Biomod/2012/UTokyo/UT-Komaba/Experiment/Lab Notes
<html>
<style type="text/css"> </style>
</html>
Glossary
Buffers
| TAE | Essential buffer for making origami, which contains TAE |
|---|---|
| Mg2+ | Essential for keeping the shape of origami |
| Smix | Buffer contains a lot of essential chemicals |
| DTT | Buffer which contains DTT |
| dTTP | Buffer which contains dTTP |
| BSA | Buffer which contains BSA |
| mQ | Pure water |
Enzymes
| NBI | Buffer which contains DNA nickase |
|---|---|
| Bst | Buffer which contains DNA polymerase |
| tt-RecJ | Buffer which contains DNA exonuclease |
DNAs
| M13 | Scaffold strand |
|---|---|
| VII | Strand for Dynamic system |
| XII | Strand for Dynamic system |
| DII | Strand for Dynamic system |
| NII | Strand for Dynamic system |
| inhV | Inhibitor to VII-autocatalisys |
| inhX | Inhibitor to XII-autocatalisys |
| inhQ | Inhibitor to QII-autocatalisys |
Templates
| CvII | Autocatalysis template for VII |
|---|---|
| CxII | Autocatalysis template for XII |
| V to inhX | Template which produces inhibitor to XII-autocatalisys from VII |
| V to inhQ | Template which produces inhibitor to QII-autocatalisys from VII |
| X to inhV | Template which produces inhibitor to VII-autocatalisys from XII |
| X to inhQ | Template which produces inhibitor to QII-autocatalisys from XII |
| Q to inhV | Template which produces inhibitor to VII-autocatalisys from QII |
| Q to inhX | Template which produces inhibitor to XII-autocatalisys from QII |
| D to V | Template which produces VII from DII |
| N to X | Template which produces XII from NII |
Lab Notes
We conducted a lot of experiments at Komaba Research Campus.
September 12th
DNA Origami
We made a solution of DNA origami. We annealed these tubes from 90°C to 20°C for 2800 seconds.
(μL)
| M13 | Staple Mix | TAE 10x | Mg2+ | mQ | Total Amount | |
|---|---|---|---|---|---|---|
| A | 3.00 | 7.20 | 1.80 | 2.25 | 3.75 | 20.00 |
| B | 3.00 | 3.60 | 1.80 | 2.25 | 7.35 | 20.00 |
| C | 3.00 | 10.80 | 1.80 | 2.25 | 0.15 | 20.00 |
September 13th
DNA Origami
We observed DNA origami which we made September 12th by AFM.
- AFM image of A
- AFM image of C
As you can see the picture above, the origami was not well structured. Therefore, we decided to do the same experiment in different conditions.
September 14th
DNA Origami
We made the DNA origami solution again. We annealed these tubes from 90°C to 20°C over 2800 seconds.
(μL)
| M13 | Staple Mix | Mg2+ | TAE | mQ | Total Amount |
|---|---|---|---|---|---|
| 1.66 | 2.16 | 2.50 | 2.00 | 11.68 | 20.00 |
We observed again, and the origami was successfully structured.
Bistable System
We did the first experiment on the bistable system. This time, we tried reaching the two stable states and didn't try switching. A and B were with NBI, the nickase. A and C included VII at the beginning, while B and D did XII. We kept these tubes at 42°C for 25 hours.
(μL)
| Smix 4x | DTT | BSA | CvII | CxII | X to inhV | V to inhX | tt-RecJ | Bst | NBI | VII | XII | mQ | Total Amount | |
|---|---|---|---|---|---|---|---|---|---|---|---|---|---|---|
| A | 4.00 | 0.20 | 0.20 | 0.30 | 0.10 | 0.40 | 0.40 | 0.30 | 0.16 | 0.20 | 0.50 | 0.00 | 13.24 | 20.00 |
| B | 4.00 | 0.20 | 0.20 | 0.30 | 0.10 | 0.40 | 0.40 | 0.30 | 0.16 | 0.20 | 0.00 | 0.50 | 13.24 | 20.00 |
| C | 4.00 | 0.20 | 0.20 | 0.30 | 0.10 | 0.40 | 0.40 | 0.30 | 0.16 | 0.00 | 0.50 | 0.00 | 13.44 | 20.00 |
| D | 4.00 | 0.20 | 0.20 | 0.30 | 0.10 | 0.40 | 0.40 | 0.30 | 0.16 | 0.00 | 0.00 | 0.50 | 13.44 | 20.00 |
The experiment was successfully done, and the opposite state of the initial one was observed in A and C. Therefore, we could conclude that NBI worked properly.
September 19th
DNA Origami
- Normal DNA Origami
We prepared two types of DNA origami solution. The purpose of the experiment was to compare the different result from the different concentration of the solutions. We annealed these tubes from 90°C to 20°C over 2800 seconds.
(μL)
| Staple Mix | M13 | TAE 10x | Mg2+ | mQ | Total Amount | |
|---|---|---|---|---|---|---|
| 10x | 8.00 | 3.33 | 2.00 | 0.25 | 6.42 | 20.00 |
| 15x | 12.00 | 5.00 | 2.00 | 0.25 | 0.75 | 20.00 |
- DNA Origami with Enzymes
We use enzymes in bistable system, therefore we made sure that the enzymes do not destroy the DNA origami. We put nickase, polymerase and exnuclease with DNA origami and left them in the PCR machine. The concentration of original DNA origami was 10x and 15x.
(μL)
| Bst | NBI | tt-RecJ | DTT | BSA | Smix | DNA origami | mQ | Total Amount | |
|---|---|---|---|---|---|---|---|---|---|
| DNA origami 10x | 0.20 | 0.80 | 0.30 | 0.20 | 0.20 | 5.00 | 10.00 | 3.30 | 20.00 |
| DNA origami 15x | 0.20 | 0.80 | 0.30 | 0.20 | 0.20 | 5.00 | 10.00 | 3.30 | 20.00 |
- DNA Origami with BSA
We were also worried that BSA prevents the imaging by AFM. Therefore, we prepared the following solution on September 20th. The concentration of original DNA origami was 10x and 15x.
(μL)
| DNA origami | Smix 4x | BSA | mQ | Total Amount | |
|---|---|---|---|---|---|
| DNA origami 10x | 2.00 | 5.00 | 2.00 | 11.00 | 20.00 |
| DNA origami 15x | 2.00 | 5.00 | 2.00 | 11.00 | 20.00 |
Bistable System
We wanted to know the best concentrations for the bistable system.
Two different DNA strands, "XII" and "VII", were used for the experiment.
We searched the best concentration of CvII and CxII separately.
CvII is the template for doubling V, and CxII is the one of X.
"X to inhV" is the template for making inhV DNA from X, and "V to inhX" is the one of V.
We change the concentration of CvII and CxII in order to find out their best concentrations.
We kept these tubes at 42°C for 25 hours.
- VII Experiment
(μL)
| Bst | NBI | tt-RecJ | DTT | BSA | Smix 4x | V to inhX | X to inhV | dTTP | VII | CvII | mQ | Total Amount | |
|---|---|---|---|---|---|---|---|---|---|---|---|---|---|
| 5x | 0.21 | 0.84 | 0.32 | 0.21 | 0.21 | 5.25 | 0.42 | 0.42 | 0.21 | 0.11 | 0.11 | 12.69 | 21.00 |
| 10x | 0.21 | 0.84 | 0.32 | 0.21 | 0.21 | 5.25 | 0.42 | 0.42 | 0.21 | 0.11 | 0.21 | 12.59 | 21.00 |
| 15x | 0.21 | 0.84 | 0.32 | 0.21 | 0.21 | 5.25 | 0.42 | 0.42 | 0.21 | 0.11 | 0.32 | 12.48 | 21.00 |
| 20x | 0.21 | 0.84 | 0.32 | 0.21 | 0.21 | 5.25 | 0.42 | 0.42 | 0.21 | 0.11 | 0.43 | 12.37 | 21.00 |
- XII Experiment
(μL)
| Bst | NBI | tt-RecJ | DTT | BSA | Smix 4x | V to inhX | X to inhV | dTTP | XII | CxII | mQ | Total Amount | |
|---|---|---|---|---|---|---|---|---|---|---|---|---|---|
| 5x | 0.21 | 0.84 | 0.32 | 0.21 | 0.21 | 5.25 | 0.42 | 0.42 | 0.21 | 0.11 | 0.11 | 12.69 | 21.00 |
| 10x | 0.21 | 0.84 | 0.32 | 0.21 | 0.21 | 5.25 | 0.42 | 0.42 | 0.21 | 0.11 | 0.21 | 12.59 | 21.00 |
| 15x | 0.21 | 0.84 | 0.32 | 0.21 | 0.21 | 5.25 | 0.42 | 0.42 | 0.21 | 0.11 | 0.32 | 12.48 | 21.00 |
| 20x | 0.21 | 0.84 | 0.32 | 0.21 | 0.21 | 5.25 | 0.42 | 0.42 | 0.21 | 0.11 | 0.43 | 12.37 | 21.00 |
When several hours passed after putting these tubes in the PCR machine, we injected XII 0.40μL in each VII tubes and VII 0.40μL in each XII tubes.
Then we kept these tubes at 42°C for some additional hours.
September 20th
DNA Origami
We observed three types of DNA origami which were made on September 19th. The three types of DNA origami is normal DNA origami, DNA origami with BSA and DNA origami with enzymes.
- Normal DNA Origami
We observed the origami by AFM, but the structures of the DNA origami were destroyed as you can see in the picture below.
- DNA Origami with BSA
We need BSA for the bistable sytem so that we had to make sure that we can see the DNA structure when there are BSA in the solution. Before we observed the origami with BSA by AFM, we rinsed 5μL of the origami liquid with 40μL of buffer for 4 times. Therefore, as you can see from the picture below, BSA did not disturb the observation of AFM, we can get the clear picture of DNA structure.
- DNA Origami with Enzymes
In the bistable system, we use three kinds of enzymes so that we had to make sure that the enzymes do not destroy the origami. As the result, we could see the DNA structure clearly, which proved that the enzymes do not destroy the DNA origami. Moreover, we observed the well-done origami structure in this experiment.
September 24th
Bistable System
We change the condition of the bistable experiment and put some tubes in PCR. The concentration of Bst and X to inhV were different from the same experiment of September 19th. We kept these tubes at 42°C for 10 hours.
- VII Experiment
(μL)
| Bst | NBI | tt-RecJ | dTTP | BSA | Smix 4x | V to inhX | X to inhV | dTTP | VII | CvII | mQ | Total Amount | |
|---|---|---|---|---|---|---|---|---|---|---|---|---|---|
| 5x | 0.17 | 0.84 | 0.32 | 0.21 | 0.21 | 5.25 | 0.42 | 0.32 | 0.21 | 0.11 | 0.11 | 12.83 | 21.00 |
| 10x | 0.17 | 0.84 | 0.32 | 0.21 | 0.21 | 5.25 | 0.42 | 0.32 | 0.21 | 0.11 | 0.21 | 12.73 | 21.00 |
| 15x | 0.17 | 0.84 | 0.32 | 0.21 | 0.21 | 5.25 | 0.42 | 0.32 | 0.21 | 0.11 | 0.32 | 12.62 | 21.00 |
| 20x | 0.17 | 0.84 | 0.32 | 0.21 | 0.21 | 5.25 | 0.42 | 0.32 | 0.21 | 0.11 | 0.43 | 12.51 | 21.00 |
- XII Experiment
(μL)
| Bst | NBI | tt-RecJ | DTT | BSA | Smix 4x | V to inhX | X to inhV | dTTP | XII | CxII | mQ | Total Amount | |
|---|---|---|---|---|---|---|---|---|---|---|---|---|---|
| 5x | 0.17 | 0.84 | 0.32 | 0.21 | 0.21 | 5.25 | 0.42 | 0.32 | 0.21 | 0.11 | 0.11 | 12.83 | 21.00 |
| 10x | 0.17 | 0.84 | 0.32 | 0.21 | 0.21 | 5.25 | 0.42 | 0.32 | 0.21 | 0.11 | 0.21 | 12.73 | 21.00 |
| 15x | 0.17 | 0.84 | 0.32 | 0.21 | 0.21 | 5.25 | 0.42 | 0.32 | 0.21 | 0.11 | 0.32 | 12.62 | 21.00 |
| 20x | 0.17 | 0.84 | 0.32 | 0.21 | 0.21 | 5.25 | 0.42 | 0.32 | 0.21 | 0.11 | 0.43 | 12.51 | 21.00 |
When several hours had passed since we put them in the PCR machine, we injected XII 0.40μL in each VII tubes and VII 0.40μL in each XII tubes.
Then we kept these tubes at 42°C as the bistable experiment we did before.
We could not observe the radical change of concentration which is necessary for the bistable system.
September 28th
Indirect Bistable System
We could not get a good result for the bistable system so we changed several parts of the system. We introduce two types of DNA, "NII" and "DII", and two types of templates, "N to X" and "D to V" in the system. We change the concentration of "N to X" and "D to V", which are always the same concentration. We also kept these tubes in 42°C for 10 hours.
- VII Experiment
(μL)
| Bst | NBI | tt-RecJ | DTT | BSA | Smix 4x | V to inhX | X to inhV | dTTP | VII | CxII | CvII | D to V | N to X | mQ | Total Amount | |
|---|---|---|---|---|---|---|---|---|---|---|---|---|---|---|---|---|
| 2.5nM | 0.17 | 0.84 | 0.32 | 0.21 | 0.21 | 5.25 | 0.42 | 0.32 | 0.21 | 0.11 | 0.11 | 0.42 | 0.05 | 0.05 | 12.20 | 21.00 |
| 5.0nM | 0.17 | 0.84 | 0.32 | 0.21 | 0.21 | 5.25 | 0.42 | 0.32 | 0.21 | 0.11 | 0.11 | 0.42 | 0.11 | 0.11 | 12.08 | 21.00 |
| 7.5nM | 0.17 | 0.84 | 0.32 | 0.21 | 0.21 | 5.25 | 0.42 | 0.32 | 0.21 | 0.11 | 0.11 | 0.42 | 0.16 | 0.16 | 11.98 | 21.00 |
| 10.0nM | 0.17 | 0.84 | 0.32 | 0.21 | 0.21 | 5.25 | 0.42 | 0.32 | 0.21 | 0.11 | 0.11 | 0.42 | 0.21 | 0.21 | 11.88 | 21.00 |
- XII Experiment
(μL)
| Bst | NBI | tt-RecJ | DTT | BSA | Smix 4x | V to inhX | X to inhV | dTTP | XII | CxII | CvII | D to V | N to X | mQ | Total Amount | |
|---|---|---|---|---|---|---|---|---|---|---|---|---|---|---|---|---|
| 2.5nM | 0.17 | 0.84 | 0.32 | 0.21 | 0.21 | 5.25 | 0.42 | 0.32 | 0.21 | 0.11 | 0.11 | 0.42 | 0.05 | 0.05 | 12.20 | 21.00 |
| 5.0nM | 0.17 | 0.84 | 0.32 | 0.21 | 0.21 | 5.25 | 0.42 | 0.32 | 0.21 | 0.11 | 0.11 | 0.42 | 0.11 | 0.11 | 12.08 | 21.00 |
| 7.5nM | 0.17 | 0.84 | 0.32 | 0.21 | 0.21 | 5.25 | 0.42 | 0.32 | 0.21 | 0.11 | 0.11 | 0.42 | 0.16 | 0.16 | 11.98 | 21.00 |
| 10.0nM | 0.17 | 0.84 | 0.32 | 0.21 | 0.21 | 5.25 | 0.42 | 0.32 | 0.21 | 0.11 | 0.11 | 0.42 | 0.21 | 0.21 | 11.88 | 21.00 |
When several hours had passed since we put these tubes in PCR, we put NII in tubes of VII and DII in that of XII so that the concentration of V or X might not change radically.
After putting DNAs, we kept them in PCR for the rest of hours.
We could not get good results because the inhibition of V to X was too strong. We decided to do the same experiment whose concentration of V to inhX is lowered.
October 1st
Indirect Bistable System
We conducted the same experiment as what we did in September 28th. We got enough information about the experiment of VII, so we only conducted that of VII. The purpose of the experiment is to find out the best condition of the experiment of XII. We changed the concentration of CvII and X to inhV and compared the results. We kept these tubes in 42°C for 10 hours.
- The Concentration of X to inhV: 10.00nM.
(μL)
| Bst | NBI | tt-RecJ | DTT | BSA | Smix 4x | V to inhX | X to inhv | dTTP | XII | CxII | CvII | D to V | N to X | mQ | Total Amount | |
|---|---|---|---|---|---|---|---|---|---|---|---|---|---|---|---|---|
| CvII: 20.00nM | 0.16 | 0.80 | 0.30 | 0.20 | 0.20 | 5.00 | 0.40 | 0.20 | 0.20 | 0.10 | 0.10 | 0.40 | 0.20 | 0.20 | 11.54 | 20.00 |
| CvII: 22.50nM | 0.16 | 0.80 | 0.30 | 0.20 | 0.20 | 5.00 | 0.40 | 0.20 | 0.20 | 0.10 | 0.10 | 0.45 | 0.20 | 0.20 | 11.49 | 20.00 |
| CvII: 25.00nM | 0.16 | 0.80 | 0.30 | 0.20 | 0.20 | 5.00 | 0.40 | 0.20 | 0.20 | 0.10 | 0.10 | 0.50 | 0.20 | 0.20 | 11.44 | 20.00 |
Injection: NII 0.6μL each
- The Concentration of X to inhV: 15.00nM
(μL)
| Bst | NBI | tt-RecJ | DTT | BSA | Smix 4x | V to inhX | X to inhv | dTTP | XII | CxII | CvII | D to V | N to X | mQ | Total Amount | |
|---|---|---|---|---|---|---|---|---|---|---|---|---|---|---|---|---|
| CvII: 20.00nM | 0.16 | 0.80 | 0.30 | 0.20 | 0.20 | 5.00 | 0.40 | 0.30 | 0.20 | 0.10 | 0.10 | 0.40 | 0.20 | 0.20 | 11.44 | 20.00 |
| CvII: 22.50nM | 0.16 | 0.80 | 0.30 | 0.20 | 0.20 | 5.00 | 0.40 | 0.30 | 0.20 | 0.10 | 0.10 | 0.45 | 0.20 | 0.20 | 11.39 | 20.00 |
| CvII: 25.00nM | 0.16 | 0.80 | 0.30 | 0.20 | 0.20 | 5.00 | 0.40 | 0.30 | 0.20 | 0.10 | 0.10 | 0.50 | 0.20 | 0.20 | 11.34 | 20.00 |
Injection: NII 0.6μL each
Although we conducted the experiment, the concentration of "D to V" and "N to X" was so high that we could not get the proper result.
Therefore, we decided to do the experiment whose concentration of the templates are lowered.
October 2nd
Indirect Bistable System
We lowered the concentratinons of D to V, and N to X. Today, we conducted experiments in order to find out the ideal concentration of "X to inhV". We kept these tubes in 42°C for 10 hours, and injected once each wells.
- VII Experiment
(μL)
| Bst | NBI | tt-RecJ | DTT | BSA | Smix 4x | V to inhX | X to inhV | dTTP | VII | CxII | CvII | D to V | N to X | mQ | Total Amount |
|---|---|---|---|---|---|---|---|---|---|---|---|---|---|---|---|
| 0.17 | 0.84 | 0.32 | 0.21 | 0.21 | 5.25 | 0.42 | 0.21 | 0.21 | 0.11 | 0.11 | 0.42 | 0.16 | 0.16 | 12.36 | 21.00 |
| 0.17 | 0.84 | 0.32 | 0.21 | 0.21 | 5.25 | 0.42 | 0.25 | 0.21 | 0.11 | 0.11 | 0.42 | 0.16 | 0.16 | 12.32 | 21.00 |
| 0.17 | 0.84 | 0.32 | 0.21 | 0.21 | 5.25 | 0.42 | 0.28 | 0.21 | 0.11 | 0.11 | 0.42 | 0.16 | 0.16 | 12.29 | 21.00 |
| 0.17 | 0.84 | 0.32 | 0.21 | 0.21 | 5.25 | 0.42 | 0.32 | 0.21 | 0.11 | 0.11 | 0.42 | 0.16 | 0.16 | 12.25 | 21.00 |
Injection: NII 0.6μL each
- XII Experiment
(μL)
| Bst | NBI | tt-RecJ | DTT | BSA | Smix 4x | V to inhX | X to inhv | dTTP | XII | CxII | CvII | D to V | N to X | mQ | Total Amount |
|---|---|---|---|---|---|---|---|---|---|---|---|---|---|---|---|
| 0.17 | 0.84 | 0.32 | 0.21 | 0.21 | 5.25 | 0.42 | 0.21 | 0.21 | 0.11 | 0.11 | 0.42 | 0.16 | 0.16 | 12.36 | 21.00 |
| 0.17 | 0.84 | 0.32 | 0.21 | 0.21 | 5.25 | 0.42 | 0.25 | 0.21 | 0.11 | 0.11 | 0.42 | 0.16 | 0.16 | 12.32 | 21.00 |
| 0.17 | 0.84 | 0.32 | 0.21 | 0.21 | 5.25 | 0.42 | 0.28 | 0.21 | 0.11 | 0.11 | 0.42 | 0.16 | 0.16 | 12.29 | 21.00 |
| 0.17 | 0.84 | 0.32 | 0.21 | 0.21 | 5.25 | 0.42 | 0.32 | 0.21 | 0.11 | 0.11 | 0.42 | 0.16 | 0.16 | 12.25 | 21.00 |
Injection: DII 0.6μL each
From the experiment, we find out that the tube which contain X to inhV show the radical change of concentration of VII and XII.
Therefore, the concentration of X to inhV would be introduced to the experiment of the bistable system which would be held after October 2nd.
Trioscillator System
To investigate the ideal condition of trioscillator system, we conducted experiments which checks three parts of this system. The cycle of the trioscillator canbe clockwise and anticlockwise so that we conducted the both experiment. All of the experiments below is the same cycle, X -> V -> Q. Inhmix contains V to inhX, X to inhQ and Q to inhV. We kept them in 42°C for 5000 minutes. Inhmix contained templates V to inhX, X to inhQ and Q to inhV.
(μL)
| Bst | NBI | tt-RecJ | DTT | BSA | Smix 4x | inhmix | dTTP | XII | CxII | mQ | Total Amount |
|---|---|---|---|---|---|---|---|---|---|---|---|
| 0.16 | 0.80 | 0.30 | 0.20 | 0.20 | 5.00 | 0.50 | 0.20 | 0.10 | 0.10 | 12.44 | 20.00 |
| 0.16 | 0.80 | 0.30 | 0.20 | 0.20 | 5.00 | 0.50 | 0.20 | 0.10 | 0.20 | 12.34 | 20.00 |
| 0.16 | 0.80 | 0.30 | 0.20 | 0.20 | 5.00 | 0.50 | 0.20 | 0.10 | 0.30 | 12.24 | 20.00 |
| 0.16 | 0.80 | 0.30 | 0.20 | 0.20 | 5.00 | 0.50 | 0.20 | 0.10 | 0.40 | 12.14 | 20.00 |
Injection: VII 0.80μL each
(μL)
| Bst | NBI | tt-RecJ | DTT | BSA | Smix 4x | inhmix | dTTP | VII | CvII | mQ | Total Amount |
|---|---|---|---|---|---|---|---|---|---|---|---|
| 0.16 | 0.80 | 0.30 | 0.20 | 0.20 | 5.00 | 0.50 | 0.20 | 0.10 | 0.10 | 12.44 | 20.00 |
| 0.16 | 0.80 | 0.30 | 0.20 | 0.20 | 5.00 | 0.50 | 0.20 | 0.10 | 0.20 | 12.34 | 20.00 |
| 0.16 | 0.80 | 0.30 | 0.20 | 0.20 | 5.00 | 0.50 | 0.20 | 0.10 | 0.30 | 12.24 | 20.00 |
| 0.16 | 0.80 | 0.30 | 0.20 | 0.20 | 5.00 | 0.50 | 0.20 | 0.10 | 0.40 | 12.14 | 20.00 |
Injection: QII 0.80μL each
(μL)
| Bst | NBI | tt-RecJ | DTT | BSA | Smix 4x | inhmix | dTTP | QII | CqII | mQ | Total Amount |
|---|---|---|---|---|---|---|---|---|---|---|---|
| 0.16 | 0.80 | 0.30 | 0.20 | 0.20 | 5.00 | 0.50 | 0.20 | 0.10 | 0.10 | 12.44 | 20.00 |
| 0.16 | 0.80 | 0.30 | 0.20 | 0.20 | 5.00 | 0.50 | 0.20 | 0.10 | 0.20 | 12.34 | 20.00 |
| 0.16 | 0.80 | 0.30 | 0.20 | 0.20 | 5.00 | 0.50 | 0.20 | 0.10 | 0.30 | 12.24 | 20.00 |
| 0.16 | 0.80 | 0.30 | 0.20 | 0.20 | 5.00 | 0.50 | 0.20 | 0.10 | 0.40 | 12.14 | 20.00 |
Injection: XII 0.80μL each
In the experiment, we could not find out the best concentration of CxII, CvII and CqII.
The concentration of XII, VII or QII did not change steeply so that we could not introduce the concentration to the trioscillator system.
October 3rd
Indirect Bistable System
In the experiment, we investigated the ideal temperature for the bistable system. We made two solutions, one starts from "X" and the other from "Y", and observed them at 6 different temperatures, 41.6, 42.5, 43.8, 45.6, 46.8 and 47.6°C. We kept these tubes in PCR for 40 hours.
(μL)
| Bst | NBI | tt-RecJ | DTT | BSA | Smix 4x | D to V | N to X | V to inhX | X to inhv | dTTP | XII | VII | CxII | CvII | mQ | Total Amount | |
|---|---|---|---|---|---|---|---|---|---|---|---|---|---|---|---|---|---|
| A | 0.16 | 0.80 | 0.30 | 0.20 | 0.20 | 5.00 | 0.15 | 0.15 | 0.40 | 0.30 | 0.20 | 0.10 | 0.00 | 0.10 | 0.40 | 10.34 | 20.00 |
| B | 0.16 | 0.80 | 0.30 | 0.20 | 0.20 | 5.00 | 1.50 | 0.15 | 0.40 | 0.30 | 0.20 | 0.00 | 0.10 | 0.10 | 0.40 | 10.34 | 20.00 |
Injection of A: XII 0.60μL
Injection of B: VII 0.60μL
In 41.6°C, the concentration of XII or VII change most radically.
It means that, in that condition, the concentration of VII decreased most steeply in the experiment of A, and that of XII decreased most steeply in the experiment of B.
The curb of the decrease became calmer and calmer when the liquid temperture went up, and, in 45.6, 46.8 and 47.6°C, there was no curb of the decrease.
Modified Origami
We design modified origami and annealed them for about an hour in PCR. On the surface of one origami, there are 15 hammerhead structure and 1 hairpin structure. Therefore, we order DNA which composes the structures and replace staple strands of normal origami with them. We drew three lines on the surface by the hammerhead structures, and one line consisted of 5 structures which have the same number of bases. The numbers of bases of the structures are 16, 18 and 20. We anneal them from 90°C to 20°C for 2800 seconds.
(μL)
| Modified Staple Mix | M13 | TAE 10x | Mg2+ | mQ | Total Amount | |
|---|---|---|---|---|---|---|
| 10x | 8.00 | 3.33 | 2.00 | 0.25 | 6.42 | 20.00 |
October 5th
Modified Origami
We made modified origami in October 3rd and keep them at the laboratory room temperture. We observed the modified origami by AFM and we get the clear picture of lines on the surface of the origami. The three lines on the surface shows the fact that the modified origami which have hammerhead structures was well-done. Also, the picture below proved that we can observe a hammerhead structure as a dot so that we can draw a picture on the origami surface.
October 11th
Trioscillator System
We tested the whole trioscillator system. To investigate the ideal condition, we conducted the experiment of both direction of inhibition (V-|X-|Q, V-|Q-|X) and searched the concentrations of CxII, CvII and CqII. We kept these tubes in 42°C for 10 hours.
- Inhibit Direction: V-|X-|Q
(μL)
| Bst | NBI | tt-RecJ | DTT | BSA | Smix 4x | inhmix | dTTP | XII | VII | QII | CxII | CvII | CqII | mQ | Total Amount |
|---|---|---|---|---|---|---|---|---|---|---|---|---|---|---|---|
| 0.16 | 0.80 | 0.30 | 0.20 | 0.20 | 5.00 | 0.40 | 0.10 | 0.01 | 0.01 | 0.10 | 0.50 | 0.40 | 0.50 | 11.82 | 20.00 |
| 0.16 | 0.80 | 0.30 | 0.20 | 0.20 | 5.00 | 0.40 | 0.10 | 0.01 | 0.01 | 0.10 | 0.50 | 0.40 | 1.00 | 11.82 | 20.00 |
| 0.16 | 0.80 | 0.30 | 0.20 | 0.20 | 5.00 | 0.40 | 0.10 | 0.01 | 0.01 | 0.10 | 0.50 | 0.40 | 1.50 | 11.82 | 20.00 |
| 0.16 | 0.80 | 0.30 | 0.20 | 0.20 | 5.00 | 0.40 | 0.10 | 0.01 | 0.01 | 0.10 | 0.50 | 0.40 | 2.00 | 11.82 | 20.00 |
| 0.16 | 0.80 | 0.30 | 0.20 | 0.20 | 5.00 | 0.40 | 0.10 | 0.01 | 0.01 | 0.10 | 1.00 | 0.40 | 0.50 | 11.32 | 20.00 |
| 0.16 | 0.80 | 0.30 | 0.20 | 0.20 | 5.00 | 0.40 | 0.10 | 0.01 | 0.01 | 0.10 | 1.00 | 0.40 | 1.00 | 11.32 | 20.00 |
| 0.16 | 0.80 | 0.30 | 0.20 | 0.20 | 5.00 | 0.40 | 0.10 | 0.01 | 0.01 | 0.10 | 1.00 | 0.40 | 1.50 | 11.32 | 20.00 |
| 0.16 | 0.80 | 0.30 | 0.20 | 0.20 | 5.00 | 0.40 | 0.10 | 0.01 | 0.01 | 0.10 | 1.00 | 0.40 | 2.00 | 11.32 | 20.00 |
| 0.16 | 0.80 | 0.30 | 0.20 | 0.20 | 5.00 | 0.40 | 0.10 | 0.01 | 0.01 | 0.10 | 1.50 | 0.40 | 0.50 | 10.82 | 20.00 |
| 0.16 | 0.80 | 0.30 | 0.20 | 0.20 | 5.00 | 0.40 | 0.10 | 0.01 | 0.01 | 0.10 | 1.50 | 0.40 | 1.00 | 10.82 | 20.00 |
| 0.16 | 0.80 | 0.30 | 0.20 | 0.20 | 5.00 | 0.40 | 0.10 | 0.01 | 0.01 | 0.10 | 1.50 | 0.40 | 1.50 | 10.82 | 20.00 |
| 0.16 | 0.80 | 0.30 | 0.20 | 0.20 | 5.00 | 0.40 | 0.10 | 0.01 | 0.01 | 0.10 | 1.50 | 0.40 | 2.00 | 10.82 | 20.00 |
| 0.16 | 0.80 | 0.30 | 0.20 | 0.20 | 5.00 | 0.40 | 0.10 | 0.01 | 0.01 | 0.10 | 2.00 | 0.40 | 0.50 | 10.32 | 20.00 |
| 0.16 | 0.80 | 0.30 | 0.20 | 0.20 | 5.00 | 0.40 | 0.10 | 0.01 | 0.01 | 0.10 | 2.00 | 0.40 | 1.00 | 10.32 | 20.00 |
| 0.16 | 0.80 | 0.30 | 0.20 | 0.20 | 5.00 | 0.40 | 0.10 | 0.01 | 0.01 | 0.10 | 2.00 | 0.40 | 1.50 | 10.32 | 20.00 |
| 0.16 | 0.80 | 0.30 | 0.20 | 0.20 | 5.00 | 0.40 | 0.10 | 0.01 | 0.01 | 0.10 | 2.00 | 0.40 | 2.00 | 10.32 | 20.00 |
Inhmix contained templates V to inhX, X to inhQ and Q to inhV.
- Inhibit Direction: V-|Q-|X
(μL)
| Bst | NBI | tt-RecJ | DTT | BSA | Smix 4x | inhmix | dTTP | XII | VII | QII | CxII | CvII | CqII | mQ | Total Amount |
|---|---|---|---|---|---|---|---|---|---|---|---|---|---|---|---|
| 0.16 | 0.80 | 0.30 | 0.20 | 0.20 | 5.0 | 0.40 | 0.10 | 0.011 | 0.011 | 0.10 | 0.10 | 0.50 | 0.50 | 12.12 | 20 |
| 0.16 | 0.80 | 0.30 | 0.20 | 0.20 | 5.0 | 0.40 | 0.10 | 0.011 | 0.011 | 0.10 | 0.10 | 0.50 | 1.0 | 12.12 | 20 |
| 0.16 | 0.80 | 0.30 | 0.20 | 0.20 | 5.0 | 0.40 | 0.10 | 0.011 | 0.011 | 0.10 | 0.10 | 0.50 | 1.50 | 12.12 | 20 |
| 0.16 | 0.80 | 0.30 | 0.20 | 0.20 | 5.0 | 0.40 | 0.10 | 0.011 | 0.011 | 0.10 | 0.10 | 0.50 | 2.0 | 12.12 | 20 |
| 0.16 | 0.80 | 0.30 | 0.20 | 0.20 | 5.0 | 0.40 | 0.10 | 0.011 | 0.011 | 0.10 | 0.10 | 1.0 | 0.5 | 11.62 | 20 |
| 0.16 | 0.80 | 0.30 | 0.20 | 0.20 | 5.0 | 0.40 | 0.10 | 0.011 | 0.011 | 0.10 | 0.10 | 1.0 | 1.0 | 11.62 | 20 |
| 0.16 | 0.80 | 0.30 | 0.20 | 0.20 | 5.0 | 0.40 | 0.10 | 0.011 | 0.011 | 0.10 | 0.10 | 1.0 | 1.5 | 11.62 | 20 |
| 0.16 | 0.80 | 0.30 | 0.20 | 0.20 | 5.0 | 0.40 | 0.10 | 0.011 | 0.011 | 0.10 | 0.10 | 1.0 | 2.0 | 11.62 | 20 |
| 0.16 | 0.80 | 0.30 | 0.20 | 0.20 | 5.0 | 0.40 | 0.10 | 0.011 | 0.011 | 0.10 | 0.10 | 1.50 | 0.50 | 11.12 | 20 |
| 0.16 | 0.80 | 0.30 | 0.20 | 0.20 | 5.0 | 0.40 | 0.10 | 0.011 | 0.011 | 0.10 | 0.10 | 1.50 | 1.0 | 11.12 | 20 |
| 0.16 | 0.80 | 0.30 | 0.20 | 0.20 | 5.0 | 0.40 | 0.10 | 0.011 | 0.011 | 0.10 | 0.10 | 1.50 | 1.50 | 11.12 | 20 |
| 0.16 | 0.80 | 0.30 | 0.20 | 0.20 | 5.0 | 0.40 | 0.10 | 0.011 | 0.011 | 0.10 | 0.10 | 1.50 | 2.0 | 11.12 | 20 |
| 0.16 | 0.80 | 0.30 | 0.20 | 0.20 | 5.0 | 0.40 | 0.10 | 0.011 | 0.011 | 0.10 | 0.10 | 2.0 | 0.5 | 10.62 | 20 |
| 0.16 | 0.80 | 0.30 | 0.20 | 0.20 | 5.0 | 0.40 | 0.10 | 0.011 | 0.011 | 0.10 | 0.10 | 2.0 | 1.0 | 10.62 | 20 |
| 0.16 | 0.80 | 0.30 | 0.20 | 0.20 | 5.0 | 0.40 | 0.10 | 0.011 | 0.011 | 0.10 | 0.10 | 2.0 | 1.5 | 10.62 | 20 |
| 0.16 | 0.80 | 0.30 | 0.20 | 0.20 | 5.0 | 0.40 | 0.10 | 0.011 | 0.011 | 0.10 | 0.10 | 2.0 | 2.0 | 10.62 | 20 |
Inhmix contains templates V to inhQ, Q to inhX and X to inhV.
In the experiment, we found out the good condition of the experiment of V-|X-|Q.
However, the result from that of V-|Q-|X was not accurate enough to introduce to the traioscillator system.
Therefore, we decided to do the experiment of V-|Q-|X again.
October 12th
Trioscillator system
The purpose of the experiment is to find out the best condition for the experiment of inhibition V-|Q-|X. We kept them in 42°C for 40 hours.
- Inhibit Direction: V-|X-|Q
(μL)
| Bst | NBI | tt-RecJ | DTT | BSA | Smix 4x | inhmix | dTTP | XII | VII | QII | CxII | CvII | CqII | mQ | Total Amount |
|---|---|---|---|---|---|---|---|---|---|---|---|---|---|---|---|
| 0.16 | 0.80 | 0.30 | 0.20 | 0.20 | 5.00 | 0.40 | 0.10 | 0.01 | 0.01 | 0.10 | 0.50 | 0.40 | 0.50 | 11.32 | 20.00 |
| 0.16 | 0.80 | 0.30 | 0.20 | 0.20 | 5.00 | 0.40 | 0.10 | 0.01 | 0.01 | 0.10 | 0.50 | 0.40 | 1.00 | 10.82 | 20.00 |
| 0.16 | 0.80 | 0.30 | 0.20 | 0.20 | 5.00 | 0.40 | 0.10 | 0.01 | 0.01 | 0.10 | 0.50 | 0.40 | 1.50 | 10.32 | 20.00 |
| 0.16 | 0.80 | 0.30 | 0.20 | 0.20 | 5.00 | 0.40 | 0.10 | 0.01 | 0.01 | 0.10 | 0.50 | 0.40 | 2.00 | 9.82 | 20.00 |
| 0.16 | 0.80 | 0.30 | 0.20 | 0.20 | 5.00 | 0.40 | 0.10 | 0.01 | 0.01 | 0.10 | 1.00 | 0.40 | 0.50 | 10.82 | 20.00 |
| 0.16 | 0.80 | 0.30 | 0.20 | 0.20 | 5.00 | 0.40 | 0.10 | 0.01 | 0.01 | 0.10 | 1.00 | 0.40 | 1.00 | 10.32 | 20.00 |
| 0.16 | 0.80 | 0.30 | 0.20 | 0.20 | 5.00 | 0.40 | 0.10 | 0.01 | 0.01 | 0.10 | 1.00 | 0.40 | 1.50 | 9.82 | 20.00 |
| 0.16 | 0.80 | 0.30 | 0.20 | 0.20 | 5.00 | 0.40 | 0.10 | 0.01 | 0.01 | 0.10 | 1.00 | 0.40 | 2.00 | 9.32 | 20.00 |
As the result, we found out that 0.50μL of CxII was too small, but 1,00μL of that was too big.
We decided to search the best concentration of CxII between 0.50μL and 1.00μL.
October 18th
Trioscillator system
According to the 10/18 experiment, [CxII] = 25nM is too low and [CxII] = 50nM is too high. So today we investigated the best concentration of CxII.
- Inhibit Direction: V-|X-|Q
(μL)
| Bst | NBI | tt-RecJ | DTT | BSA | Smix 4x | inhmix | dTTP | XII | VII | QII | CxII | CvII | CqII | mQ | Total Amount |
|---|---|---|---|---|---|---|---|---|---|---|---|---|---|---|---|
| 0.16 | 0.80 | 0.30 | 0.20 | 0.20 | 5.00 | 0.40 | 0.10 | 0.011 | 0.011 | 0.10 | 0.50 | 0.40 | 1.50 | 10.32 | 20.00 |
| 0.16 | 0.80 | 0.30 | 0.20 | 0.20 | 5.00 | 0.40 | 0.10 | 0.011 | 0.011 | 0.10 | 0.65 | 0.40 | 1.50 | 10.17 | 20.00 |
| 0.16 | 0.80 | 0.30 | 0.20 | 0.20 | 5.00 | 0.40 | 0.10 | 0.011 | 0.011 | 0.10 | 0.80 | 0.40 | 1.50 | 10.02 | 20.00 |
| 0.16 | 0.80 | 0.30 | 0.20 | 0.20 | 5.00 | 0.40 | 0.10 | 0.011 | 0.011 | 0.10 | 0.95 | 0.40 | 1.50 | 9.87 | 20.00 |
| 0.16 | 0.80 | 0.30 | 0.20 | 0.20 | 5.00 | 0.40 | 0.10 | 0.011 | 0.011 | 0.10 | 0.50 | 0.40 | 2.00 | 9.82 | 20.00 |
| 0.16 | 0.80 | 0.30 | 0.20 | 0.20 | 5.00 | 0.40 | 0.10 | 0.011 | 0.011 | 0.10 | 0.65 | 0.40 | 2.00 | 9.67 | 20.00 |
| 0.16 | 0.80 | 0.30 | 0.20 | 0.20 | 5.00 | 0.40 | 0.10 | 0.011 | 0.011 | 0.10 | 0.80 | 0.40 | 2.00 | 9.52 | 20.00 |
| 0.16 | 0.80 | 0.30 | 0.20 | 0.20 | 5.00 | 0.40 | 0.10 | 0.011 | 0.011 | 0.10 | 0.95 | 0.40 | 2.00 | 9.37 | 20.00 |
October 19th
Trioscillator System
The purpose of this experiment is to find the best concentration of NBI because we got new NBI. We use trioscillator system and observe which tube shows the most radical change of the concentration.
(μL)
| Bst | NBI | tt-RecJ | DTT | BSA | Smix 4x | inhmix | dTTP | XII | VII | QII | CxII | CvII | CqII | mQ | Total Amount |
|---|---|---|---|---|---|---|---|---|---|---|---|---|---|---|---|
| 0.080 | 0.025 | 0.15 | 0.10 | 0.10 | 2.50 | 0.20 | 0.050 | 0.0056 | 0.0056 | 0.050 | 0.075 | 0.20 | 0.075 | 6.38 | 10.000 |
| 0.080 | 0.050 | 0.15 | 0.10 | 0.10 | 2.50 | 0.20 | 0.050 | 0.0056 | 0.0056 | 0.050 | 0.075 | 0.20 | 0.075 | 6.36 | 10.000 |
| 0.080 | 0.075 | 0.15 | 0.10 | 0.10 | 2.50 | 0.20 | 0.050 | 0.0056 | 0.0056 | 0.050 | 0.075 | 0.20 | 0.075 | 6.33 | 10.000 |
| 0.080 | 0.100 | 0.15 | 0.10 | 0.10 | 2.50 | 0.20 | 0.050 | 0.0056 | 0.0056 | 0.050 | 0.075 | 0.20 | 0.075 | 6.31 | 10.000 |
| 0.080 | 0.125 | 0.15 | 0.10 | 0.10 | 2.50 | 0.20 | 0.050 | 0.0056 | 0.0056 | 0.050 | 0.075 | 0.20 | 0.075 | 6.28 | 10.000 |
| 0.080 | 0.150 | 0.15 | 0.10 | 0.10 | 2.50 | 0.20 | 0.050 | 0.0056 | 0.0056 | 0.050 | 0.075 | 0.20 | 0.075 | 6.26 | 10.000 |
| 0.080 | 0.175 | 0.15 | 0.10 | 0.10 | 2.50 | 0.20 | 0.050 | 0.0056 | 0.0056 | 0.050 | 0.075 | 0.20 | 0.075 | 6.23 | 10.000 |
| 0.080 | 0.200 | 0.15 | 0.10 | 0.10 | 2.50 | 0.20 | 0.050 | 0.0056 | 0.0056 | 0.050 | 0.075 | 0.20 | 0.075 | 6.21 | 10.000 |
| 0.080 | 0.225 | 0.15 | 0.10 | 0.10 | 2.50 | 0.20 | 0.050 | 0.0056 | 0.0056 | 0.050 | 0.075 | 0.20 | 0.075 | 6.18 | 10.000 |
| 0.080 | 0.250 | 0.15 | 0.10 | 0.10 | 2.50 | 0.20 | 0.050 | 0.0056 | 0.0056 | 0.050 | 0.075 | 0.20 | 0.075 | 6.16 | 10.000 |
As a result, lower concentration of NBI seems to be good. That is because, if there are a lot of NBI, inhibition works too much, and the reaction network does not oscillate.
October 20th
DNA Tablet
We got the modified staples, so we made the staple mix for the main body of DNA tablet and tried observing it. We annealed them from 90°C to 20°C for 2800 seconds. In this experiment, we did not put cover DNA for hammerhead structures so that we might not observe pictures on the surface.
(μL)
| Staple Mix | M13 | Mg | TAE | mQ | |
|---|---|---|---|---|---|
| 10x | 8.00 | 3.33 | 0.25 | 1.00 | 6.42 |
| 15x | 12.00 | 5.00 | 0.25 | 2.00 | 0.75 |
Staple Mix : 1μL of each staples and 184μL of TE
However, the DNA tablet wasn't observed clearly.
October 22nd
DNA Tablet
We made modified origami in September 20th, but the origami was not structured. Therefore, we carefully made the modified staple mix again.
October 23rd
DNA Tablet
We made the modified origami again. The concentration of M13 changed so that we put it a little bit more than before. We annealed these tubes from 90°C to 20°C for 2800 minutes.
(μL)
| Staple Mix | M13(42nM) | Mg | TAE | mQ | Total Amount | |
|---|---|---|---|---|---|---|
| 10x | 8.00 | 4.80 | 0.25 | 2.00 | 4.95 | 20.00 |
| 5x | 4.00 | 2.40 | 0.25 | 2.00 | 11.35 | 20.00 |
October 24th
DNA Tablet
We observed the tablet by AFM at the Komaba Campus. However, we could not get good pictures of the tablets from any tubes. From the pictures, the tablet seemed to not be well structured and partly collapsed.
October 25th
Modified Origami
The purpose of the experiment is to find out the reason why we could not observe the tablet by AFM in October 24th. To make sure whether we could not observe it because of AFM or not, we made modified origami which we succeeded in October 3rd. We made the modified origami in the same condition as that in October 3rd.
(μL)
| Staple Mix | M13(42nM) | Mg | TAE | mQ | Total Amount | |
|---|---|---|---|---|---|---|
| 10x | 8.00 | 4.80 | 0.25 | 2.00 | 4.95 | 20.00 |
DNA Tablet
Also, we prepard new staple mix of DNA tablet and made the tablet from staple mix we served in October 20th and the tablet from staple mix we served in October 25th. Because the modified origami succeeded when we put them in room temperature, we decided to keep the both tablets at the room temperature, about 20°C. Of course, there is possibility that we made some mistakes while making staple mix in October 20th so that the tablet did not structured, we kept one tube of the tablet made from staple mix in October 25th at 4°C. The purpose of the experiment is to observe the completely structured DNA tablet. We annealed them from 90°C to 20°C for 2800 seconds.
- Staple Mix Made in October 20th
(μL)
| Staple Mix | M13(42nM) | Mg | TAE | mQ | Total Amount | |
|---|---|---|---|---|---|---|
| 10x | 8.00 | 4.80 | 0.25 | 2.00 | 4.95 | 20.00 |
After the annealing, we kept this tube at the room temperature.
- Staple Mix Made in October 25th
・The Keeping Temperature: 4°C
(μL)
| Staple Mix | M13(42nM) | Mg | TAE | mQ | Total Amount | |
|---|---|---|---|---|---|---|
| 10x | 8.00 | 4.80 | 0.25 | 2.00 | 4.95 | 20.00 |
After the annealing, we kept this tube at 4°C.
・The Keeping Tenperature: The Room Tenperature
(μL)
| Staple Mix | M13(42nM) | Mg | TAE | mQ | Total Amount | |
|---|---|---|---|---|---|---|
| 10x | 20.00 | 12.00 | 0.63 | 5.00 | 23.37 | 50.00 |
After the annealing, we kept this tube at the room temperature.
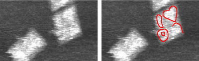
October 26th
DNA Tablet
We observed the DNA tablet which was made from staple mix served on October 25th and kept it at room temperature. We could clearly observe the main body of the DNA tablet.
After observing the main body of the tablet, we put cover DNA so that the body shows two pictures, depending on which cover DNA we put.
We could observe the sentence "I♡DNA" and the character, Tablet Boy, on the surface of the tablet. Therefore, we could make sure that the tablet shows two pictures, and which picture it shows depends on what cover DNA we put on its surface.

