User:Jose E Muniz Gomez/Notebook/Biology 210 at AU
Title: Transect Bacterial Gel Running Process and Results Date: 2/26/2016
1) Purpose:The purpose of this experiment 3 weeks ago was to identify from the 16S ribosomal strand the type of bacteria that was in our transect. A gel running process is the most accurate method in science to identify this.
2) Methods/Materials:
A) Gel Running: The gel was ran by the TA through the use of an enzyme that cut on the 16s strand to identify the bacterial specie.
B) Gel Obtaining Results: To identify the presence of the specific bacteria that was present from our transect, the obtained base pairs were inserted in the Basic Local Alignment Search Tool (BLAST) platform of the National Center for Biotechnology Information (NCBI). According to this, the first bacteria (the one that has more accuracy and percentage relation to the inserted base pairs) is the bacteria that was present in our transect.
3) Raw Data:
NNNNNNNNNNNNNNNNNNGCCNNNNGGTACCGNNGGTAGCGTNNTATATTGCTCTCNNTGATGANTGGGNNNNNNNNNNN GGTGGCTGGGAAGCTGCCGGATGGNAGGGGATAACTACTGGAAACGGTATCTAATACCCCAAAACGTCGCAATACCGTCA GGGGCACCTTCAGGCCTCTTGCCATGGNATGTGCCCAGATGGGATTAGCTAGTANGTGGGGTAATGGCTCACCTANGCGA CNATACCNAGCTGGTCTGAGAGGATGACCACCCACACTGGAACTGAGACACGGTCCACACTCCTACGGGAGGCAGCAGGG GGGAATATTNCTGNATGGGCGCCGGCCTGATGCGNCCATGCCGCGTGTATGAAGAACGCCTTCNGGTTGTAAACTACTTT CAACGAAGAGGAAGGCATTGAGGTTAATAACCGNNNGGATTGACTTTACTCGCANAGCAAACACCGGCNGAAATCCNTGG CGTCNNCCNCGNTAATAGNNGANNGGCAAGCGATTAATCGNANTTGCTAGGGCCTATAGCACATGNNNGNNGNCTGTCGG NGCGGAACTGAAATCCCCCGGCTCANCCNGAGTAACTTCNTTCAAGACTGGAGTTCTGTAGTCCTGTAAAGGGGGNATAN AAGTCCNGATGAAAGGGTNAAATGCNTCNAAGGCTANNNATGCCATNNNGTGAAACGCCTNCCCANCAGAANACTAGNAC TCAGGTANGNGGGGTGAANAGGATGAANGTATTCNNNNNNTCCTTACTCCATCCCGNNGNNNNANNTCNATNTGNGANTT NGNGCNCCAGAGAGACAAACNNNNNGANNNANNANTTANCTNCGCCGGCCNGGNNNGNAGNNGGNNANNANTACNAANNN GACGGANNGCNCGCNNGCCNGGNNGNNNAGNNNATCTTGTTCTTNTGAGTNCNTGNN
Image 1. These letters are the partial sequence of the Lelliottia amnigena strain SFCFD20130614-7
NGTCGTAACAAGGTAGCNNNNNNNNNGNNCNGTANNNTCGTGTCCNNATAGGTNANC
GTATGTGGTGGGTGGGAGGNAGGTCAAGTCGAAAGGAAGGATCCNACCGCATACNTCCTACGGAAGAAAGGNNGGGACCG
GCTGGNCTTGCGGTAACGAANNAGCCTACGCAGTGNTANTGTTCTGGNGTGGTGTNGGNNNTCGATGGACANGTGGGAAA
GTGGTANTGGGAGGANGAACCCAGACACNGTNNCTGNCANACGGCAGCGACATGNNCGCGGGACNGAGCCGGAGAGGCCA
CNNNANCGTNGATGGCGNTNGAANNATGCATGTCGAGTGACAGCAAATAAATCGNCGGNGATCTTAGAATTATCCTCCGA
TACCTGCGAGACTAAGATACANAACATNTNGGTATNACNNCCGCTGTGCAGATTNACTGGTNGTAANGNNGCNTCCGCGN
NANNTNAAATNGGGGATGGGTTCACGGANTTNNCGGGNNGAAAAGCCTTNGAAGTGGTNNTGTCGNNACGGTACAGGAGT
GTGAAAATCCNAGNGAANCGTGAANAANTACCTGNATGCAGTAATGTGTTCNNATANGCCACTTACAGGAAACTTGNNGA
NGTATANNNGTTNATCAANNGGANNANTTGNAANTAGATNNNGCNGTAGGTAGCTCAGAANNNTNNAANGCGTACNNNGC
GGCAAGANAGAGTGATGANCNGCNNTTCAGCCCACNTCTGNNCTTAACNNNNACTATCNTTNAACTCCAANCCGGTAACA
GACGAACTACCGCCACTGGCAGCGGCCAGTNGNNCCNNCATTANCANANCGAANNATAGAANCCGTGCCCCCANANNTCT
TGAANNGNTNNGCTAACTTACNGNTCGANNANAAGAANNATANTTNGNNATCNGGNCTNGACTAGAAGCCNNTTACCCTC
NNAGAAGANTTNNNTCAGCTCNNGATTCNNGCCNANCNAGNNNNNGNGANANNNNNANN
Image 2. These letters are the partial sequence of the Lelliottia amnigena strain SFCFD20130614-7
4) Conclusion: In conclusion, it can be stated that Lelliottia amnigena strain SFCFD20130614-7 could probably be the most common bacteria that had presence in the are from where we collected abiotic and biotic organisms and components from our transect.
J.E.M.G.
Title: Zebrafish Experiment Procedure, Observations and Conclusions Date: 2/25/2016
1)Purpose: The purpose of this experiment is understand the different development stages that zebrafish have. Zebrafish, which is one of the most used models for vertebrate animals development studies because of their transparency and rapid development stages, was used as a model. During this investigation the main idea is concentrated in comprehending and understanding how can the carcinogen chemical element Cadmium could affect physical, motor and morphological traits of these animals in this experiment.
2) Methods/Materials:
A) Embryos Selection and placing treatment: Twenty translucent and healthy embryos were selected and placed in every single holes of the control group and experimental groups in the well plates. Before of the embryos addition to the well plates, the well plates were previously prepared with 5 mls with either water or 2M of Cadmium ng/mL.
B) Embryos Evaluation: Using a dissection microscope, all the embryos were checked to make sure they looked healthy and to identify their development stages. This embryos at the beginning of the experiments showed to be between 17 to 25 hours of pre fertilization because of their physical components when they were seen.
3. Raw Data
Image 1. Day 3 of a 66 hours and stage 40 fertilized embryo that left its envelopment and started to move.
Image 2. Day 4 of a 96 hours embryo on protrunding mouth stage. This embryo had an abnormality in its thorax and developed in the 2M Cadmium solution.
Image 3. Day 5 of an early larva stage zebrafish. This zebrafish larva developed in the 2M cadmium solution.
Image 4. Day 6 early larva stage zebrafish showing problems to move in the 2M Cadmium solution.
Image 5. Day 6 early larva stage zebrafish showing normal movements and normal physical traits. In the image, it shows a size of 5 mm.
Image 6. Day 7 of early larva stage zebrafish development. This zebrafish shows motility movements and looks totally paralized.
Image 7. Day 10 of larva stage zebrafish development. This larva is dead as the rest of the alive early larva's of last week.
Image 8. At day 11 of larva stage of zebrafish development. All the 2M Cadmium Solution Exposure fishes died, however at day 11 only 7 zebrafishes exposed to water solution survived.
4. Observations of Zebrafish Embryos per day:
A) Day 2 (19 February 2016):
-Embryos showed a period of life range of 17 h to 25 h.
B) Day 3 (22 February 2016):
Cadmium 2M Solution Exposure: The observed embryos were in stage 40 of development (66 hours of life). Only 7 embryos had motility (3 zebrafishes moved in a 180 grades space in the circle where they are located and 4 moved through the 360 grades space of the circle where they are located).Finally, 8 embryos were founded totally disintegrated.
Water Exposure: The observed embryos were in stage 40 of development (66 hours of life). Only two zebrafish embryos had motility (those only two zebrafish embryos that had motility just moved on a space of 180 grades in the circle where they were placed) and 4 were founded totally disintegrated.
C) Day 4 (23 February 2016):
Cadmium 2M Solution Exposure: Showed to be in a protrunding mouth stage (96 hours of life). Also, they performed normal motility and all of them crossed the 360 grades space where they are located. Finally, one fish was founded to have anatomical abnormalities in its thorax. This fish was removed and preserved in 4-Paraformaldehyde.
Water Exposure: Showed to be in a protrunding mouth stage (96 hours of life). Also, they performed normal motility and all of them crossed the 360 grades space where they are located. Two embryos were founded dead.
D) Day 5 (24 February 2016):
Cadmium 2M Solution Exposure: During this day zebrafishes passed to a new stage: early larva. Four more fishes were not founded and one was seen constrained, however its heart´s demonstrated it was alive. Finally, all the alive early larva zebrafishes had motility.
Water Exposure: Five fishes were not founded in the well plates holes, but all of them had motility. Finally, all of them looked very healthy and any physical or physiological abnormality was identified.
E) Day 6 (25 February 2016):
Cadmium 2M Solution Exposure: During this day it was seen that the fishes were better developed (they still being early larva's at this point), but 5 embryos were dead and just 15 were alive. Also, two zebrafishes showed serious motility problems, but the rest were moving normally through the solution. However, all the studied fishes here showed bigger eyes compared with the control group and measured 4 mm in average.
Water Exposure: One fish was preserved with 4-Paraformaldehyde to compare its differences with the experimental group during the period of day 1 until day 7. Only one fish was founded dead, but 18 early larva were alive. Finally, they measured 5mm in average and in general they looked very healthy and had plenary normal motility.
F) Day 7 (26 February 2016):
Cadmium 2M Solution Exposure: One new fish was founded dead. Also, 5 fishes had moved through the 360 grades space where they are and 2 did not moved at all. The rest of the alive fishes looked good physically, but not showed movements at all. Finally, in average they measured 5 mm and the solution had a Ph of 7.
Water Solution Exposure: Interestingly, the alive fishes showed total normality in their movements and looked very healthy, but eight fishes were founded dead. They measured 7mm in average and finally they had a Ph of 6.
E) Day 10 (29 February 2016):
Cadmium 2M Solution Exposure: All fishes were founded dead. 2 animals were fixed for preservation.
Water Solution Exposure: 7 fishes were founded alive at this point of the investigation. All of the five founded animals showed motility and looked healthy.
F) Day 11 (1 March 2016):
Cadmium 2m Solution Exposure: All fishes were dead.
Water Solution Exposure: The same 7 fishes from yesterday were alive, did not showed any motility problems and looked physically and morphological normal.
E) Day 14 (4 March 2016)
Cadmium 2m Solution Exposure: All fishes were dead.
Water Solution Exposure: All fishes were dead.
5. Conclusion: This experiment is very important to not only better understand how invertebrates development occurs, but also to identify layers such as the ectoderm, mesoderm and endoderm in a transparent organisms that because of this virtue shows a variety of structures it has and that are identifiable. Finally, the importance and results of this investigation will provide a general, but overwhelming insight of how cadmium can affects the studied model and also how its physiology could be altered. This alterations are going to be seen in the possible development of tumors, problems to move or even death.
J.E.M.G
Title: Identifying and Studying Invertebrates and Vertebrates Date: 2/14/2016
A) Acoelomates, Pseudocoelomates and Coelomates-Arthropods-Analyzing the Invertebrates Collected with the Berlese Funnel-Vertebrates and Niches
1) Purpose: The purpose of this lab session was to discover and identify different animals (invertebrates and vertebrates) that where present in the Berlese Funnel. Last week, a Berlese Funnel was created in order to obtain invertebrate and vertebrate organisms from the collected plants and other matter from the studied transect. In conclusion, this funnel will let identify organisms (invertebrates and vertebrates) that could probably be present and establish their phylum, class, length, amount and physical morphology.
2) Methods/Materials:
a)Analyzing the Invertebrates Collected with the Berlese Funnel: 10-15% of 50% ethanol were set in a petri dish to be seen below the microscope. The remaining amount of ethanol was set in another petri dish. Then, a pencil was used to see the organisms better. All the organisms seen in our petri dishes were ¨Arthropoda-Insecta.¨ The length in mm went from 6 ocular spaces to 25 ocular spaces. Also, a total of 12 organisms were seen in our funnel sample and the color and physical traits were very wide. In sample #1, the description that was obtained suggests that the only founded sample had a long segmented body and a pointy head. Sample #2, that just had one organism, was gray color, small and had a segmented body. On the other hand, sample #3, which range from 2-3 organisms, presented a small size, had a pointy face, legs and also a segmented body. Sample #4, had a large antenna, small body and its color was gray. Finally, sample #5 was darker gray and showed a segmented body. This information was very important to identify with plenary certainty the organisms we had below the microscope along with the given website in the lab manual. According to this information, it can be stated that all the founded organisms regardless of their physical differences, belong to the phylum-arthropoda and to the class-insecta. Otherwise, it was seen that sample #1 and sample #4 had the larger sizes with 25 ocular spaces and sample #3 and #5 had the smaller sizes with 6 ocular spaces. This explains why Arthropoda-Insecta was the most common organism in a leaf litter, because this is the ordinary size range that these organisms shows and where they commonly are. Finally, any difference was discovered between both samples of the Berlese Funnel in the petri dishes because they both showed the same organisms population.
b)Vertebrates and Niches: In the studied transect, it can be probably found frogs and salamanders, both belonging to the chordata>vertebrata>amphibia. On the other hand, deers were seen once close to the transect which belong to the chordata>vertebrata> mammalia>cervidae. Finally, and just mentioning the ones that with plenary certainty is known live in our transect, are the snakes which belong to the chordata>vertebrata> mammalia>lepidosauria. For all the mentioned organisms that belong to our transect, abiotic factors such as air, water and a variable temperature is very important for their reproduction and their survivor. For the frogs and salamanders, the mosquitoes, ants and insects are biotic factors that are critical for their dairy feeding. For deers, grass is very important, while for snakes rats are important for their feeding too.
-Food Web:
Snakes→ frogs and salamanders→ants and mosquitoes Snakes→deers
A)Community: the community concept in our transect is present because the species richness, equitability, productivity and a food web structure is clearly identifiable. The interaction and the organization they have is critical to let all organisms be fulfill their needs and let their offspring's develop.
B)Carrying Capacity: The carrying capacity all the organisms above mentioned can sustain their abiotic and biotic needs based in their physiology and their natural characters because this term is fully present.
C)Trophic Level: In the studied transect we had a trophic levels system. In the top is the snake, below is the deer, below the deer, the frogs and salamanders and below the frogs and the salamanders, the ants. In this random and general trophic level sentence, it is obvious that hierarchy is present in the transect.
3) Raw Data:
Image 1. The petri dish used to identified the organisms from the Berlese Funnel
Image 2. This image shows the organisms identified from the Berlese funnel. All of them were arthropods.
4)Conclusion: In conclusion, it can partially be stated that the studied transect has a wide variety of vertebrate and invertebrate organisms. They live in niches to fulfill their needs and protect their reproduction capability. Also, all these organisms depend from different abiotic and biotic factors in order to feed themselves and let other groups feeds of them. Finally, the diversity of organisms that were found were also differentiated going from their group until their specie.
J.E.M.G
Title: Identifying and Studying Plantae and Fungi Date: 2/8/2016
A) Five Plant Transect Collection and Identification Plant Vascular Structures, Presence of Specialized Structures, Evaluation of Plant's Mechanism of Reproduction and Berlese Funnel Creation to Collect Invertebrates:
1) Purpose: The purpose of the Five Plant Transect Collection and Identification Plant Vascular Structures, Presence of Specialized Structures, Evaluation of Plant's Mechanism of Reproduction and Berlese Funnel Creation to Collect Invertebrates was to better understand the morphological and physiological characteristics of different plants in the studied transect at the beginning of the lab. Likewise, the reproductive mechanisms and specialized structures that those plants showed in their phenotype were also evaluated. This experiment let discover the differences between plants of a same space, but how the biodiversity and the environments around them influenced different in their development. Finally, the setting up of a Berlese Funnel was performed to identify possible invertebrates coming from the collected plants.
2)Methods/Materials:
a) Plants Collections from the transect: The plenary explication and fully data about the 5 collected plants are available at the provided image below of table 1. However, it can be stated that three plants were collected from the north side of the transect and two of them from the south side of the transect.
b) Plants Vascularization: The collected plants had very diverse vascular structures in the five different collected samples. Plant #1 had "net like" branches in their branches and stem. Plant #2 had a vein for each leaf and plant #3 had a wide vascular system that started from the roots, best called as taproot. Finally, plant #4 had a wide vascular system too that started from the roots. Even though plant #5 had an individual and small vascularization system composed by individual veins like plant #2.
c) Presence of Specialized Structures: Plant #1 had wide leaves with ovular form and a size of 2.4" inches, while plant #2 had a size of 3" inches with a shape of cone. On the other hand, plant #3 had a size of 2" inches and their leaves look like filamentation. Plant #4 leaves showed a size of 2" inches and had ovals like shape. Finally, plant #5 had leaves with a size of 2" and a structural shape like algae.
d) Mechanisms of Plant Reproduction: Plants #1, #2, #3, #4 and #5 are gymnosperm plants. Any of them showed flowers or spores and all of them were dicots.
e) Observing Fungi: Fungi Sporangia is a structure containing the spores in fungal species. They are important for their development in other bio environments and for their "neutral" relation with other plants or fungi living in a symbiotic space. Any fungi was founded at the samples and because of that the required information cannot be provided.
3) Raw Data:
Figure 3. Plant #3
Figure 4. Plant #4
Figure 5. Characteristics of Plants Collected from the Transect Table
4)Conclusion: In conclusion, it can be stated that plants and fungi are very diverse organisms that can vary in shape and size, but share some physiological and functional aspects. This experiments were very important to discover and understand the structures and reproduction characteristics that plants have. In conclusion, this experiments will lead to discover along with the Bersel Funnel if invertebrates are present in the studied plants. This is very important to measure the possible biological capabilities that the studied plants have.
J.E.M.G.
Title: Identifying and Studying Bacteria Date: 2/4/2016
A) Microorganisms Observation and Quantification, Antibiotic Resistance, Bacterial Cell Morphology Observations and PCR Amplification for 16s rRNA gene:
1) Purpose: The purpose of the Microorganisms Observation and Quantification, Antibiotic Resistance Evaluation, Bacterial Cell Morphology Observations and PCR Amplification for 16s rRNA gene is to get a deeper approach and a better qualitative and quantitative understanding of the cultivation's that was worked with at the lab. This research methods will help to identify the action mechanism of the bacteria's' that we are working with, the specie and kind of bacteria that was founded and through the PCR technique, ratify the specific bacteria that was obtained from the ecosystem where the hay was developed.
2-Methods/Materials:
a) Quantifying and Observing Microorganisms:
During this process eight cultivation plates were evaluated to identify any bacterial colonial presence, or maybe any fungi development. Four plates were exposed to tetracycline and the other four were not exposed to tetracycline in their agar gel plate. From the four plates that were exposed to tetracycline, (10-3 +T) was the one that more colonies presence had with seventeen, (10-5 +T) showed the development of a huge fungi in the center, (10-7 +T) just had one colony and (10-9 +T) do not presented any bacterial growth. This suggests that the (10-3 +T) could be resistant to Tetracycline, because it was the diluted section that more bacteria's had and even though, was the agar plate with more bacterial development. In the other side, the four agar plates at least once showed bacterial growth in the agar cultivation plates without tetracycline. (10-3 -T) showed more than a hundred bacterial colonies, the (10-5 -T) plates had 73 colonies, (10-7 -T) presented 12 colonies and (10-9 -T) just had one colony. This scenario establishes the previous expectations because of the environmental conditions that the cultivation's where on. Finally, is very important to add that all colonies were measured in the colonies/mL interval to comprehend the development capacity they occupied in the agar plate.
b) Antibiotic Resistance:
Antibiotic Resistance is the ability that a bacterial organism has to avoid the action mechanism that an antibiotic could have against it. This action could be against the bacterial cell wall, the ribosomes or the DNA material through the use of the efflux pumps. In the studied bacterial colonies, it was seen that overwhelmingly the bacterial presence was less in those that had tetracycline in comparison with those that do not had tetracycline. However, the (10-3 +T), the cultivation with the most bacterial presence because it was not diluted, had the bigger bacterial presence with tetracycline. This projects the idea that these cells could maybe be resistant to tetracycline. The effect of tetracycline in the bacterial cultivation's were it was present had a 73% of effectivity, however it did not acted against the fungi presence. Going along with this, over 65 tetracycline resistant genes had been identify, which makes infer that maybe one of the obtained bacterias from the hay infusion could be resistant to this antibiotic that inhibits the protein synthesis by preventing the attachment of aminoacyl-tRNA to the ribosomal acceptor (A) site (Chopra et. al a). The most common resistant bacteria's to tetracycline are a wide range of microorganisms including gram-positive and gram-negative bacteria, chlamydiae, mycoplasmas, rickettsiae, and protozoan parasites (Chopra et. al b).
c) Bacteria Cell Morphology Observations:
To accomplish the goal of get a better approach to our cells for the precise description and identification of the studied organisms, a wet mount and a gram stain procedure was performed. For the wet mount procedure, a portion of the cell cultivation's from the chosen four agar plates was mixed on a water drop over a slide. Then, it was proceed to identify at 10x and 40x any presence of motility, morphology or bacterial shape in the slide. For the gram stain procedure, the same four bacterial colonies were used and prepared according to the established protocol and placed below the microscope to identify the same characteristics that were searched in the wet mount procedure too.
d) PCR for 16s Amplification:
In this procedure two strains were chosen for the amplification of the 16s rRNA gene with the given procedure in the lab manual. Each sample will use primers and PCR to expand the 16s rRNA gene and identify with certainty the bacteria that we are studying.
3)Raw Data:
Image 1. This image shows the evaluation of all the eight obtained agar plate cultivation's in the first step of all this methods.
Image 2. This image is a table that collects data from the wet mount procedure and the gram stain procedure.
4) Conclusion:
In conclusion, it can be stated that bacteria strains identification process is a very complicated process that range from the organism morphology through rRNA 16s gene amplification to let identify it with a database that with certainty will let you know who is the specie that you had been working with. Bacterias, are one of the most diverse organism in the world and this diversity is also marked by their ability to develop resistance to antibiotics through mutations in the DNA sequence. Bacterias are also the only prokaryotes that have the ability of make ill humans and because of their mutations as result of the high exposition to antibiotics, humans should wash their hands with non-anti bacterial soap to avoid the non-resistance development. Finally, stains like the gram stain one are very important to identify with precision if the organism below the microscope is a bacteria or no through the peptidoglycan expression in their cell wall.
5) References:
Chopra, I., Roberts, M. (26 November 2014). Tetracycline Antibiotics: Mode of Action, Applications, Molecular Biology, and Epidemiology of Bacterial Resistance. Elsevier, 175, 485-493. 4 February 2016,from Google Scholar Data Base.
J.E.M.G.
Title: Identifying Algae and Protists Date: 1/28/2016
A) Hay Infusion Culture Observations
1-Purpose: The purpose of this section of the lab was to identify different living organisms organized in niches trough different zones of hay infusion culture jar. This leads to have representative samples of different populations that that populates this new formed ecosystem. This will permits identify and measure the algae's and protists that have been developing in this new environment.
2-Methods/Materials:
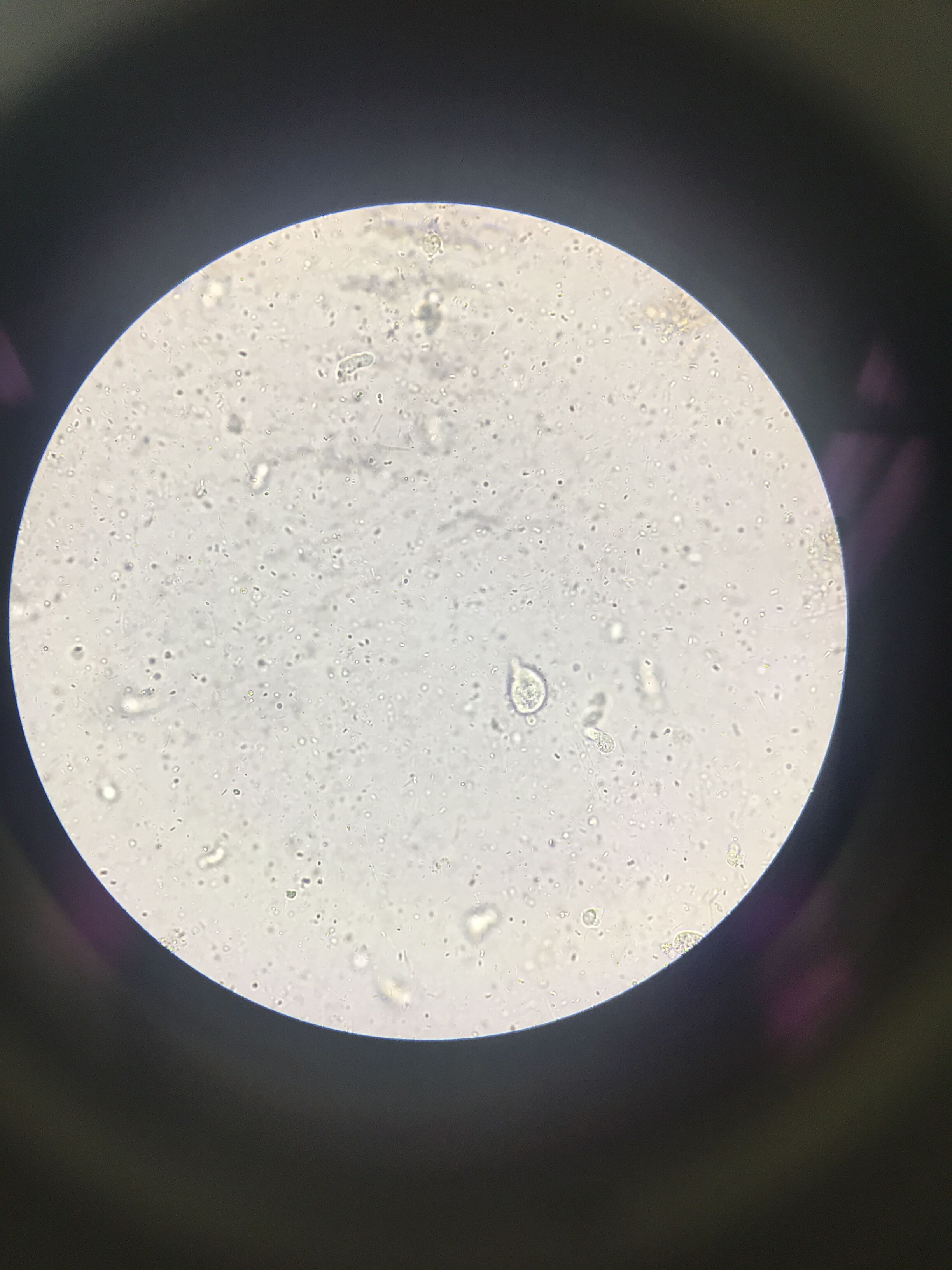
a) Hay Infusion Collection (by zone) using the Dichotomous Key: The top zone and the bottom zone were chosen to get some drops. First, the top zone showed at 4x different microorganisms that were randomly rapidly moving. However, at 10x three organisms were identified using the dichotomous key in the top layer: Colpidium, Euglena and Volvox. Also, a fungus piece was also founded surrounded by different organisms. Colpidium is a protozoa that produces its own energy through photosynthesis. The identified one in the sample had a size of 49µm and among its physical traits distinguish its motility. On the other hand, Euglena is an algae that produces its own energy too through photosynthesis. The sighted one in the studied sample had a size of 39µm and among its physical traits distinguish its motility. Finally, the Volvox algae was also seen in the hay infusion top layer. Interestingly, Volvox is a photosynthesis energy producer algae, that moves through the use of its motility and the one that was seen had a size of 3µm because it was founded individually.
The bottom zone just showed up one organism in the sample. The Pandorina is a motile-algae that produces its own energy through photosynthesis and the identified one in the studied sample measured 125µm.
b)Preparing and Plating Serial Dilutions: To develop bacterial cultivation's for the microbiology lab of the next week, four tubes (10-2, 10-4, 10-6, 10-8) of 10 mLs sterile broth were labeled to carry out a serial dilution. Then four nutrient agar and four nutrient agar plus tetracycline plates, were labeled for the cultivation's. Later, the Hay Infusion Culture was mixed and 100µl were added to the the first (10-2) tube. Then, 100µl from the 10-2 tube is well mixed and so forth until reach the last tube (10-8). Finally, all the tubes after being diluted were spread throughout the plate and set on a rack incubated at room temperature.
3-Raw Data:
Serial Dilutions Procedure
Fungus Image below the microscope
Pandorina Image below the microscope
Volvox Image below the microscope
4-Conclusions and Future Experiments:
In conclusion, it can be stated that biodiversity and the development of life is something that can be found at all levels as long and the abiotic and biotics components set the bases. With the use the bacterial growths in the agar plates, it will be seen their reproduction efficiency regardless of being diluted, but also how strong are this organisms against the presence of antibiotics. This experiment also let's better comprehend how diverse can an isolated ecosystem be. On the other hand, and taking the founded Volvox presence in the top layer, it can be stated that its presence is because it fulfills with all the life requirements to be alive; it produces energy, is a cell, it has genetic information, can replicate and throughout the time it had evolved in different species. Finally, it is considered that if the hay infusion culture is evaluated in two more months, the development of fungus will be higher. And because of the anaerobic environment, some organisms will not be able to keep alive in this scenario leading to the extinction of a huge portion of niches. This explains why do the obtained hay infusion culture has a repulsive odor like muck.
J.E.M.G.
Title: Biotic and Abiotic Components Collection from AU campus Date: 1/15/2016
1)Purpose: The purpose of the biotic and abiotic components collection through AU campus was to identify different ways of life in our campus. This will later let us know, with greater certainty, what are the different protists, bacteria’s and other ways of life in the assays we found.
2) Methods/Materials:
a) Material Collection Process: For the soil collection process, the group went to the American University’s garden and collected soil and biotic and abiotic components from throughout the all garden for a period of 25 minutes. In total, approximately 1 lb. of soil and other materials was collected. During the process, pictures were take it to identify the spaces from where the materials where collected.
b) Hay Infusion Culture: To create a hay infusion culture, we need an empty glass container. Then, we proceed to measure 12 g of the collected soil and biotic and abiotic materials in the weight scale and added to the container. Later, 500 mLs of water are measured with a graduated cylinder and added to the glass container. 0.1 g of dried milk are weighted in the weight scale and added too to the glass container. Finally, everything is mixed by manually lateral movements.
3) Raw Data:
4) Conclusions and Future Experiments
In conclusion, it can be stated that nature is composed of abiotic and biotic material that conform our living spaces and our environment. The contact of these conditions with artificial materials, such the mix of dried milk with them, can produce organisms that surround us and conform all ways of life. In the future, instead of use water to mix it with the collected material, the use of acid juice (like lemon) could let us understand the anti-bacterial resistance that maybe this substance carry.
J.E.M.G


