File:Origami 23.png
Origami_23.png (496 × 475 pixels, file size: 162 KB, MIME type: image/png)
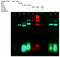
1% Agarose gel containing self-assembly reactions of dome and plate, both purified and unpurified as well as samples where the two origamies are attempted connected. All self-assembly reactions were performed in 12.5mM MgCl2 over a 17 hour non-linear ramp. Lane 1: 1kb Ladder, Lane 2: M13 control, Lane 3: Unpurified 21nM plate, Lane 4: 21nM plate purified with spin filter, Lane 5: Unpurified 1nM dome, Lane 6: 1nM dome up-concentrated, but not purified, using spin filter, Lane 7: Up-concentrated and freeze n’ squeeze purified 1nM dome, Lane 8: Connection attempt at room temperature, Lane 9: Connection attempt at 2.5 hour linear ramp.
File history
Click on a date/time to view the file as it appeared at that time.
| Date/Time | Thumbnail | Dimensions | User | Comment | |
|---|---|---|---|---|---|
| current | 09:41, 20 October 2013 | 496 × 475 (162 KB) | Veronica Liv Andersen (talk | contribs) | 1% Agarose gel containing self-assembly reactions of dome and plate, both purified and unpurified as well as samples where the two origamies are attempted connected. All self-assembly reactions were performed in 12.5mM MgCl2 over a 17 hour non-linear ramp |
You cannot overwrite this file.
File usage
There are no pages that use this file.
