User:Issah M. Younassi/Notebook/Biology 210 at AU
Lab 8: Zebrafish March 5, 2015
Purpose: The purpose of this experiment is to observe the effects of nicotine on zebrafish development. The hypothesis made was that if the zebrafish is exposed to nicotine then their activity levels will increase.
Methods: The first step of the experiment was to create a control and experimental group by adding 20ml of water to each petri dish. Soon after, 20 healthy translucent embryos were added to each dish. Then 4ml of 33mg/L of nicotine was added to the experimental petri dish.They were all observed, recorded, and fed though a two week period (as can be seen below).
Results:
Friday, February 20
Nicotine
Control
Monday, February 23
Nicotine
Control
Wednesday, February 25
Nicotine
Control
Monday, March 2
Nicotine
Control
Discussion: In conclusion, a final conclusion cannot be made on the zebrafish due to the experiment being cut short. This was due to an individual knocking over the petri dishes during the experiment and replacing the fish with water. This error can be due to human error of not paying attention or by having a communal lab environment. However, the only conclusion that can be made is that the mortality rate and activity rate increased when exposed to nicotine.
Lab 7: 2/25/15
Purpose: The purpose of the lab was to peer review the rough drafts of a groups transect experimental lab report. Also, the PCR samples were used to the NCBI blast database to determine the species of the organism found.
Methods and Materials: The PCR samples were used on the NCBI blast database.
Results:
NNNNNNNNNNNNNNANNNGCAGTCGGANNGGNNGNNNNNNNNNNNNNCGGCNGAGACCGGCGCACGGGTGCGTAACGCGT ATGCAATCTACCTTTTACAGAGGGATAGCCCAGAGAAATTTGGATTAATACCTCATAGTATAACACAATCGCATGATTGA GTTATTAAAGTCACAACGGTAAAAGATGAGCATGCGTCCCATTAGCTAGTTGGTAAGGTAACGGCTTACCAAGGCTACGA TGGGTAGGGGTCCTGAGAGGGAGATCCCCCACACTGGTACTGAGACACGGACCAGACTCCTACGGGAGGCAGCAGTGAGG AATATTGGACAATGGGCGCAAGCCTGATCCAGCCATGCCGCGTGCAGGATGACGGTCCTATGGATTGTAAACTGCTTTTG TACGAGAAGAAACACCTCTTCGTGTAGGGACTTGACGGTATCGTAAGAATAAGGATCGGCTAACTCCGTGCCAGCAGCCG CGGTAATACGGAGGATCCAAGCGTTATCCGGAATCATTGGGTTTAAAGGGTCCGTAGGCGGTTTAGTAAGTCAGTGGTGA AAGCCCATCGCTCAACGGTGGAACGGCCATTGATACTGCTGAACTTGAATTATTAGGAAGTAACTAGAATATGTAGTGTA GCGGTGAAATGCTTAGAGATTACATGGAATACCAATTGCGAAGGCAGGTTACTACTAATGGATTGACGCTGATGGACGAA AGCGTGGGTAGCGAACAGGATTAGATACCCTGGTAGTCCACGCCGTAACGATGGATACTAGCTGTTGGGAGCAATTTCAG TGGCTAAGCGAAAGTGATAAGTATCCCACCTGGGGAGTACGTTCGCAAGAATGAAACTCNNGGAATTGACGGGGGCCCGC ACAAGCGGTGGAGCATGTGGTTTAATTCNATGATACNCGAGGAACCTTACCAANGCTTAAATGTANTGTGNNCCGATNTG GANCAGATCTTTCGCANACAAATTACAANNGCTGCATGGTNGTCNTCAGCTCGTGCCGTGAGNNNCNGNTAANTCCNATA ACGANNCAACCCCTGTNNTTAGTTN
NNNNNNNNNNNGNNNANNCATGCAAGCCGAGCGGTAGAGANCTTTCGGGATCTTGAGAGCGGCGTACGGGTGCGGAACAC GTGTGCAACCTGCCTTTATCAGGGGGATAGCCTTTCGAAAGGAAGATTAATACCCCATAATATATTGAATGGCATCATTT GATATTGAAAACTCCGGTGGATAGAGATGGGCACGCGCAAGATTAGATAGTTGGTAGGGTAACGGCCTACCAAGTCAGTG ATCTTTAGGGGGCCTGAGAGGGTGATCCCCCACACTGGTACTGAGACACGGACCAGACTCCTACGGGAGGCAGCAGTGAG GAATATTGGACAATGGGTGAGAGCCTGATCCAGCCATCCCGCGTGAAGGACGACGGCCCTATGGGTTGTAAACTTCTTTT GTATAGGGATAAACCTTTCCACGTGTGGAAAGCTGAAGGTACTATACGAATAAGCACCGGCTAACTCCGTGCCAGCAGCC GCGGTAATACGGAGGGTGCAAGCGTTATCCGGATTTATTGGGTTTAAAGGGTCCGTAGGCGGATCTGTAAGTCAGTGGTG AAATCTCATAGCTTAACTATGAAACTGCCATTGATACTGCAGGTCTTGAGTAAAGTAGAAGTGGCTGGAATAAGTAGTGT AGCGGTGAAATGCATAGATATTACTTANAACACCAATTGCGAAGGCAGGTCACTATGTTTNANNNNACGCTNATAGGACG AAAGCGTGGGGAGCGAACAGGATTAGATACCCTGGTAGTCCACGCCGTAAACGATGCTAACTCGTTTTTGGGTCTTCGGA TTCAGAGACTAAGCGAAAGTGATAAGTTAGCCACCTGGGGAGTACGTTCGCAAGAATGAAACTCAAAGGAATTGACGGGG GCCCGCACAAGCGGTGGATTATGTGGTTTAATTCGATGATACGCGAGGAACCTTACCAANNCTTAAATGGGAATTGACAG GTTTANAAATANNCTTTTCTTCGNANATTTTCNNNGCTGCATGGNNTCGTCAGCTCNTGCCNTGAGTGTTNGNNAGTCCT GCAACNAGCNCAACCCCTGNCACTANTNGCNNN
Lab 6: Embryology & Zebrafish Development February 18th 2015
Purpose: The purpose of this experiment was to understand and observe the stages of embryonic development. As well as, how embryonic development differentiates in different species and how different variables can effect development.
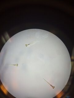
Methods: For the first four procedures a starfish, frog, human, and chick embryo were observed in their different stages of development. (Table 1) Lastly, the zebra procedure consisted of setting up two Petri dishes with 20 zebrafish embryos each. One of the Petri dishes was held as a control and was left alone with 20ml of deer park. However, the experimental Petri dish received a 5-1 ratio of deer park water to 25mg/l of nicotine alongside the 20 embryos. A count of how many embryos survived and how many died were accounted for throughout the experiment, as well as, other dependent variables that can be measured. (Table 2). Also, a pasture of the embryonic zebra was taken and can be seen in figure 1.
Results:
Table 1:
Table 2:
Figure 1:
Discussion: As the experiment continues development and characteristics of the embryos will change based on their environment. It can already be seen that the experimental embryos are moving more frequently than the control.
Lab 5: Invertebrates February 11th 2015
Purpose: The purpose of this study was to be able to identify and classify invertebrates in a transect. As well as, to understand the importance of invertebrates and their ability to evolve a simple system to a more complex system.
Methods: In procedure 2, invertebrates were observed and classified with a dichotomous key. In procedure 3, Invertebrates were collect from the Berlese Funnel and were observed through a dissection microscope. Small characteristics were indentified and were used to classify specific organisms.
Results:
Procedure 2:
Procedure 3:
Discussion: In conclusion, a wide variety of invertebrates can be found in almost every niche. They are crucial for everyday existence, as well as, have a large role in living organisms. The future direction would be to understand how these organisms evolved in such a way where life in a ecosystem cannot survive without them.
Lab 4: Plantae and Fungi February 4th, 2015
Purpose: During the experiment a leaf litter and plant samples were collected from Transect 1. The samples were used to understand how biotic organisms could be differentiated and categorized. The three focused features were a presence of vascularization, specialized structures, and mechanism of reproduction.
Materials and Methods: A plastic Ziploc bag was used to collect the leaf litter sample and another bag was used for collecting five plant samples.
Data and Observation:
Conclusion and Future Direction:In conclusion, biotic organisms can be recognized and categorized based on key unique features. The future direction for this experiment would be looking towards beyond plant life and begin looking at complex living organisms. As well as, microorganisms that cannot be seen with the human eye.
Lab 3 Microbiology and Identifying Bacteria with DNA Sequences:2/2/15
Purpose: The purpose of the experiment was to understand the characteristics of bacteria and their antibiotic resistance.
Methods and Materials: Before the procedure began an observation of the hay infusion was made again. During the first procedure the colonies were counted for each dilution and agar type. Then it was converted to colonies/mL. Then the observance of antibiotic resistance was observed in the agars that contained the tetracycline. The observations were based on microbial and physical characteristics. A gram stain was created for four plates 2 with tetracycline and 2 without. The first step for creating a gram stain is use a stain tray. After add crystal violet and let it sit for minute before rinsing with water. Soon after add Grams iodine mordant and let it sit for one minute again before rinsing with water. Decolorize with 95% alcohol for 10 -20 seconds and rinse. Finally add safranin stain for 20-30 seconds before rinsing. Blot with a chemical wipe to clean it up and the slide is ready to observation.
Data and Observations: The hay infusion began to smell worse than before and the liquid began to look more like death. It was dark black and had a black film on top of the solution. So, the longer the hay infusion sits the more it’ll decompose and the nutrients will deplete. When looking at the different colony and agar types the plates that had no tetracycline had fewer colonies of bacteria. Observations of the colony, cells, and gram positivity were made when looking at the gram stain slides.
Conclusion and future direction: In conclusion, tetracycline plates had few colonies of bacteria, however some bacteria did grow, thus a small fraction of bacteria are resistant to the antibiotic.
Lab 2 Identifying Algae and Protists: January 22, 2015
Purpose: The experiment was conducted to understand and identify the characteristics of algae and protist in a transect. The dichotomous key was used to determine the specific organism based on its observed characteristics. This gave an understanding of which organisms thrive within each niche of an ecosystem.
Methods and Materials: During the first procedure a wet mount was created and observed. Soon after, a dichotomous key was used to determine the organism. During the second procedure the hay infusion culture that was created in the previous lab was observed. A sample from two different niches in the culture were collected and observed through different objectives in a microscope. One niche was from the top of the sample and the other from the bottom. A dichotomous key was used to determine which organisms dwell within each niche. A total of six organisms were observed and recorded.
Data and Observation: The culture smells like old cigarettes, feces, and old dirt. Its appearance is thick blackish brown with hints of green liquid. There was a type of mold on top of the culture, which indicates photosynthesis.
Conclusion and Future Direction: In conclusion, two out of the six organisms were undergoing photosynthesis due to their green appearance. I believe this is because the last three organisms were collected from the top of the culture where the mold was growing. This could mean organisms that thrive close to the top require more sunlight to survive. Each organism meets the criteria of life by having cells that are organized, uses energy, can reproduce, and interacts/adapts with its environment. The future direction would be to let this hay infusion culture grow for two months and observe what happens. I predict that the organism that uses photosynthesis will thrive and the ones that don’t will die off. This is because the food source of dried milk will be depleted and the ones who can make their own food will survive.
Good job with the protist description, I would have liked a little more about the hay infusion in general though. Keep up the organizational structure of your lab notebook, it will be invaluable when you're compiling the information. ML
Lab 1 Biological Life at AU: January 14th 2015
Purpose: The purpose of procedure 1 in the experiment was to be able to identify the Volvocine evolution line by certain characteristics. Also, during the second procedure the purpose was to be able to identify and elaborate on the biodiversity of a transect. The rational behind these observations is to differentiate and compare between different cells, organisms, and their nonliving environment.
Materials and Methods: During the first procedure in the experiment, the Volvocine was observed through a microscope and particular characteristics were recorded. During the second procedure, a transect of 20m by 20m was observed. The biodiversity of the transect was recorded, including abiotic components. After the observations were completed 50ml conical tube was used to take a sample. This sample was used to create a hay infusion culture. This was created by combining 10-12g of the sample into a plastic jar accompanied with 500mls of water and 0.1g of dried milk. Once combined the culture was mixed the culture was placed and labeled on the table with no lid on.
Data and Observations
Transect 1: This is picture of transect 1. The image is facing north and the transect is located on the northwest section of American University. The transect has an area of 20mX20m.
Biotic: Directly to the left of the picture are cat tails and to the right of that are red bushs. As well as, right below are fallen leaves,moss,short/tall grass, and weeds. In the right corner of the picture are red cardinal flower bush.
Abiotic Rocks, dirt, felt, snow, candy wrapper, cigarette buds, and unidentifiable trash were found on the ground of the transect. Some snow was found on top of a few organisms.
Data from identifying Volvocine evolution line
Conclusion and future direction
In conclusion, organisms and abiotic factors can be determined and identified by certain characteristics and observations. In the future, these observations will give the observer the beginning steps of identifying the biodiversity in a ecosystem and be able to characterize it in groups.
Great job on your transect description. It was very complete and well organized. ML












