IGEM:Harvard/2008/Lab Notebooks/DailyBook/Week11/Chemical and Light
Summary of the week
- Retransformed plasmids containing low expression ompR and HO-pcyA (for light system) w/ Cm resistance
- Ligated mtrB after an RBS and before a terminator (2 separate systems)
- Ligated lactose inducible GFP (with low repressor expression) into a plasmid w/ Cm resistance
- Found new cloning method that appears to work
- Perhaps UV box is not on long wavelength- use Clonewell system
- Perhaps ligation protocol is not optimal (use method below)
- Ligations with old protocol failed
- Ligations were confirmed by colony PCR, but need sequencing
Retransformations 9/15
P126 and 127 retransformed into DH5α. Split 30μL and rest onto 2 diff CM plates.
9/16: Retransform went fine, although still fewer cells/DNA could have been used. Colonies picked for overnight cultures.
Ligations 9/15
- Tried the Takara ligation kit: 1μL vector, 4μL insert, 5μL ligation mix
- Transformed into DH5α
mtrB
P63 EX (8/14, dephos) with:
- mtrB TOPO ES (8/15): 0 colonies (on KAN)
- mtrB BB ES (8/14): 3 colonies (on KAN)
P97 SP (dephos) with:
- mtrB BB XP (8/14): TMTC (on AMP)
- mtrB TOPO XP (8/15): TMTC (on AMP)
It seems like there's something wrong with the P97, so if the colony PCRs indicate there's nothing in the plasmids, the tube'll be tossed.
Colony PCR
The 3 mtrB+63 colonies and 4 of each mtrB+97 colonies were picked for colony PCR:
Mix (split into 11): 247.5μL Platinum supermix, 5.5μL BBpfx, 5.5μL BBsfx, 16.5μL H2O
Rx: 5min denature, 35 cycles of (45s denaturation at 94°C, 30s annealing at 55°C, 2m40s at 72°C), 7min final extension, hold at 4°C
2KB ladder used. Clearly, none of the clones actually had a 2kb+ band, so mtrB was not incorporated.
Lac QPI
P3+51 EX (8/3, dephos) with P38 oligo mix (Amy's prep)
0 colonies (on KAN)
RE digests 9/17: mtrB TOPO, 101, 102, 116, 117
The following digests were performed using the Fermentas protocol for 25 min: mtrB TOPO ES; mtrB TOPO XP; P63 EX; P97 SP, P101, 102, 116, 117 ES
Aside from 116, 117, the bands were extracted using a clonewell gel. 116 and 117 were not visible.
P63, P97, and P101 were dephosphorylated according to the NEB instructions using Antarctic phosphatase, and the phosphatase was heat killed.
Ligations 9/18
The following ligations were performed (using 1:6 vector:insert ratio):
- mtrB TOPO ES + P63 EX
- mtrB TOPO XP + P97 SP
- P101 ES + P102 ES
The DNA was mixed, heated to 65°C for 2 minutes, and then mixed with ligase.
- With Takara kit, 6μL DNA mix was added to 6μL ligation mix
- With NEB kit, 9μL DNA mix was added to 1.1μL T4 ligation buffer and 1μL T4 ligase
The mix was cooled to 16°C for 45min and then held at 4°C prior to transformation.
9/19: There were TMTC colonies on each of the plates. The Amp plates had satellite colonies, and the Cm plates had the fewest. The NEB ligations yield more colonies than the Takara kit.
mtrB PCR 9/18
Tried PCR again with primers that incorporate RBS and Platinum Pfx.
| w/ cells | w/ TOPO plasmid | ||||||
|---|---|---|---|---|---|---|---|
| 12x | 12x | ||||||
| Amp buffer | 5 | 60 | Amp buffer | 5 | 60 | ||
| 10mM dNTP | 1.5 | 18 | 10mM dNTP | 1.5 | 18 | ||
| 50 mM MgSO4 | 1 | 12 | 50 mM MgSO4 | 1 | 12 | ||
| Primer F | 0.75 | 9 | Primer F | 0.75 | 9 | ||
| Primer R | 0.75 | 9 | Primer R | 0.75 | 9 | ||
| Pfx | 0.75 | 9 | Pfx | 0.75 | 9 | ||
| Water | 40.25 | 483 | Water | 40 | 480 | ||
| DNA | 0.25 | 3 | |||||
| w/PCR enhancer | |||||||
| Amp buffer | 5 | 60 | Amp buffer | 5 | 60 | ||
| 10mM dNTP | 1.5 | 18 | 10mM dNTP | 1.5 | 18 | ||
| 50 mM MgSO4 | 1 | 12 | 50 mM MgSO4 | 1 | 12 | ||
| Primer F | 0.75 | 9 | Primer F | 0.75 | 9 | ||
| Primer R | 0.75 | 9 | Primer R | 0.75 | 9 | ||
| Pfx | 0.75 | 9 | Pfx | 0.75 | 9 | ||
| PCRx | 5 | 60 | Water | 35 | 420 | ||
| Water | 35.25 | 423 | PCRx | 5 | 60 | ||
| DNA | 0.25 | 3 | |||||
Rx: 2min @ 94°C → 35x[15s @ 94°C → 30s @ {55-61}°C → 2m30s @ 68°C] → 7m @ 68°C → ∞ @ 4°C
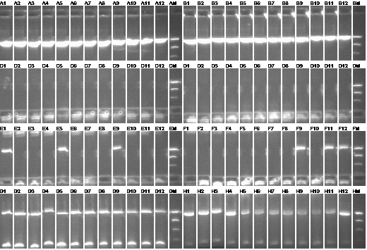
96 well e-gel: Colony PCR and (mtrB+RBS) PCR 09/19
All expected bands ~2kb+
Lanes 1-12: DNA +
Lanes 13-24: DNA -
Lanes 25-36: cells +
Lanes 37-48: cells -
Lanes 49-60: 1-12 (colony PCR)
Lanes 61-72: 13-24 (colony PCR)
Lanes 73-84: 25-36 (colony PCR)
Lanes 85-95: 37-47 (colony PCR)
Lane 96: positive control (colony PCR)
