Biomod/2013/Aarhus/Results And Discussion/sisiRNA: Difference between revisions
| Line 84: | Line 84: | ||
==='''Luciferase assay'''=== | ==='''Luciferase assay'''=== | ||
The cells that were not used in the [[Biomod/2013/Aarhus/Materials_And_Methods/Methods#Cell_viability_.28MTT.29_assay|MTT assay]] were lysed and luciferase activity was measured after addition of the luciferin substrate. The averages of the measured luminescence signals for each concentration of the different constructs were normalized to the average of the untreated controls and corrected for the cell viability. The values of the half maximal inhibitory concentration (IC<sub>50</sub>), i.e. the concentration of the construct where half the luciferase activity is inhibited, were determined for each construct. | The cells that were not used in the [[Biomod/2013/Aarhus/Materials_And_Methods/Methods#Cell_viability_.28MTT.29_assay|MTT assay]] were lysed and luciferase activity was measured after addition of the luciferin substrate. The averages of the measured luminescence signals for each concentration of the different constructs were normalized to the average of the untreated controls and corrected for the cell viability. The values of the half maximal inhibitory concentration (IC<sub>50</sub>), i.e. the concentration of the construct where half the luciferase activity is inhibited, were determined for each construct. | ||
From the cell viability corrected knockdown measurements shown in fig. S1 in [[Biomod/2013/Aarhus/Supplementary/Supplementary_Data#Luciferase_knockdown_with_all_singly_modified_duplexes|supplementary data]], significant knockdown is seen as a decrease in relative luciferase activity with all singly modified duplexes. This shows that conjugating large molecules to the 5’ end of the passenger strand of the non-segmented strand (W181), and both segments of the sisiRNA strand (W004 and W179) do not interfere with the incorporation of the guide strand into RISC and the following silencing. When comparing the knockdown using unmodified sisiRNA and unmodified, non-segmented siRNA, the sisiRNA appears to yield a better silencing in these experiments. However, when modifying this strand, the silencing effeciency is increased to the same level as that of the sisiRNA samples (see fig. 36 and table | From the cell viability corrected knockdown measurements shown in fig. S1 in [[Biomod/2013/Aarhus/Supplementary/Supplementary_Data#Luciferase_knockdown_with_all_singly_modified_duplexes|supplementary data]], significant knockdown is seen as a decrease in relative luciferase activity with all singly modified duplexes. This shows that conjugating large molecules to the 5’ end of the passenger strand of the non-segmented strand (W181), and both segments of the sisiRNA strand (W004 and W179) do not interfere with the incorporation of the guide strand into RISC and the following silencing. When comparing the knockdown using unmodified sisiRNA and unmodified, non-segmented siRNA, the sisiRNA appears to yield a better silencing in these experiments. However, when modifying this strand, the silencing effeciency is increased to the same level as that of the sisiRNA samples (see fig. 36 and table S1 in [[Biomod/2013/Aarhus/Supplementary/Supplementary_Data#Luciferase_knockdown_with_all_singly_modified_duplexes|supplementary data]]). | ||
Revision as of 13:28, 25 October 2013
<html> <style> /* ul.menu li.</html>Introduction<html> a {
color: cyan;
}
- /
- toc {
display: none; }
- mytoc {
background: none; width: 200px; }
.toc { border: 0px solid; }
- toc ul ul,.toc ul ul {
margin: 0 0 0 1em; }
table.toc { background-color: #f0f4f4; }
- mytoc a,#mytoc a:visited {
font-size: normal; color: #222222; }
- mytoc a:hover {
font-color: #009ee0; /* text-decoration: underline; */ }
- wiki-toc {
width: 200px; margin-top: 6px; float: left; }
- wiki-body {
margin-left: 200px; padding-left: 12px; padding-right: 35px; }
- toc #toctitle,.toc #toctitle,#toc .toctitle,.toc .toctitle {
text-align: left; }
- toc h2,.toc h2 {
font-weight: normal; font-size: 17px; }
/*
- wiki-contents A {
color: #00aeef; }
- wiki-contents A:HOVER {
color: #00aeef; }
- /
- toctitle span {
display: none; }
/*
- wiki-body p,#wiki-body li,#wiki-body dd,div.thumbcaption {
font-size: medium; }
- /
/* required to avoid jumping */
- tocScrolWrapper {
/* left: 450px; */ position: absolute; /* margin-left: 35px; width: 280px; */ }
- tocScrol {
position: absolute; top: 0; /* just used to show how to include the margin in the effect */ /*margin-top: 20px; */ /* border-top: 1px solid purple; */ /*padding-top: 19px;*/ }
- tocScrol.fixed {
position: fixed; top: 0; }
- editPageTxt {
text-align: left; padding-left: 15px; }
- editPageTxt P {
clear: both; }
- toPageTop {
float: left; position: relative; top: 18px; left: 13px; color: #d13f31; } </style>
<script type="text/javascript"> $(document).ready(function() { var parentTable = $("#toc").parent(); $('#mytoc').append($("#toc").first());
$('#mytoc').find("#toc").attr("id", ""); parentTable.closest('table').remove(); });
$(document).ready( function() { var top = $('#tocScrol').offset().top - parseFloat($('#tocScrol').css('marginTop').replace( /auto/, 0)); var nav = $('#tocScrol'); var max = $('#indexing').offset().top - nav.height();
$(window).scroll(function(event) { // what the y position of the scroll is var y = $(this).scrollTop();
if (y > top) { // && signs are html decoded thus this construction if (y >= max) { nav.removeClass('fixed'); nav.css({ position : 'absolute', top : max - top }); } else { nav.addClass('fixed'); nav.removeAttr('style'); } } else { nav.removeClass('fixed'); nav.removeAttr('style'); } }); }); </script> <html> <html>
<a id="toPageTop" href="#">▲</a>
[<a href="http://openwetware.org/index.php?title=Biomod/2013/Aarhus/</html>Introduction<html>&action=edit">edit this page</a>]
</html>
Introduction to sisiRNA and cell penetrating peptides
This part of the project deals with the conjugation of small internally segmented RNAs (sisiRNAs) to cell penetrating peptides (CPPs) and the subsequent assays of their activity. sisiRNA is a newly developed variation of the better-known siRNA which is a short, double stranded RNA molecules that is capable of inducing specific gene silencing through the RNA interference (RNAi) pathway. The sisiRNA design contains three strands, an intact guide strand and a passenger strand that consists of two shorter strands, 10 and 12 nt long. Due to the nick in the passenger strand, only the guide strand of this construct can be incorporated into the enzymatically active component of the RNAi pathway (the RISC complex), thereby greatly minimizing off-target effects. To increase the serum stability and thereby the silencing efficiency of the sisiRNA, DNA bases and locked nucleic acids (LNAs) have been inserted into the strands, thereby making it suitable for in vivo use.[1]
Furthermore the design includes a short strand connected to the 3’ end of the nicked passenger strand through a disulfide bond which can be used to anneal the sisiRNA to a staple strand of the DNA origami. The disulfide bond can be reduced inside the reductive cytoplasmatic environment of the cell, thereby releasing the sisiRNA from its carrier.

A major obstacle for in vivo use of siRNAs or sisiRNAs is their lack of ability to cross cell membranes. We address this problem by conjugating the sisiRNAs to cell penetrating peptides (CPPs). CPPs in general are 30 or less residues long peptides, that have the ability to traverse cell membranes either by non-specific electrostatic interactions or through endocytosis-dependant pathways. [2]
For the CPP conjugations in this project, the peptides melittin and GALA were tested. Melittin is a 26 amino acid (aa) peptide, found in the venom of the European honeybee Apis mellifera, and exhibits a high degree of hemolytic activity. The peptide is mostly hydrophobic, but contains a basic C-terminal region consisting of the residues Lys-Arg-Lys-Arg. On interaction with the cell membrane, or at elevated pH, the peptide is thought to fold into an amphipatic α-helix that can cross the lipid bilayer of the membrane. [3]
The peptide GALA is a 30 aa synthetic peptide that was designed to examine how viral fusion proteins interact with cell membranes. GALA contains a four amino acid repeat, Glu-Ala-Leu-Ala, in which the glutamic acid residue functions to create a pH-dependant negative charge, and the three hydrophobic residues enable interactions with the lipid bilayer. The peptide changes conformation from random coil to an amphipatic α-helix at lower pH where it can interact with the cell membrane. [4]
In order to investigate the tolerance of the sisiRNA towards heavy end modification, we also performed conjugations with the polymer polyethylene glycol (PEG). This molecule is known to greatly increase the half-life of circulating siRNAs by shielding them from enzymatic attack, unspecific cell interactions and renal filtration, which would be beneficial if the construct was to be delivered without the origami.[5]
PEG and CPPs conjugates were linked to the nucleic acids by copper catalyzed azide-alkyne cycloaddition (CuAAC), also known as Huisgen 1,3-Dipolar Cycloaddition, hereafter simply referred to as a click reaction.
Results and discussion
Conjugation of cell penetrating peptides and PEG to siRNA and sisiRNA strands
The protocols for the different click reactions were established using a 5’ hexynyle modified DNA oligo. Optimization studies for PEGylations were performed with a 1000 dalton (1K) PEG and the DNA oligo with respect to pH, incubation time and concentration of oligonucleotide and PEG. Following these results a standard protocol using 20 µM oligonucleotide and 5 equivalents of PEG at pH 7.4 was employed for the conjugations of PEG and siRNA and sisiRNA.
For the peptides GALA and melittin, the optimal reaction conditions were determined to be 20 µM oligonucleotide and 5 equivalents of peptide at pH 8 and 7.4, respectively.
After establishing a general set of conditions for each of the conjugations, reactions were performed on both segments of the passenger strand of the sisiRNA construct (W004 and W179) and on the non-segmented siRNA passenger strand (W181).
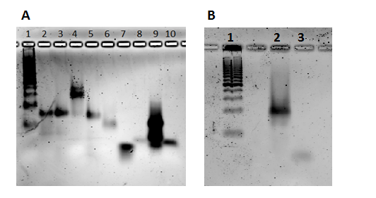
Click reactions with W004, W179 and W181 to PEG1K and PEG5K were performed, and then visualized on a 16 % denaturing PAGE gel, stained with SYBR Gold.

On fig. 31A, it is seen that the reactions with W181-GALA, W181-melittin and W181-PEG1K all worked with good yields above 90 %. As the fraction containing W181-melittin was lost during purification this reaction was repeated and run again on the gel in fig. 31B. Samples from the reactions with the sisiRNA passenger strands and the siRNA strand conjugated to PEG5K were also run on this gel. From fig. 31B, it appears that all reactions containing W179 as well as the W179 control, were absent. However, these were still purified and both the absorbance measurements and the subsequent gel, containing the purified fractions (fig. 32), confirmed that the reaction products were in fact present. For the reactions containing PEG5K two bands are seen, due to the heterogenicity of the PEG derivative that was used.
Purification of modified siRNA and sisiRNA
All reaction products were purified using RP-HPLC. The gel in fig. 32A shows the purified samples of click reactions with PEG1K, GALA and melittin on the non-segmented strand, and fig. 32C shows purified W004-PEG and W004-GALA. The gel in fig. 32B was run to determine which fractions from the RP-HPLC that contained the reaction products. The samples were all pure, and could consequently be used for annealing with the guide strand W376. The calculated yields of the purifications, based on absorbance measurements, are listed in table S4, supplementary data.

Annealing of siRNA and sisiRNA strands
A 1.3 times excess of the HPLC purified, modified strands were annealed to the guide strand, W376. An extra four annealing reactions were prepared to test the efficiency of the CPP conjugates as transfection agents in high concentrations without Lipofectamine. For these experiments, four duplexes containing W179-GALA, W179-melittin and two doubly modified duplex consisting of W004-melittin-W179-PEG-5K and W004-melittin-W179-melittin were annealed along with an unmodified sisiRNA for control.
To estimate the amount of annealed product, all duplexes were visualized on a 4 % agarose gel. The gels containing the annealed duplexes (fig. 33) generally showed high yields of annealing. These yields were estimated by comparing the uppermost band, containing the duplex, with the band corresponding to the guide strand (W376) visually and by using the software ImageQuant TL. As the two segments of the passenger strand stain poorly in the gel due to their small size, these bands were not used for the comparisons. The estimated annealing yields are listed in table S5 (supplementary data).

For the annealings of the constructs used for transfection without Lipofectamine, and the siRNA control (fig. 34), the annealing efficiencies were estimated to 80 % for the W179-GALA duplex, 85 % for W179-melittin and the W004-melittin-W179-PEG5K construct. In this gel was also included annealings of the two unmodified controls, sisiRNA and siRNA (W181-W376). For both these duplexes, the yield was estimated to 90 %. In figure 34B it is seen that the yield of the annealing of the duplex containing W004-melittin-W179-melittin was approximately 90 %.

Knockdown and cell viability assays
For the luciferase knockdown assays, KB-EGFPluc-Wagner cells were used. These cells stably express a fusion protein of EGFP and luciferase, which has an easily measurable activity. Knockdown experiments with all singly modified duplexes were performed in concentrations of 2.5 nM, 1.25 nM, 0.5 nM, 0.1 nM and 0.05 nM using Lipofectamine2000. A row of control wells were included as untreated controls to which only serum-free medium was added.
The transfections without Lipofectamine were performed using a high concentration (100 nM) of the two annealed, singly modified duplexes W179-GALA, W179-Melittin and the combined W004-melittin-W179-PEG5K. Three controls were included, one with 100 nM of each peptide alone and a control containing 100 nM unmodified sisiRNA, and these cells were transfected in six replicates. Lastly, the doubly modified W004-melittin-W179-melittin duplex was tested in concentrations of 300 nM, 150 nM, 50 nM and 10 nM without Lipofectamine. 48 hours after transfection luciferase activity and cell viability was measured.

Cell viability (MTT) assay
Cell viabiIty was examined by adding a solution of MTT to half of the wells used for each concentration and incubating the living cells for 30 minutes until purple crystals became visible in the bottom of the wells. The crystals were solubilized and the absorbance was measured at 590 nm and normalized to the untreated control.
Luciferase assay
The cells that were not used in the MTT assay were lysed and luciferase activity was measured after addition of the luciferin substrate. The averages of the measured luminescence signals for each concentration of the different constructs were normalized to the average of the untreated controls and corrected for the cell viability. The values of the half maximal inhibitory concentration (IC50), i.e. the concentration of the construct where half the luciferase activity is inhibited, were determined for each construct. From the cell viability corrected knockdown measurements shown in fig. S1 in supplementary data, significant knockdown is seen as a decrease in relative luciferase activity with all singly modified duplexes. This shows that conjugating large molecules to the 5’ end of the passenger strand of the non-segmented strand (W181), and both segments of the sisiRNA strand (W004 and W179) do not interfere with the incorporation of the guide strand into RISC and the following silencing. When comparing the knockdown using unmodified sisiRNA and unmodified, non-segmented siRNA, the sisiRNA appears to yield a better silencing in these experiments. However, when modifying this strand, the silencing effeciency is increased to the same level as that of the sisiRNA samples (see fig. 36 and table S1 in supplementary data).

For both conjugations of the CPPs to either of the segmented strands, no significant increase in knockdown is seen, compared to the unmodified controls (fig. S1 supplementary data). When comparing the non-segmented strand (W181) modified with GALA and melittin, an increase in knockdown is seen compared to the control for the three highest concentrations depicted in fig. 37. However, it can not be determined from the IC50 values, listed in table 6, if either GALA or melittin increases this transfection efficiency the most. It is, however, apparent that when modifying W004, melittin is better tolerated than GALA, as shown in fig. 37.


As especially melittin is known for its hemolytic activity, a concern could be that modifying the duplex with this peptide would cause cytotoxicity. From the MTT-measurements, however, it is seen that melittin modified duplexes only slightly reduce cell viability compared to GALA modified constructs (see MTT data, fig. ? supplementary, supplementary data).
When comparing all the modifications of the two segmented strands, a general trend is seen, showing that modifying W179 induces a more efficient knockdown as seen from the IC50 curves in fig. 38 in which the three most pronounced examples of this are shown. This is somewhat surprising as modifying the 5’ end of this strand will place the conjugate in the nick between the short strands that constitutes the passenger strand. This could raise concern that the RNA would be unable to interact with R2D2 and Dicer in the pre-RLC. However, this is not the case in these results, and it could be speculated that modifying this position might help the two strands dissociate from each other.

The final experiment using 100 nM of the modified constructs showed no knockdown of luciferase, but an apparent increase in its activity (see fig. 39). This elevated activity does not appear to be caused by the high concentration of sisiRNA or peptides alone as can be seen in the control experminents in fig. 39. These results indicate that the CPPs used in these concentrations are not sufficient to transfect the cells alone.

To determine if the first transfection experiment had been flawed, this was repeated with the doubly melittin-modified sisiRNA, in concentrations of 300 nM, 150 nM, 50 nM and 10 nM, without using a transfection agent.

From these data it appears that the construct again led to an increase in the expression of luciferase. This could be due to a stimulation of a surface receptor on the cell, or an intracellular stimulation of transcription or translation of the protein. However, due to time constraints it was not possible to perform further experiments to investigate this effect.
When conjugated to the two segments of the sisiRNA passenger strand, the two different PEGylations do not appear to increase the silencing as seen from the IC50 values in in fig. 36 and table 6 [supplementary data] which do not vary significantly from the unmodified controls. This was to be expected as the increased stability provided by this modification would have been more pronounced in vivo. However, for the non-segmented strand this was observed for some conjugations. As no decrease in silencing appears with the PEGylations either, it is apparent that these modifications do not prevent the incorporation of the guide strand into RISC and inhibit silencing. It is especially apparent when the strand W179 is modified, that PEGylation is best tolerated on this position as seen in fig. 41.

Conclusion
It was shown that the 5’ end of an siRNA as well as the two segments of the sisiRNA passenger strand could be modified with PEG of two different sizes and with the CPPs GALA and melittin, using click chemistry. Furthermore, it was shown that annealing of duplexes containing both a singly and a doubly conjungated passenger strand could be achieved in high yields. From the knockdown experiments using the modified non-segmented strand, an increase in silencing was achived with nearly all modifications. This was not observed for the two segments of the sisiRNA passenger strands, although it appeared that modifying the W179 strand generally resulted in better silencing than when modifying W004. Most importantly, none of the tested modification resulted in a significant decrease in silencing compared to the unmodified controls, suggesting that this system is very tolerant towards large conjugations without losing activity. For the knockdown experiments using high concentrations of construct without Lipofectamine, an apparent increase in luciferase activity was seen. As was unclear what caused this effect, these experiments need to be repeated to achieve conclusive results, while possibly also employing a different method to determine the amount of target mRNA. Furthermore, it should be tested if modifying all positions of the sisiRNA construct would result in better knockdown.
References
-
Bramsen, J. B. et al. Improved silencing properties using small internally segmented interfering RNAs. Nucleic Acids Res. 35, 5886-97 (2007). [1].
-
Patel, L. N. et al. Cell penetrating peptides: Intracellular pathways and pharmaceutical perspectives. Pharm. Res. 24, 1977-92 (2007). [1]
-
Dempsey, C. E. et al. The actions of melittin on membranes. Biochim. Biophys. Acta 1031, 143-61 (1990) [1]
-
Li, W. et al. GALA: A designed synthetic pH-responsive amphipathic peptide with applications in drug and gene delivery. Adv. Drug Deliv. 56, 967-85 (2004) [1].
-
Veronese, F. M. et al. PEGylation, successful approach to drug delivery. Drug Discov. Today '21, 1451-8 (2005) [1]
</html>
<html> <head> <style>
- indexing {
/* float: left; position: center; */ background-color: #222; border-top: 2px solid #d13f31; color: #006e9c; margin: 0px; padding: 0px 0px 10px 0px; width: 100%; text-align: center; }
.footer-section { padding: 10px; display: table-cell; text-align: left; }
.footer-section-title { font-size: 20px; }
- footer-contents {
color: #006e9c; display: inline-table; }
.footer-section A { color: #006e9c; text-decoration: none; }
.footer-section A:HOVER { color: #00aeef; }
.footer-section ul { list-style-type: square; }
- sitemapTitle {
margin-top: 20px; font-size: 24px; }
- editFooter {
float: right; margin-top: -28px; margin-right: 5px; }
- editFooter A {
color: #006e9c; text-decoration: none; }
.cf:before,.cf:after { content: " "; /* 1 */ display: table; /* 2 */ }
.cf:after { clear: both; }
- bodyContent a[href^="mailto:"], .link-mailto {
background: url() no-repeat scroll right center transparent; padding-right: 0px; color: #006e9c;
}
</style> </head> <body>
SITEMAP | BIOMOD 2013 NANO CREATORS | Aarhus University
Copyright (C) 2013 | BIOMOD Team Nano Creators @ Aarhus University | Programming by: <a href="mailto:pvskaarup@gmail.com?Subject=BIOMOD 2013:">Peter Vium Skaarup</a>.
<img alt="Sigma - Aldrich" src="http://openwetware.org/images/3/39/Sigmaaldrich-logo%28transparant%29.png" width="300px" height="154px"> <img alt="VWR International" src="http://openwetware.org/images/2/28/Vwr_logo.png" width="300px" height="61px"> <img alt="Promega" src="http://openwetware.org/images/7/72/Promega.png" width="175px" height="105px" style="padding-right: 5px; padding-left: 5px;"> <img alt="kem-en-tec" src="http://openwetware.org/images/3/3a/Kementec.png" width="130px" height="129px"> <img alt="Centre For Dna Nanotechnology" src="http://openwetware.org/images/4/4f/CDNA_logo.png" width="420px" height="90px"> <img alt="Dansk Tennis Fond" src="http://openwetware.org/images/9/9a/Dansk_tennis.png" width="250px" height="53px">
</body> </html>