User:Aikerim Imanalieva/Notebook/Biology 210 at AU

From OpenWetWare
Jump to navigationJump to search

18 March 2016




In conclusion it was observed that the zebra fish that grew with fluoride had a shorter body compared to the ones that grew in Deerpark water, the difference was about 1mm long in average. Also, those that grew in the Deerpark water had a light green transparent body, while the ones in fluoride water contained a much darker body coloring, dark green with black spots and much more less transparent. Further research has to be conducted to understand why the coloring is so different between the fluoride and Deerpark water. But knowing about the effects of fluoride it can be concluded that the effects are of negative characteristic. Surprisingly the overall death rate between the zebrafish in fluoride and Deerpark water was the same, except that more zebrafish in fluoride water died out in the beginning then the end and the middle.



Results 26 March 2016 and 29 March 2016

It was interesting to note that the size of the zebrafish stayed the same 4mm, even though we predicted that the experimental and control length of zebrafish would be different. The color of experimental and control, however, were different. The Control had a transparent green color, with a very small amount of black dots, while the experimental zebrafish had a very dark green color with a lot of black spots. Both the control and experimental had normal/same motility.

Results 2 march 2016

During this day we were finally able to observe that the experimental and the control had different length of bodies. With most of the experimental being in the range of 4mm, and control being 5mm-5.5mm. The colors of fish of experimental and control stayed the same. There were no death recorded

DNA Sequencing Purpose: the purpose of this experiment was to identify which type of bacteria were the most abundant in out transect located near Grey Hall, using primers and PCR to selectively amplify the 16s rRNA.

Materials and Methods: Setting up PCR Two PCR tubes were labeled with initials, to which 20 ul of primer/water, PCR bead, and a small amount of bacteria were added. Then the tube was capped and put into the PCR machine. Identifying Bacteria To be able to Identify the bacteria present in our transect the base pairs were inserted into the Basic Local Alignment Search Tool (BLAST) platform of the National Center for Biotechnology Information (NCBI). Then the result were recorded.

Data NNNNNNNNNNNNNNNNNNGCCNNNNGGTACCGNNGGTAGCGTNNTATATTGCTCTCNNTGATGANTGGGNNNNNNNNNNN GGTGGCTGGGAAGCTGCCGGATGGNAGGGGATAACTACTGGAAACGGTATCTAATACCCCAAAACGTCGCAATACCGTCA GGGGCACCTTCAGGCCTCTTGCCATGGNATGTGCCCAGATGGGATTAGCTAGTANGTGGGGTAATGGCTCACCTANGCGA CNATACCNAGCTGGTCTGAGAGGATGACCACCCACACTGGAACTGAGACACGGTCCACACTCCTACGGGAGGCAGCAGGG GGGAATATTNCTGNATGGGCGCCGGCCTGATGCGNCCATGCCGCGTGTATGAAGAACGCCTTCNGGTTGTAAACTACTTT CAACGAAGAGGAAGGCATTGAGGTTAATAACCGNNNGGATTGACTTTACTCGCANAGCAAACACCGGCNGAAATCCNTGG CGTCNNCCNCGNTAATAGNNGANNGGCAAGCGATTAATCGNANTTGCTAGGGCCTATAGCACATGNNNGNNGNCTGTCGG NGCGGAACTGAAATCCCCCGGCTCANCCNGAGTAACTTCNTTCAAGACTGGAGTTCTGTAGTCCTGTAAAGGGGGNATAN AAGTCCNGATGAAAGGGTNAAATGCNTCNAAGGCTANNNATGCCATNNNGTGAAACGCCTNCCCANCAGAANACTAGNAC TCAGGTANGNGGGGTGAANAGGATGAANGTATTCNNNNNNTCCTTACTCCATCCCGNNGNNNNANNTCNATNTGNGANTT NGNGCNCCAGAGAGACAAACNNNNNGANNNANNANTTANCTNCGCCGGCCNGGNNNGNAGNNGGNNANNANTACNAANNN GACGGANNGCNCGCNNGCCNGGNNGNNNAGNNNATCTTGTTCTTNTGAGTNCNTGNN


NGTCGTAACAAGGTAGCNNNNNNNNNGNNCNGTANNNTCGTGTCCNNATAGGTNANC GTATGTGGTGGGTGGGAGGNAGGTCAAGTCGAAAGGAAGGATCCNACCGCATACNTCCTACGGAAGAAAGGNNGGGACCG GCTGGNCTTGCGGTAACGAANNAGCCTACGCAGTGNTANTGTTCTGGNGTGGTGTNGGNNNTCGATGGACANGTGGGAAA GTGGTANTGGGAGGANGAACCCAGACACNGTNNCTGNCANACGGCAGCGACATGNNCGCGGGACNGAGCCGGAGAGGCCA CNNNANCGTNGATGGCGNTNGAANNATGCATGTCGAGTGACAGCAAATAAATCGNCGGNGATCTTAGAATTATCCTCCGA TACCTGCGAGACTAAGATACANAACATNTNGGTATNACNNCCGCTGTGCAGATTNACTGGTNGTAANGNNGCNTCCGCGN NANNTNAAATNGGGGATGGGTTCACGGANTTNNCGGGNNGAAAAGCCTTNGAAGTGGTNNTGTCGNNACGGTACAGGAGT GTGAAAATCCNAGNGAANCGTGAANAANTACCTGNATGCAGTAATGTGTTCNNATANGCCACTTACAGGAAACTTGNNGA NGTATANNNGTTNATCAANNGGANNANTTGNAANTAGATNNNGCNGTAGGTAGCTCAGAANNNTNNAANGCGTACNNNGC GGCAAGANAGAGTGATGANCNGCNNTTCAGCCCACNTCTGNNCTTAACNNNNACTATCNTTNAACTCCAANCCGGTAACA GACGAACTACCGCCACTGGCAGCGGCCAGTNGNNCCNNCATTANCANANCGAANNATAGAANCCGTGCCCCCANANNTCT TGAANNGNTNNGCTAACTTACNGNTCGANNANAAGAANNATANTTNGNNATCNGGNCTNGACTAGAAGCCNNTTACCCTC NNAGAAGANTTNNNTCAGCTCNNGATTCNNGCCNANCNAGNNNNNGNGANANNNNNANN

Conclusion Because the PCR for our bacteria did not work, I used the results of others to see what type of bacteria they had in the transect. Running the results it was seen that the bacteria was Lelliottia amnigena strain SFCFD20130614-7. The strain was presented in both cases. It can be concluded that this type of bacteria is most abundant.


26 February 2016 There were two dishes used control and experimental. Control dish contained 24 valves, from which 20 valves were used and 2mL of DeerPark water was added to each valve. Twenty zebrafish embryos were selected and under the microscope checked for their life. Afterwards, zebrafish embryos were placed into 20 valves, so that 1 valve contained 1 embryo. The experimental dish contained 24 valves, from which 20 valves were used and 2mL of 10mg/L of Fluoride was poured into a valve. Then the zebrafish embryo were placed into each valve. However, before that wenty zebrafish embryos were checked for life. When this steps were finished, under the microscope the stages of the life f the zebrafish were recorded and the dishes were labeled as "control", "experimental", name and date. The fishes record both in experimental and control were in 8, 13, 15 somites. Experimental 8 somite- A3, A5, B4, C3, D5 13 somite- A1, C1, C5, D2 15 somite- the rest

Control 8 somite- A2, B2, B5, D2, D3 15 somite- the rest Hypothesis: Based on the previous reading on fluoride and it affect on rats and frogs, it was hypothesized that fluoride will lead to either early death or shorter length of the body, compared to the normal development of the fish.

Number of Living Experimental- 9 Control- 19

Number of dead Experimental-1 Control- 11

Size Day 1- the size of the fish both in control and experimental were about 2-2.1 mm Day 2- the size of the fish in both did were about 2.3-2.5 mm Day 3- the size of the fish in both did were about 2.5-2.7 Day 4-the size of the fish in both did were about 2.8 Day 5-the size of the fish in both did were about 3.0 Day6-This is when the difference in size has occurred. The one in the experimental were much shorter then the ones in the control, the experimental showed the size of 3.1-3.3mm, while the ones in the the control showed the sizes of 3.3-3.5mm.

Development The development of the control and experimental showed to be relatively the same until Day 4, in Day 5 it was observed that the experimental development became much slower, with no fish having with a stage of protruding mouth.

Pigmentation The pigmentation of the zebrafish's body and tail were the same Dark brown to yellow spots littering the body. 5 February 2016 Exercise III- Microbiology and Identifying Bacteria Objective- the objective of this lab was to observe and identify bacteria based on their motility, gram stain, colony morphology, and sequencing of the 16s ribosomal subunit gene.

Hay Infusion Culture After a week the Hay infusion culture seemed to get lighter in color, with the soil and most of the leaves going to the bottom of the jar. However, there were some lighter in mass leaves that were still floating in the middle and the top. The smell of the Hay infusion culture seemed to worsen, a smell of poop mixed with decomposing material. I hypothesize that the smell and the appearance of the Hay infusion culture changed was because the environment’s pH and amount of material changed. Leading to microorganisms dying and changing. The Archaea did not grow on agar plates because Archaea grows only in extreme environments, which the agar plates did not provide.

Procedure I: Quantifying and Observing Microorganisms When I was recording the plates I had seen a substantial difference in the colony types between the plates with tetracycline and without tetracycline.

10^(-3)- The biggest difference observed was between agar plate with and without antibiotic was observed in this dilution. The agar plate without tetracycline contained a lawn of colonies that were dark green in color. While the agar plate without contained about 203 colonies of rod, yellow like bacteria. 10^(-5)- The colony types were similar between the one with tetracycline and without it. They looked like circular, yellow like bacteria. The only difference observed was that the one with the antibiotic had only one colony, while the one without it had about 130. In both plates Fungi was not observed. 10^(-7)- The agar plate without antibiotic had one rod, yellow like colony. While the one with antibiotic did not have any colonies. 10^(-9)- Interestingly enough the agar plate with tetracycline showed to have a fungi grown on it. While the one without tetracycline did not have anything. Antibiotics can not kill Fungi that why the colony was able to grow on the agar plate with tetracycline.


The observations confirm that the bacteria collected is not fully resistant to tetracycline antibiotic, probably gram-negative because it is more resistant to antibiotics than gram positive bacteria, reducing the amount of the bacteria colonies in those who had an antibiotic. The tetracycline however did not have any effect on the Fungus. Proving that the antibiotics cannot affect Fungal growth.

Mechanisms of Tetracycline

Tetracycline belonging to polyketide class, is widely used against bacterial infections. What it does it releases its promoter into the cell depressing the transcription of the bacterial cell that it had infected (Werten). This afterwards triggers allosteric cascade, even in the absence of magnesium, stopping bacterial protein synthesis. The bacterias that are sensitive to such antibiotic are bacterial pathogens such as Chlamydia, Mycoplasma and Rickettsia (Werten).

Werten, Sebastiaan, et al. "Tetracycline Repressor Allostery Does Not Depend On Divalent Metal Recognition." Biochemistry 53.50 (2014): 7990-7998. Academic Search Premier. Web. 5 Feb. 2016.

The PCR tubes were carefully labeled with our initials. Then 20ul of primer were aded into a PCR tube, which was then dissolved. Afterwards a bacterial colony was taken from the agar plates, using a toothpick, and put into PCR tube. After this was done, the tubes were put into PCR to let it run.

                                                                                                                       Plantae and Fungi 


Transect Sample Plants Location # in transect Description (size and shape) Vascularization Specialized Structures Mechanism of Reproduction Centifolia

Centifolia Kingdom: Plantae Family: Rosaceae Genus: R. × centifolia


Located on the NorthEast of the transcend, in front of the bench and surrounded on one side by the pathway to Gray Hall and on the other side by Rockwood Pathway. Plants are lank and open, with long floppy canes that can attach themselves to railings, growing up to 1.5-2 meters in height. On the plant there are small spines and large hooked thorns. In general centifolias are stouter and taller than gallicas, with coarser prickles, and narrower, longer leaves. They have pink blossoms that are lush and round in shape.

Plants absorb nutrients and water through their roots. Plants contain vascular tissues (xylem), which transports water and minerals up from the roots to the leaves, and phloem, which transports sugar molecules, amino acids, and hormones both up and down through the plant. The leaves of plants also contain veins, through which nutrients and hormones travel to reach the cells throughout the leaf. Veins are easy to see some leaves (a maple tree, for instance). There is also Sap, that is the mix of water and minerals that move through the xylem. Carbohydrates move through the phloem. Keeping plant hydrated and nourished. Inside the cells of the root, there is a higher concentration of minerals than there is in the soil surrounding the plant. This creates root pressure, which forces water up out of the root through the xylem as more water and minerals are "pulled" into the root from the soil. This force results in guttation, which is the formation of tiny droplets on the ends of leaves or grass early in the morning.


Unlike many type of roses, Rosa × centifolia has a thick covering of resinous hairs on the flower buds. Roses are like angiosperms. They have males who contain pollen and females who contain ovule. During spring, when insects transfer the pollen from one kind of flower to the other, the pollen joins itself to form egg cells inside the ovule, and the combined cell is considered fertilized. They develop into a rose hip, which is then ingested by birds. Who then poop it out and this poop nutrition for the seeds within the rose hip to germinate. Snowdrop

Snowdrop Kingdom: Plantae Family: Amaryllidaceae Genus: Galanthus L. Located on the NorthWest of the transect, in front of the bench and surrounded on one side by the pathway to Gray Hall and on the other side by green bushes. The bulb is spherical with the circumference of, 2–2.2 cm x 1.1–1.5 cm. While the green stalk is 7–15 cm long and is straight. The leaves are held flat against each other in the bud. They are linear and smooth, with a greenish/grey color. The flower is white in color and when bloomed hangs down in an inverted V o U shape.The flowers are composed of six white perianth segments, with a green tip.


Snowdrops are known for coming during the winter. The ability to emerge at that time is due to the leaves and stem that have hardened tips and are covered in a protective sheath. . They enable the plant to penetrate the layer of snow.


Snowdrops can reproduce sexual and asexual reproduction. Sexual reproduction occurs through the pollination of the flower, while the asexual reproduction occurs through the formation of the bulb. The bulb is formed by the leaf bases which completely encircle the short, conical stem. The part of the leaf above ground makes food by photosynthesis and sends it to the leaf bases which swell as they store the food. In the following year the stored food is used for the early growth of the bulb.

Japanese Hop

Kingdom: Plantae Family: Cannabaceae Genus: Humulus Species: Humulus Japonicus Located in the SouthEast behind the wooden bench and next to the pathway made of rocks leading to Gray Hall. The plant characteristics lies in twining, shallow-rooted vine that grow to be ten or more feet. Because it contains a rough-textured stem that is covered with short, sharp, downward pointing prickles they can attach themselves to the surfaces of the buildings. They contain male and female flowers that are greenish-yellow in color. Females contain seeds.

The leaves of the Japanese Hop are rough and toothed, in a shape of a hand with typically 5-7 lobes.


Unlike many plants, Japanese Hop are highly adaptive. They can grow in different environments, and because they require minimum amount of nutrients and water, when risen can spread very quickly. Thus stopping the growth of other plants. Reproduction in the Japanese Hop occurs by the spread of seeds that germinate in early spring. The seed is dispersed by animals (including people), machinery and floodwaters.

Daffodil

Kingdom: Plantae Family: Amaryllidaceae Genus: Narcissus L.


Located in the middle of the transect, it is surrounded by the bench on the West of it and the pathway made out of rock on the East of it. Behind the pond, covered by green bars. Daffodil is bulbous perennial with upright, strap-like, grey-green leaves. The leaves arise from the base of the stem and are up to 35 cm long and 12 mm wide, with rounded tips. During its time there is a single flower which is located at the end of the flower stalk.

The flower is made up of light brown “'trumpet' (corona) surrounded by a ring of 3 sepals and 3 petals (perianth), which are a lighter yellow.


Daffodil can reproduce either either by producing seed or bulbs. In reproduction of the seed, sexual reproduction, the flower is pollinated by insects. The pistil containing the stigma and the female gamete, is where the daffodil's ovule is found. On the stamen of a plant, pollen is produced, which contains the male gametes. When pollination occurs, the pollen is dropped into the stigma. This fertilizes the ovules of the plant, inside its ovary. A seed then develops from the fertilized ovule. When the daffodil blooms die, the tiny black seeds are dry and ready for dispersal. The seed pod (ovary) of the daffodil cracks open, and seeds either fall to the ground or are transported by wind or animals to a new location.

During asexual reproduction, the bulb at the base of the daffodil is split into two, forming bulblets. These then can become their own daffodils.


English Ivy

Kingdom: Plantae Family: Araliaceae Genus: Hedera L.


Covering the trunk of the tree it is located on the NorthWest of the transcend, in front of the wooden bench and next to the Centifolia. It is a climbing vine that attaches itself to different surfaces by root-like structures that exude a glue-like substance to aid in adherence. The leaves are dark green in color with a waxy texture and 3-5 lobes. The flowers are small, greenish-yellow and occur in globular starburst type inflorescences at tips of flowering stems. While the fruits are black with a fleshy outer layer and stone-like seeds.


English Ivy has the same basic vascularization as any plants. But because English Ivy is so mobile, it does not have an extensive root system. Instead of roots burrowing deep into the ground, the roots are on the surface, allowing for more movement to pick up nutrients from the surface rather than soil. To ensure the spread of the fruit and thus their reproduction, English Ivy developed a glycosides that can be mildly toxic, causing some birds to regurgitate them. English Ivy reproduces using seeds in the berries. The seeds in the berries are distributed by birds such as starlings, European house sparrows, band-tailed pigeons, robins and cedar waxwings. To ensure that the seed enter the soil, English Ivy developed a mildly poisonous berry, that forces the bird to vomit the seeds out into the soil.

Work Cited http://www.ivy.org/about_bv1.htm http://www.ask.com/science/roses-reproduce-b0d417afac38ec65 http://www.savanna.org.au/all/termites.html http://www.dummies.com/how-to/content/how-plants-get-water-and-nutrients.html https://en.wikipedia.org/wiki/Galanthus http://www.nps.gov/plants/alien/pubs/midatlantic/huja.htm http://www.ivy.org/about_bv1.htm http://www.biology-resources.com/plants-vegetative-reproduction-01.html http://speciesofuk.blogspot.com/2013/01/week-7-common-snowdrop-galanthus-nivalis.html https://en.wikipedia.org/wiki/Galanthus https://www.botanical.com/botanical/mgmh/r/roses-18.html

Exercise V- Invertebrates and Vertebrates Purpose: The purpose of this lab was to observe five living organisms that resided in the top and bottom half of Berlese funnel. Afterwards, using a dichotomous key organisms were identified, their features were recorded, and a conclusion about the organisms from the bottom and the top was made.

  1. 1

Bottom Phylum: Arthropoda Class: Diplopoda Length-8 Number found- 1 The organism was dead, with an elongated flattened body with segments, to which sixteen pairs of jointed legs were attached, with. It was also seen that the organism was bilateral and had two segmented antennas.

  1. 2

Bottom Phylum: Arthropoda Class: Hexapoda Collembolan Length- 4.5 Number found- 1 The organism was dead, with bilateral with small, soft, brown, globular body and tubular appendage. The body had two segmented antennae, and four thin legs. The body seemed to be covered in vesicles.

  1. 3

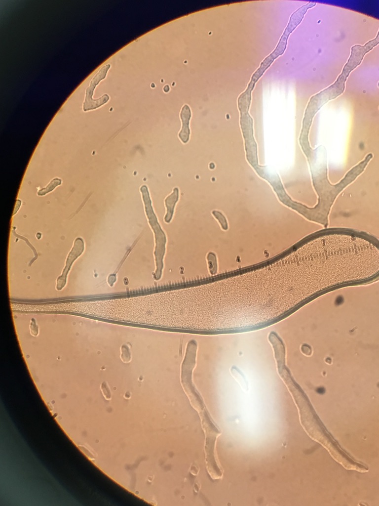
Top Phylum: Nematoda Class: Enoplea Length-22.2 Number found-1 The organism was alive constantly sliding along the slide. It had a clear complexion and an elongated, segmented body. The body had a bilateral symmetry, while the head showed a radial symmetry. Because the body was transparent a digestive system was observed.

  1. 4

Top Phylum: Nematoda Class: Enoplea length-6 Number found-1 The organism was alive with slight movement across the slide. It had a clear, medium thickness body, that was curved.

  1. 5

Top Phylum: Nematoda Class: Enoplea Length-4 Number found-Multiple The organism did not seem to show any life. It had a thin, solid,and somewhat translucent body. Like other Enoplia observed, the body was curved.



Conclusion: It was seen that the bottom of the Berlese funnel had in average bigger organisms that were more varied, than those in the top layer. They came from a different class, Diplopoda and Hexapoda, but shared the same phylum Arthropoda. The top layer was made up of organisms from a class Enoplia. Presenting a biggest organism of 22.2 mm and the smallest organism of 4 mm in size. Unlike the top layer organisms, the bottom layer organisms are social, relying on each other to survive. The social insects lead us to a conclusion that large colonies have been established in the transect, fighting for survival and reproductive success. This leads to a conclusion that the transect has a scarcity of food, where only those who are social insects can survive. The top layer consist of only Enoplea, which are not social animals. However, they are characterized as those that can adapt and thrive in any environment. Leading us again to a conclusion that the transect is mainly made up of social organisms.


Vertebrates: Bird #1 - Pigeon: Kingdom - Animalia; Phylum - Chordata; Class - Aves; Order - Columbiformes; Family - Columbidae; Genus- Columba; Species - Rock Dove

There are biotic and abiotic factors that pigeons can benefit from. The abiotic factors are the benches located in NorthEast and NorthWest of the transect. Those benches give an opportunity for student to sit and eat, dispersing food such as bread) for them to eat. As well as the pond and rocks which provides an abundance of insects to eat from. The abiotic factors are trees and shrubs, that not only provide shelter, but also indirectly food.

Bird #2 - Lesser Finch: Kingdom - Animalia; Phylum - Chordata; Class - Aves; Order - Passeriformes; Family - Thraupidae; Genus- Emberizoides Species - Lesser Grass Finch

These birds are known to weave nests on willows or shrubs, eating the buds of trees and seeds of the plants. The biotic factors that benefit them are shrubs which provide nests and trees and plants which provide them with food. The abiotic factors are the mild temperature, pond from which they can obtain water.

Vertebrate #3- Deer Mouse: Kingdom- Animalia; Phylum- Chordata; Class- Mammalia; Order- Rodentia; Family- Cricetidae; Genus-Peromyscus; Species- Deer Mouse Biotic and abiotic that would benefit

Deer mouse are omnivorous, whose diet consists of seeds and insects such as earthworms, beetles and snails. They create a nest in the ground or tree cavities, and during winter hoard food there. Because of its preferences, deer mouse can thrive in our transect. The biotic factors that benefit them are trees and long shrubs where nests could be weaved and from which seed and fruits could be obtained. Abundance of social insects that could be eaten, that thrive due to the environments. Some of the abiotic factors are pond that gives access to fresh water, rocks that help to hide from predators and weave a nest.

Vertebrate # 4- American Bullfrog: Kingdom- Animalia; Phylum- Chordata; Class- Amphibia; Order- Anura; Family-Ranidae; Genus-Rana; Species- R. catesbeiana

American Bullfrog feeds on invertebrates and small vertebrates such a reptiles birds and rodents. They prefer large bodies of water such as rivers or ponds. The transect contains abiotic and biotic factors that can benefit it. Abiotic factors are pond where the American Bulldog can live, big structures of rocks near the pond where it can hide and mate. Biotic factors are shrubs close to the pond which will make sure that the have supply of small animals which it can eat. Vertebrates and invertebrates which it can consume due to the plant variation.

Vertebrate #5- Little Brown Bat: Kingdom- Animalia; Phylum- Chordata; Class- Mammalia; Order- Chiroptera; Family- Vespertilionidae; Genus- Myotis; Species- M. lucifugus

Little brown bat live in building, trees, rock or wood piles and pack together for warmth. They hunt on insects such as moths, wasps, beetles, gnats, mosquitoes, midges and mayflies, etc. The abiotic factors that benefit the bat are the pond that provides them with food, mosquitoes, rocks that provide them with access to insects that reside underneath. The biotic factors are trees that provide shelter, shrubs from which food can be found, leaves and insects.

Setting up Berlese Funnel

To create a Berlese Funnel a 25 mL 50:50 ethanol/water solution was poured into a conical tube of 50mL. Then a piece of screening material was fitted into the bottom of the funnel, which was tapped to prevent the leaves from falling. A leaf litter was poured and put into a ring stand, an ethanol tube was tied at the bottom with parafilm. And then a 40 watt lamp was placed above the funnel and covered with foil for seven days.

Bottom of food web: dead leaves, live leaves; plants and algae (primary producers) Plants: (dead) maple leaves: Kingdom - Plantae; Order - Sapindales; Family - Sapindaceae; Genus - Acer (white bulbed flower) Common Snowdrop: Kingdom - Plantae; Clade - Angiosperm/Monocot; Order - Asparagales; Family - Amaryllidoideae; Genus - Galanuths; Species: G. nivalis (pink flower) Flowering Quince: Kingdom - PLantae; Order - Rosales; Family - Rosceae; Genus - Chaenomeles (thick grass) St. Augustine Grass: kingdom - Plantae; Order - Poales; family - Poaceae; Genus - Stenotaphrum; Species: S. secundatum (dark green leaves) evergreen perennial: Kingdom - Plantae Order - Lamiales Family _Acanthaceae Genus - Fittonia Species - F. albivenis OR variable-leaf heartleaf : K - Plantae O - Piperales F - Aristolochiaceae G - Hexastylis S - H. heterophylla


Second in food web: insects, bacteria and archaea (primary decomposer or consumer) Springtails: Kingdom: Animalia; Phylum: Arthropoda; SubPhylum - Hexapoda; Class - Entognatha; Subclass - Collembola; Order - Neelipleona

Third in food web: millipede, roundworm and earthworm (secondary consumer) Millipede: Kingdom - Animalia; Phylum - Arthropoda; Class - Diplopoda; Order - Family - Species - Roundworm: Kingdom - Earthworm: Kingdom - Animalia; Phylum - Annelida; Class - Oligochaeta; Order - Megadrilacea; Family - Species - L. Terrestris

Fourth/fifth in food chain: birds and animalia such as foxes, whether a bird comes fourth or fifth in the food chain depends on its species (some birds are secondary consumers, such as a Robin, whereas other are tertiary consumers)

4 March 2016 Zebrafish Experiments Methods- Every day 1 mL of fluoride was added to the experimental wells with zebrafish and 1 mL of Deerpark methyl blue water into the control, so that the wells were filled. As well as being fed 0.5ul of shrimps and cleaned, (except Saturday and Sunday). Every 2nd day zebrafish were observed and color, size, images, day of death were recorded.