User:Dominique Brager/Notebook/Biology 210 at AU
Wednesday, February 17, 2016
'Exercise 6 - Embryology and Development
Wednesday, February 10, 2016
'Exercise 5 - Invertebrates and Vertebrates
Purpose:
The purpose of this lab was identify the invertebrates that lived in the transects and also learn about the vertebrates in our transects. The invertebrates were collected from the Burlese Funnels Prepared a week ago and the vertebrates were determined based on information from our transects and from the book.
Materials and Methods:
1. The insects from the Burlese funnel were collected and placed in a petri dish. This dish was then viewed under the dissecting microscope.
2. 5 insects were identified and data on each one was collected.
3. The rest of the liquid from the Burlese funnel was collected and also examined under the dissecting scope.
Data and Observations:
Organism 1:
Size: 50 µm
Number in sample: 15
Phylum: Arthropoda
Class: Arachnida
Order: Acarini
Most likely a Mighty Mite. This organism has eight short legs and there is no significant separation between the cephalothorax and the abdomen.
Organism 2:
Size: 550 µm
Number in sample: 1
Phylum: Arthropoda
Class: Insecta
Order: Isoptera
This organism has 6 legs and no wings. It was free-living i.e. it did not grow on other animals. It did not have appendages on its abdomen and there was a broad connection between the thorax and the abdomen. It had short antennae.
Organism 3:
Size: 250 µm
Number in sample: 1
Phylum: Arthropoda
Class: Insecta
Order: Diptera
This organism has 6 legs and one set of wings.
Organism 4:
The organism in question in this image are the small, white organisms near the head of the larger organism.
Size: 57.5 µm
Number in sample: 4
Phylum: Arthropoda
Class: Insecta
Order: Collembola
This organism has 6 legs and no wings. It was free-living i.e. it did not grow on other animals. It had appendages on it's abdomen.
Organism 5:
Size: 325 µm
Number in sample: 1
Phylum: Arthropoda
Class: Insecta
Order: Diplura
This organism has 6 legs and no wings. It was free-living i.e. it did not grow on other animals. It had appendages on it's abdomen. It has 2-3 hair-like tails.
Burlese Funnel Conclusions:
The size range of animals collected in the sample was from 50 µm to 550 µm. The largest organism was Organism 2 which was classified as belonging to the Isoptera order. The smallest was Organism 1 which was an arachnid classified to the Acarini order. The most common organism was also Organism 1 which largely outnumbered all the other organism.
Vertebrates:
5 vertebrates that might inhabit our transect are:
1. Eastern Grey Squirrel:
Phylum: Chordata
Class: Mammalia
Order: Rodentia
Family: Sciuridae
Genus: Scuirus
Species: S. Carolinensis
This species lives in trees and can feed on the acorns from the large tree in the transect.
2. Marsh Rice Rat:
Phylum: Chordata
Class: Mammalia
Order: Rodentia
Family: Cricetidae
Genus: Oryzomys
Species: O. palustris
This species would benefit from the human by products left behind in the transect. Rats eat many leftovers. They also feed off of the plants that exists in the transect.
3. American Robin:
Phylum: Chordata
Class: Aves
Order: Passeriformes
Family: Turdidae
Genus: Turdus
Species: T. migratorius
The robin would likely feed off of the seeds and small invertebrates that inhabit the transect.
4. House Sparrow:
Phylum: Chordata
Class: Aves
Order: Passeriformes
Family: Passeridae
Genus: Passer
Species: P. domesticus
The house sparrow feeds off of weeds and small plants that grow in our transect but they are also adaptable would likely also feed off of any human leftovers in the area and potentially some small invertebrates as well.
5. North American Deermouse:
Phylum: Chordata
Class: Mammalia
Order: Rodentia
Family: Cricetidae
Genus: Peromyscus
Species: P. maniculatus
Deermouse will eat a variety of things, from invertebrates to plants to fungi. The transect houses all of these and also some human leftovers that the mice would likely also feed off of.
Conclusions:
The organisms within our transect represent an ecological community. They feed off of each other and need each other to thrive. The plants feed off of nutrients in the soil left behind by decomposers, in turn invertebrates and vertebrates feed on the plants. Some vertebrates also feed on the invertebrates. When the vertebrates and invertebrates and plants die, decomposers such as fungi and bacteria help them decompose and the nutrients return to the soil for the cycle to restart.
It is difficult to make any conclusions about keystone species and indicator species as well as about carrying capacity in the transect because this transect is highly maintained by the American University Campus. It is highly likely that any resources that the transect lacks are supplemented by maintenance to keep it looking nice and alive.
Wednesday, February 03, 2016
'Exercise 4 - Plantae and Fungi
Purpose:
The purpose of this lab was to observe and classify some of the types of plants and fungi in our transects. This was done by collecting various samples of plant life from the transects and observing cross sections of these samples.
Materials and Methods:
1. 5 different plant samples were collected from transect.
2. Location of plants and description were recorded.
3. Cross sections of the plants were made and observed using a dissecting scope.
4. Different kinds of fungi from the lab were observed and classified
5. A Burlese funnel was prepared using the leaf litter from the transect.
Data and Observations:
Plant 1:
Figure 1: An image of the sample taken from plant 1. The branch is about 30 cm long.
This plant was found towards the northwest of our transact. This branch is taken off a small plant that has no leaves but it does have stalks. Since it's winter, the plant was dead and it was hard to tell exactly how tall it would have been when alive but we estimated approximately 50 cm tall.
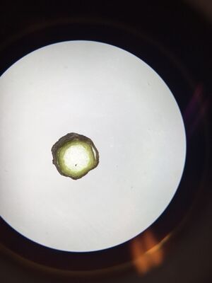
Figure 2: An image of the cross section in the dissection scope for plant 1. Notice the vascularization in the spiral pattern.
By observing the vascular bundles under the dissecting scope, the conclusion was drawn that this plant is a dicot.
Plant 2:
Figure 3: An image of the sample taken from plant 2. The branch is about 25 cm long.
This plant was found all over the transect. The particular tree that this branch came from was towards the northeaster edge of the transect. The tree that this branch was taken from is a small tree that had multiple thin trunks. The tree was about 2 meters tall. Since it's winter, the tree didn't have any leaves to classify it.
Figure 4: An image of the cross section in the dissection scope for plant 2.
By observing the vascular bundles under the dissecting scope, the conclusion was drawn that this plant is a monocot because the vascular bundles are not organized in a circle.
Plant 3:
Figure 5: An image of the sample taken from plant 3. This piece of grass is about 30 cm long.
This plant was found towards the center of our transact. Since it is winter, there were no living samples of this grass. It is estimated that normally this grass grows to be about 40 cm long.
Figure 6: An image of the cross section in the dissection scope for plant 3.
By observing the vascular bundles under the dissecting scope, the conclusion was drawn that this plant is a monocot since the vascular bundles are not organized in a circle.
Plant 4:
Figure 7: An image of the sample taken from plant 4. This piece of grass is about 26 cm long.
This plant was found all over the transact. This particular sample was collected from the grass at the center of the transact. The grass grows in bundles. The average length of the stalks of this grass was about 30 cm long. The grass did not stand up straight.
Figure 8: An image of the cross section in the dissection scope for plant 4.
By observing the vascular bundles under the dissecting scope, the conclusion was drawn that this plant is a monocot since the vascular bundles are not organized in a circle.
Plant 5:
Figure 9: An image of the sample taken from plant 5. This branch has a small sample of lichen on it.
This branch was found on the ground near the large tree on out transact. The branch itself is no longer living but it did have a sample of lichen on it.
Figure 10: An image of the lichen viewed under the dissection scope.
Lichen are non vascular.
Description of Leaf Litter:
There were no leaves on any of the samples we collected since it is winter and they have all fallen off. There was some leaf litter in the transact that mostly consisted of large broad leaves from the large tree that is in the transect. There were also a few smaller leaves that most likely came from the smaller tree that the second plant sample came from. These leaves were long and thin and had visible vascularization.
Description of seeds:
No seeds or spores were found in the transact most likely due to the fact that most of the plants were in hibernation for the winter.
Fungi:
Fungal sporangia are the parts of the fungus that produce asexual fungal spores. They are one of the structures that play a part in fungal reproduction.
This image shows the fungus that we observed in the lab that usually grows on bread. The black dots are the sporangia.This is where the spores are produced for the bread mold. This is a fungus because it has sporangia and hyphae. This mold is classified as zygomycota.
Conclusions: There are many different kinds of plants and fungi. In the transects, most of the plants were vascular and out of the four samples that were vascular, three were monocots. The final sample was actually lichen and therefore not vascular.
DMB
Wednesday, January 27, 2016
Exercise 3 - Microbiology and Identifying Bacteria
Purpose:
The purpose of this lab was to once again take samples from our Hay Infusions and attempt to identify the bacteria found in our transacts based on motility, colony morphology and gram stains. We also prepared the bacteria to be sequences based on their 16s ribosomal subunit genes.
Materials and Methods:
1. First the Hay Infusions were examined once more before they were discarded.
2. Agar plates were collected and the growth on each plate was analyzed. One plate with tetracycline and one without tetracycline that had good bacteria cultures were selected and two colonies on each were chosen to be analyzed for a total of four colonies.
3. First, the colonies were analyzed based on colony size and shape.
4. Wet mounts of the four different bacterial colonies were made and then observed under a microscope for motility.
5. Next, gram stains were made for each of the four colonies. A sample from each colony was placed on a slide with some water and then allowed to dry a bit. Then the bacteria were fixed onto the slide by holding the slide over heat. Then, the slide was covered in crystal violent for 1 minute, washed with water the covered with iodine mordant for 1 minute, then rinsed with water. Next it was flooded with the decolorizer and then rinsed with water. Finally, the smear was covered with safranin stain and the excess was washed off.
6. The gram stain of each colony was observed under a microscope to determine whether it was positive or negative.
Data and Observations:
Final Hay Infusion Observations:
-Smell is rancid, though not as strong as last week's
-There is less of the white layer at the surface of the water
-There seemed to be more substances settled at the bottom of the jar.
-There was a lot of evaporation from last week.
Image 1: Transect Jar on January 27th, 2016. Note the line where the water level originally was and the level of evaporation.
Hypothesis: Our hypothesis for the reason the smell is not as strong this week since most of the solid product in the solution drifted to the bottom of the jar and therefore the smell couldn't escape as well.
There are no archaea in our transects because the conditions are not extreme enough for the extremophiles.
Tetracyclin Mechanism:
Tetracycline inhibits protein synthesis in bacteria by stopping the tRNA from associating with the ribosomes. (Chopra, 2001)
Bacteria Cell Morphology Observations:
Figure 1 - Non-Tet Orange Culture: The bacteria were motile and seemed to be mostly rod-shaped. It was difficult to see exactly what their method of moving was but they seemed to move in straight lines which lead us to believe that they were not the spiral-shaped kind of bacteria. These bacteria tested as gram-negative.
Figure 2 - Non-Tet White Culture: These bacteria were also motile. They seemed to move slowly but they were moving. Once again, it was difficult to see whether they had flagella or cilia. These bacteria seemed to be cocci. These bacteria tested as gram-positive.
Figure 3 - Tet Orange Culture with Mold: These bacteria were motile and were mostly cocci. They moved more quickly that the white non-tet culture ones. There were larger dark colored cells that were not in any of the other cultues and we hypothesize that these were mold samples. These bacteria tested as gram-positive.
Figure 4 - Tet Orange Culture without Mold: These bacteria were motile and consisted mostly of cocci. They moved quickly but the mechanism by which they moved was hard to determine. These bacteria tested as gram-positive.
Feb. 25th, 2015 Blast
Sequence File : MB1-For_16S.seq
GCAGTCGGANNGGNNGNNNNNNNNNNNNNCGGCNGAGACCGGCGCACGGGTGCGTAACGCGT ATGCAATCTACCTTTTACAGAGGGATAGCCCAGAGAAATTTGGATTAATACCTCATAGTATAACACAATCGCATGATTGA GTTATTAAAGTCACAACGGTAAAAGATGAGCATGCGTCCCATTAGCTAGTTGGTAAGGTAACGGCTTACCAAGGCTACGA TGGGTAGGGGTCCTGAGAGGGAGATCCCCCACACTGGTACTGAGACACGGACCAGACTCCTACGGGAGGCAGCAGTGAGG AATATTGGACAATGGGCGCAAGCCTGATCCAGCCATGCCGCGTGCAGGATGACGGTCCTATGGATTGTAAACTGCTTTTG TACGAGAAGAAACACCTCTTCGTGTAGGGACTTGACGGTATCGTAAGAATAAGGATCGGCTAACTCCGTGCCAGCAGCCG CGGTAATACGGAGGATCCAAGCGTTATCCGGAATCATTGGGTTTAAAGGGTCCGTAGGCGGTTTAGTAAGTCAGTGGTGA AAGCCCATCGCTCAACGGTGGAACGGCCATTGATACTGCTGAACTTGAATTATTAGGAAGTAACTAGAATATGTAGTGTA GCGGTGAAATGCTTAGAGATTACATGGAATACCAATTGCGAAGGCAGGTTACTACTAATGGATTGACGCTGATGGACGAA AGCGTGGGTAGCGAACAGGATTAGATACCCTGGTAGTCCACGCCGTAACGATGGATACTAGCTGTTGGGAGCAATTTCAG TGGCTAAGCGAAAGTGATAAGTATCCCACCTGGGGAGTACGTTCGCAAGAATGAAACTCNNGGAATTGACGGGGGCCCGC ACAAGCGGTGGAGCATGTGGTTTAATTCNATGATACNCGAGGAACCTTACCAANGCTTAAATGTANTGTGNNCCGATNTG GANCAGATCTTTCGCANACAAATTACAANNGCTGCATGGTNGTCNTCAGCTCGTGCCGTGAGNNNCNGNTAANTCCNATA ACGANNCAACCCCTGTNNTTAGTTN
Flavobacterium sp. 142O 16S ribosomal RNA gene, partial sequence
Related Information
Alignment statistics for match #1
Score Expect Identities Gaps Strand
1664 bits(901) 0.0 957/995(96%) 9/995(0%) Plus/Plus
DMB
Wednesday, January 20, 2016
Exercise 2 - Identifying Algae and Protists
Purpose:
The purpose of this lab was to identify protists and algae that were found in the Hay Infusions that were prepared during the last lab. Samples from two niches in the jar. We attempted to determine what kinds of organisms were found in each niche using a dichotomous key.
Materials and Methods:
1. Examine Hay Infusion and describe the smell and appearance.
2. Draw samples from two niches and place on slides under a microscope.
3. Using a dichotomous key, determine the species of the organisms found in the sample.
4. Take a picture or draw a picture of the organisms found.
5. Measure and record the organisms's size.
Data and Observations:
Hay Infusions Culture Observations
-Smelled putrid/rotten
-Smell was very strong
-Water was translucent but not entirely clear.
-Soil and rocks had settled at the bottom of the jar
-Wood chips, berries and grass floated on top of the water.
-There was a layer of a white, thick substance near the top of the water.
-Floating above the water was a thin layer of a brown substance.
-No apparent life
Niche 1:
Taken from the side of the jar near a wood chip that stuck to the side. There was a lot of the white substance near the wood chip as well as some of the brown substance.
Organisms found in niche 1:
This organism was identified as a Volvox. It is a motile algae. It does photosynthesize. The volvox was about 137.5 micrometers in diameter.
This organism was identified as a colpidium. It is a motile protist. They do not photosynthesize. This colpidium was about 12 micrometers long.
These organisms are the small, unicellular organisms in the image above. These organisms were identified as Chlamydomonas. They are motile algae. They photosynthesize. They were between 8 and 10 micrometers long.
Organisms found in Niche 2:
This organism was identified as a gonium. It was a slow moving algae. It does photosynthesize. This one was about 96 micrometers long.
This organism was identified as a chilomona. It is a motile protist. It does not photosynthesize. It was about 34 micrometers long.
This organims was identified as a paramecium. It is a motile protist. It does not photosynthesize. It is about 100 micrometers long.
The volvox meets all of the following requirements for life:
-Energy: Volvox photosynthesize and therefore derive their energy from light
-Cells: A volvox is made up of a collection of cells that work together to keep the organism alive.
-Information: Volvox carry DNA within each of their cells that is replicated when the reproduce.
-Replication: Volvox reproduce asexually.
-Evolution: Volvox are though to have evolved from less complex, smaller unicellular algae such as chlamydomonas.
Prediction: If our Hay Infusions Culture grew for another two months, each of these organisms would continue to reproduce and grow. Due to the lack of resources and space within the Hay infusion, there may be a battle for survival and some of the weaker species may be overrun by the stronger ones. The Hay Infusion Culture may reach its carrying capacity.
Serial Dilution Diagram:
Conclusions and Future Directions:
My conclusion for this experiment is that there are many organisms growing in the transect on campus. It is likely that there are even more that were not collected or that were not identified in this lab.
DMB
Wednesday, January 13, 2016
Exercise 1 - Examining Biological Life at AU: Transect Report
Purpose:
The purpose of today's experiment was to gain familiarity with the transect and to prepare the hay infusion cultures. First the transact was analyzed and then a sample was collected to prepare the culture. We hypothesize that there will be growth in the Hay Infusion Culture but that due to the cold weather which could potentially limit the amount of life in the soil, the growth may be limited.
Materials and Methods:
1. Draw an aerial view of transect including any important features whether abiotic or biotic.
2. Record the topology of the transect and record the weather at the time of sample collection.
3. Collect sample of soil and other ground matter.
4. Make a list of all biotic and abiotic components in the transect.
5. Measure out 10-12 grams of transect sample and place in jar.
6. Add 500 mL of Deerpark water to jar.
7. Add 0.1 g of dried milk to sample.
8. Let sample sit open for 1 week.
Data and Observations:
Topology of transect was flat towards the northeast side of the transect. It curved down slightly towards the southwest side to meet the sidewalk. Weather at the time of the sample collection was approximately 35 degrees F and windy. The top layer of the soil was frozen and there was some frost.
Figure 1: Aerial view of transect. Major landmarks are drawn and labeled with a letter. Pictures of these landmarks can be found below.
a. Dead Bush (biotic)--------------------- b. Small, thin tree (biotic) ---------------- c. Long lighter colored grass (biotic)---- d. Lamppost (abiotic)
e. Broken Roots (biotic)------------------ f. Sprinkler (abiotic) ----------------------- g. Shorter darker grass (biotic) ------------ h. Tall Tree (biotic)
Figure 2. This figure shows all of the prominent landmarks in the transect and the letters they are labeled with on the aerial view diagram.
There were some biotic and abiotic elements that were evenly spread out across the transect. Below is a full list of biotic and abiotic elements in the transect. The ones marked with an asterisk (*) are not marked in the diagram because they were evenly spread out across the ground:
Biotic: Small, thin tree Tall tree Longer, ligher grass Shorter, darker grass Root stumps Berries* Acorns* Weeds* Leaves from the trees* Bacteria and fungi*
Abiotic: Soil* Rocks* Sprinkler Lamppost Metal disk Sidewalk Water/Ice in the soil*
Conclusions:
This lab was mostly focused on collecting information and setting up the lab for next week. Since the Hay Infusion Culture will not be ready for a week, no conclusions can be drawn so far on the Hay Infusion. Some conclusions that can be drawn about the transect is that biotic and abiotic elements are both present in one area of land. Despite some of the plants being dead, they were still biotic.
DMB
