Nowlan:Opportunities: Difference between revisions

From OpenWetWare
Jump to navigationJump to search
Line 1: Line 1:
{{Nowlan}}
{{Nowlan}}


== PhD Studentship Opportunities ==
== PhD Studentship Opportunities for UK Nationals ==


The Developmental Biomechanics Lab is seeking exceptional PhD studentship candidates to put forward for a competitive departmental studentship round. The project involves computational modelling of fetal movement, and is suitable to a candidate with Biomechanics and computational modelling skills. Suitable candidates should have an excellent track record, such as first class degrees, academic awards and/or extensive prior research experience. Prior publications are also an advantage. For further details, please email Dr Nowlan and include your CV.
The Developmental Biomechanics Lab is seeking exceptional PhD studentship candidates to put forward for a competitive departmental studentship round. The project involves computational modelling of fetal movement, and is suitable to a candidate with Biomechanics and computational modelling skills. Suitable candidates should have an excellent track record, such as first class degrees, academic awards and/or extensive prior research experience. Prior publications are also an advantage. Funding restrictions mean that '''only candidates with UK nationality are eligible'''. To express interest, please email Dr Nowlan to describe how your interests and experience align with the project, and include your CV.  


[[Image:Fetal Movement.tif|1150px|Fetal Movement Image]]
[[Image:Fetal Movement.tif|1150px|Fetal Movement Image]]

Revision as of 10:51, 1 March 2013

Home        People       Research        Publications       Sponsors        News        Internal       Opportunities        Contact       


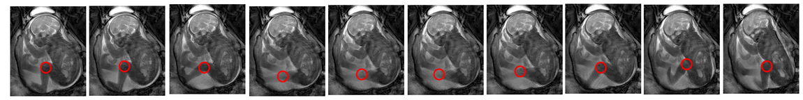
PhD Studentship Opportunities for UK Nationals

The Developmental Biomechanics Lab is seeking exceptional PhD studentship candidates to put forward for a competitive departmental studentship round. The project involves computational modelling of fetal movement, and is suitable to a candidate with Biomechanics and computational modelling skills. Suitable candidates should have an excellent track record, such as first class degrees, academic awards and/or extensive prior research experience. Prior publications are also an advantage. Funding restrictions mean that only candidates with UK nationality are eligible. To express interest, please email Dr Nowlan to describe how your interests and experience align with the project, and include your CV.

Fetal Movement Image

Research Opportunities

Applications from exceptional prospective postgraduate students and highly motivated researchers are welcome at any time and can be submitted by email.