♣ EXTRA INFO • Normal heart rate • Straight • Normal fins • Very fast/ motile in sudden bursts • Eye movement fast • Smaller, more circular swim bladder • Normal pigmentation • B2 o Alive o Super active o Especially when tapped o Bigger than B1 • B3 o Straight o Still until tapped o Normal size o Pigmentation standard ♣ EXTRA INFO • Twitchy movement • Large, round swim bladder • Normal fins, fast movement of fins • Normal head, heart rate steady • Eye (really developed and motile) • Developed faster • B5 o Very active o Pigmentation clear o Straight • B6 o Non motile o Motile when jostled a lot o Kind of float around instead of swimming o Normal size • B7 o Alive o Normal size o Motile o More active when prompted o Normal pigmentation • B8 o Super motile o Clear pigmentation o No bend • C1 o Slight curve in tail o Very still o Barely active when prompted ♣ EXTRA INFO • Curved tail • Rapid fin movement • Pretty still • super developed and extreme movement of eyes • a lot of mouth movement as well • slightly darker pigmentation • swim bladder hard to see, under developed • movement when jostled • C4 o Clear o Deformed o Non motile o Non active when prompted • C7 o Slight curvature o Non active o 160 degree tail o barely motile when prompted • C8 o Tiny amount of curvature o Clear-ish pigmentation o Floats on side, might die soon o Move once when prompted ♣ MORE INFO • Super still • Virtually no fin or eye movement • Slightly curved • Really visible swim bladder, though still under developed • Really still • Slightly darker pigmentation
Day 13 Wednesday 3/2/16 • Measurements of fixed fish from day 7: o A6: 3,500 µm o B4: 3,125 µm o C5: 3,000 µm • (Kaila’s specific observations, Alyssa please add the observations from extra) • A3 o Looks dead o Seems no heartbeat o No movement o Discoloration o Darker pigmentation o Warped eyes o Straight tail o Normal fins o Paramecium starting to develop around fish, eating at him • A1 o Strange o Really deformed o Possibly without fins, or really small o Discoloration o Less color o Small swim bladder o Does not respond to movement o Less me move without reaction o No curvature • A4 o Alive o Mostly non motile o Moves when prompted o Uses front fin to swim o Heart beat no visible o Normal eye and heart size o Not much eye movement o Normal coloration o Very bent tail o Swim bladder normal o Skin, or something coming off tail, maybe part of him is detached • B1 o Straight o Normal swim bladder o Normal fins o Not very motile o No discoloration o Not a lot of eye movement o Twitchy o Barely swims when poked o Sometimes swims of own accord • B3 o Straight o Darker o Normal swim bladder o Right fin smaller o Minimal eye movement o Thin o Eyes look lighter than black o Not super motile o Doesn’t swim when poked • C1 o Normal swim bladder o Starys on side (sort of floats) o Black eyes, no movement in them o Non motile even when prompted o No curve o Darker pigmentation o Smaller fins • C4 – disintegrating, curved, dead • C7 o Dead o Surrounded by paramecium o Normal size o No curvature
Day 14 Thursday 3/3/16 • A1,3,4 were all found dead o Officially all controls are dead o A3 & 4 were getting eaten by the paramecium ♣ Alyssa has a picture of A3 o No control fish was fixed on Day 14 because all were dead • B1, 3, 5, 6, 7, and 8 were all found dead • B2 got fixed o Measurement: 3,575 µm • C1 and 7 were found dead o No C fish was fixed on Day 14 because all were dead
March 16, 2016
Title: Vertebrates and Invertebrates, how do they affect Transect 1? Purpose: To identify the vertebrates and invertebrates in Transect 1 and analyze their part in the food web.
Materials and Methods:
We visited the transect and collected leaf litter and samples from five different plants followed by setting up the Berlese funnel in which 25 mL of the 50:50 ethanol/water solution was placed into a conical tube. A piece of screening material was placed into the bottom of the funnel and it was placed on a ring stand and the base was covered with parafilm. A lamp was placed above the funnel and the entire structure was covered with foil. After a week it was taken apart and the liquid was decanted into a petri dish. The remaining liquid was then poured into a different petri dish. The petri dishes were placed under dissecting microscopes and observed for the presence of invertebrates. Any organisms seen were identified and characterized using a dichotomous key and differences due to their location in the funnel were noted (Bentley, 2016).
Data and Observations: Vertebrates Birds, Squirrels, Raccoon, Skunks, Deer
Invertebrates
Figure 1. Aphids and Louse under microscope
Figure 2. Example picture of an Aphid
Figure 3. Beetle under microscope
Figure 4. Example picture of beetle.
Figure 5. Sucking louse under microscope
Figure 6. Example picture of sucking louse.
Figure 7. The Foodweb of Transect 1
Conclusions and Future Directions: The Foodweb (Figure 7) shows the huge amount of interrelations among the micro ecosystem of Transect 1. The way the bacteria eats the things that die like foliage and animals and the bugs protozoa eat bacteria and insects eat protozoa. The projected vertebrates in the transect would also play into this, as the squirrels would eat nuts coming off of trees and the birds will eat insects. It becomes a type of cycle. I think the search for the invertebrates would have been better in a different season. The temperature and conditions not only changes the homeostasis of the ecosystem, but also greatly affects eating habits and the types of organisms we see because not all of the weeds and angiosperms are in full bloom.
February 17, 2016
Header: Intricacies of plant life in Transect 1
Purpose: To observe and determine the greater intricacies of Transect 1 plant life: vascularization, reproduction structures and etc.
Materials and Methods: We went out to our transect and collect various samples of five different types of plants. We tried to either collect roots or collect seeds to determine as much about the plant as we could. Then we measured the leaves and length of the plants, followed by performing a cross section and examining the plants under dissecting microscopes.
Data and Observations: Plant 1: Plant 1 has long thin leaves, that feel smooth almost like plastic to the touch. We managed to get the roots for this plant and it can be seen that the leaves spread out much like the roots. Plant 2: Attached to a tree with a taproot system. Plant 3: Also a taproot system as it goes straight down in spreads from central root. Plant 4: Plant 5: None of the plants were currently flowering so we didn’t get any seeds. But I made some educated guesses to whether they were monocot or dicot if they were a plants that produced seeds.
Figure 3.1 Plant 1
Figure 3.2 Plant 2
Figure 3.3 Plant 2 Measured
Figure 3.4 Plant 3
Figure 3.5 Plant 4
Figure 3.6 Plant 5
Figure 3.7 Characterization of Plant
Discussion and Future: Our transect is pretty worn down and doesn’t have much variation in plant life. There isn’t really a water source and it is pretty standard in lack of differentiation in plant life for a college campus. This makes it particularly hard to find organisms and analyze what is actually going on. For future it might be better to do this in a different season, specifically not winter when it is hard to tell if common weed plants are indeed flowering or not. Furthermore maybe switch to a transect where there is more flowering plants or a water source so there is more variation in vascular systems or even reproductive methods. We also found a fungi. Fungi sporangia, it is medium, dark, circular waves that held spores. It was characterized as Tremella folicea, gelatinous and quite wet in feel.
Works Cited: Meg Bentley, Sarah Knight, Nancy Zeller and Kathryn Walters-Conte. “Biology 210 Laboratory Manual.” iBooks.
February 10, 2016
Header: Serial Dilutions, Bacteria Analysis and Gram Stains
Purpose: To identify bacteria in our transects hay infusion and figure out what they are, how they move and how they’re made up.
Materials and Methods: Wet Mount: This process was repeated multiple time for four different bacterial colonies. When examining the Agar plates, with and without the presence of tetracycline, we decided which colonies looked promising or interesting and took about half of the colony on a sterilized loop. We then added it to a microscope slide with water, about a drop, and mixed the two. We looked at it under a compound microscope and tried to identify a bacteria if one was present.
Data And Observations:
We noticed that the transect materials we have been getting of not produce a large quantity of bacteria when we go to put it under the microscope. 
We think there is something specific to our transect. Either way, we only found 2 organisms and the gram stains were not effective. 
The pictures below in figure 2.3 and 2.4.
Agar_Plates.JPG
Figure 2.1 Agar Plates, Dilutions and Tetracycline and Not
Dilution.jpg
Figure 2.2 Dilution and Conversion Factors
GramStainPositive.JPG
GramStainNegative.JPG
-Kaila Bryant
Biotic Components Clovers Acorns Sticks (Branches) Flower (Kerria Japonica "Pleniflora") Leaves (Oak)
Abiotic Components Rock Soil Wind (11 mph) Temp (28 Degrees F) Light
Transect Description The ground is packed hard with moist soil. There is s light splattering of leaves everywhere. There are trees of varying size, the large ones are oak. The light post is the the left of the middle and surrounded by trees, plants and leaves.
