SBB09Ntbk-DaviddeRenzy
From OpenWetWare
Jump to navigationJump to search
David De Renzy 14:34, 4 February 2009 (EST)
Edit personal page Make wiki notebook
David De Renzy 14:53, 18 February 2009 (EST)
- Reconstituted oligos to 100μM
- Ran basic PCR cloning reaction
- PCR Odd001F/Odd002R on E. Coli plasmid pAPEC-1 (AF218073) (1603 bp, EcoRI/BamHI
- Into PCR tube labeled M10040
- Odd001F Forward EcoRI oligo for TshA ccataGAATTCatgAGATCTacacttttacctgtatacg
- Odd002R Reverse BamHI oligo for TshA ctgatGGATCCtcagaatgaataacgaatattagcg
AND
- PCR Odd003F/BBa_G00101 on pBca1256-Bca1346 (3722 bp, EcoRI/BamHI)
- Into PCR tube labeled M10041
- Odd003F Forward oligo for INP ccaaaGAATTCatgAGATCTtgtaATGaatctcgacaaggcg
- BBa_G00101 Reverse sequencing of pSB1A* plasmids attaccgcctttgagtgagc
Next step -> Run Analytical Gel
David De Renzy 15:38, 23 February 2009 (EST)
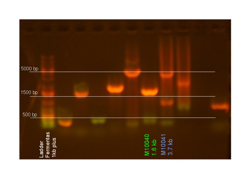
- Ran Analytical gel on M10040 & M10041
- 5μL PCR product + 5μL blue loading buffer (concentration was weak)
- Both expected products were present
- M10041 had a small fragment (~1000bp) of unknown DNA
- Performed Zymo clean-up on M10040 & M10041
- Eluted final products into 33μL water
Digest and gel purify M10040 & M10041 Maybe, run another analytical gel & purify with remaining "zymo-cleaned" M10041 OR Run a more stringent PCR for M10041 with higher annealing temperatures
David De Renzy 14:21, 25 February 2009 (EST)
- Digested M10040 & M10041
- Used 8μL of each PCR product for digest
- Gel purified M10040 & M10041 Digests
- Also gel purified 15μL of M10040 PCR product (after zymo clean-up)
Ligation Transformation
David De Renzy 14:58, 27 February 2009 (EST)
- Performed ligation of EcoRI/BamHI digests for pBca9495KC-M10040 & pBca9495CA-M10041
- Transformed ligation products into E. coli cells
- Plated pBca9495CA-M10041 transformed cells onto a CA (ampicillin) selective plate
- Plated pBca9495KC-M10040 transformed cells onto a KC (Kanamycin) selective plate
Next-Pick colonies
David De Renzy 14:14, 2 March 2009 (EST)
- NO COLONIES FOUND!
- Sources of Error:
- No gel purification was performed after digestion
- For pBca9495CA vector, proper extended incubation period at 37°C for 40 mins was not performed
- Started back at digestion step
- Used M10040 Product after Zymo cleanup
- Used M10041 product after Zymo cleanup and gel purification (to remove 1kb unwanted fragment
- Gel purification
- column1=M10040, column2=M10041, column3=Ladder
- Cut out gels were each place in 600μL of ADB buffer in labeled eppendorf tubes
Next-> finish gel purification Maybe start ligation/transformation
David De Renzy 14:24, 4 March 2009 (EST)
- Zymo gel purification of M10040 & M10041 completed
- eluted into 8.5μL of ddH20 for each
- Performed ligation of EcoRI/BamHI digests for pBca9495KC-M10040 & pBca9495CA-M10041
- Transformed ligation products into E. coli cells
- Performed 40 min shake & incubation at 37°C with 100μL LB added for both products
- Plated pBca9495CA-M10041 transformed cells onto a CA (ampicillin) selective plate
- Plated pBca9495KC-M10040 transformed cells onto a KC (Kanamycin) selective plate
- Note: Amp=Red, K=green, C=blue
Next-pick colonies
David De Renzy 13:13, 6 March 2009 (EST)
- ~20 colonies on pBca9495KC-M10040 plate
- 2 colonies were already picked and incubated overnight by the GSI's
- Minipreped and eluted with 50μL of water
- Loaded sequencing plates: Plate1=H3 (M10040 MP clone1) & Plate2=A2(M10040 MP clone2)
- NO COLONIES pBca9495CA-M10041 plate!
- This part will have to be abandoned
Next- Mapping, wait for sequencing results
David De Renzy 15:55, 9 March 2009 (EDT)
- Digested and mapped M10040 clone 1 and clone 2

