File:Crystal Violet Staining ES.png: Difference between revisions

From OpenWetWare
Jump to navigationJump to search
Apomatix (talk | contribs)
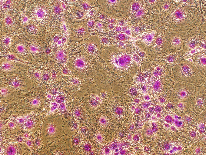
ES cell colonies grown over feeder cells visualized with 40X objective after crystal violet staining.
(No difference)

Revision as of 11:58, 22 August 2008

ES cell colonies grown over feeder cells visualized with 40X objective after crystal violet staining.

File history

Click on a date/time to view the file as it appeared at that time.

Date/TimeThumbnailDimensionsUserComment
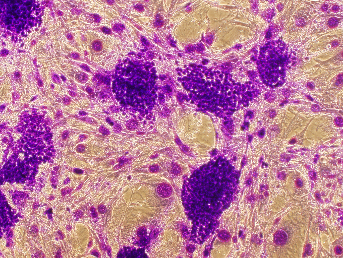
current11:59, 22 August 2008Thumbnail for version as of 11:59, 22 August 2008680 × 512 (860 KB)Apomatix (talk | contribs)Crystal violet-stained ES cells grown over feeder cells imaged with 40X objective.
11:58, 22 August 2008Thumbnail for version as of 11:58, 22 August 2008680 × 512 (911 KB)Apomatix (talk | contribs)ES cell colonies grown over feeder cells visualized with 40X objective after crystal violet staining.

The following page uses this file:

Metadata