Biomod/2011/Harvard/HarvarDNAnos:Data&Output
Evan's Lab Notebook Image Repository
Box Container Design
2011-06-08
Evan's Denmark-like boxwithlid (single hinge)
- CanDo fluctuations video: Media:Boxwithlidcando.avi
- caDNAno JSON file: Media:Boxwithlid.json
- Via Tom's idea
- Will need more than one hinge I think, but not sure how to do that in cadnano without making inner loop
2011-06-14
CanDo result of Evan's boxwithlid with a double hinge: Media:Boxwithliddoublehinge.avi
- Looks much better than with single hinge
- See my lab notebook entry from today for more information and source files
2011-06-17
Edited .json caDNAno file of boxwithlid_parlockmechanism and Excel file of staples for box using azobenzene sequence (F_n) lock:
NUPACK analysis of the "lock" F_n+; F_n+ with the minimal "box"; and F_n+ with the "box" and the "key" F_n+*:
2011-07-01
Scan of gel with 1000 bp ladder, M13mp18 scaffold, and folded origami Boxwithlid without lock staples
- grey box indicates section of gel that was extracted for origami purification
2011-07-05
AFM images taken on 2011-07-01 by Ralf of folded origami Boxwithlid without lock staples (purified)
- looks like a box with a lid, but the "lid" could just be an scanning artifact
2011-07-11
Gel Scan of 2nd Boxwithlid Folding (see lane to the very right)
- 72 hour folding only
2011-07-12
Gel Scan of All of 2nd Boxwithlid Folding
2011-07-18
Gel Scan of 3rd Boxwithlid Folding
2011-07-19
TEM of Bottom Band in 18 mM MgCl2 Folding of Box 3 - unknown structures
Nanoparticle Chain
2011-06-23
PAGE Gel of Handles+Ultramer Annealing Ladder
- 100 V, 10% TBE, 45 minutes
2011-06-24
Second Attempt at PAGE Gel of Handles+Ultramer Annealing Ladder
- 100 V, 10% TBE, 2 hours
- still not enough separation, but clearly an upward trend indicating more and more handles attached to ultramer
- unclear what the white horizontal blotch near the bottom is; perhaps quenching due to too high concentration of SYBR-Gold because a lot of excess staples
PAGE Gel of Ultramer + All Nine Handles
- 100 V, 4 hours
- enough separation for extraction of top band, but should not have used SYBR-Gold
2011-06-28
PAGE Gel of Ultramer + All Nine Handles
- 100 V, 4 hours
- SYBR-Gold that was used to stain gel is faulty
2011-06-29
Overlay of Photo of Post-extraction Gel On Top of Gel Scan of Ultramer + Nine Handles
2011-07-14
 TEM Image of Possible Nanoparticle Chains - Unstained Grid
TEM Image of Possible Nanoparticle Chains - Unstained Grid
 TEM Image of Possible Nanoparticle Chains - Stained Grid
TEM Image of Possible Nanoparticle Chains - Stained Grid
 TEM Image of Our Homemade 5 nm Gold Nanoparticles
TEM Image of Our Homemade 5 nm Gold Nanoparticles
Opening/Solubilization Schemes
Strand Displacement Locks (Method Inspired by Dave)
2011-07-27
Forming Strand Displacement Staple:Lock:Staple Conjugates
- 10% TBE PAGE Gel, SYBR-Gold
2011-07-28
2nd Attempt at the 2011-07-27 Gel
2011-07-29
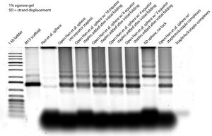
Dave's locks did not seem to work, nor did adding a select few of the equator staples
- 1% agarose gel, 2.5 hours, 80 V
Photocleavable Spacers
2011-07-25
Photocleavage Test 1: Using two strands with internal photocleavable spacers, directly from manufacturer-shipped tubes
- 10% TBE PAGE gel, 15 minute UV exposure for "cleaved" strands
Error creating thumbnail: An unknown error occurred. Error creating thumbnail: An unknown error occurred.
Photocleavage Test 2: Using gel-purified uncleaved strands from Photocleavage Test 1
- 10% TBE PAGE gel, 1 hour UV exposure for "cleaved" strands
Minimal Box Test of Azobenzene-like F_n+ Lock and F_n+* Key
2011-06-27
 First PAGE Gel (Ladder, Minbox, Minbox + Lock, Minbox + Lock + Key, Ladder)
First PAGE Gel (Ladder, Minbox, Minbox + Lock, Minbox + Lock + Key, Ladder)
- ladder spilled into adjacent lanes
2011-06-29
Third PAGE Gel (Ladder, Minbox, Minbox + Lock, Minbox + Lock + Key)
2011-06-30
 Successful minimal box experiment PAGE gel!
Successful minimal box experiment PAGE gel!
- shows locking and unlocking of box via strand displacement






















